Skip to main content

COP9 signalosome complex subunit 2 Antibody

Novus Biologicals, part of Bio-Techne | Catalog # NB100-1238

Novus Biologicals, part of Bio-Techne
Catalog #
Availability
Size / Price
Qty
Loading...
NB100-1238

Key Product Details

Species Reactivity

Validated:

Human, Mouse

Predicted:

Bovine (100%), Canine (100%), Rat (100%). Backed by our 100% Guarantee.

Applications

Immunohistochemistry, Immunohistochemistry-Paraffin, Western Blot, Peptide ELISA

Label

Unconjugated

Antibody Source

Polyclonal Goat IgG

Concentration

0.5 mg/ml

Product Specifications

Immunogen

Peptide with sequence C-LNSLNQAVVSKLA corresponding to C-Terminus according to NP_001137359.1.

Clonality

Polyclonal

Host

Goat

Isotype

IgG

Scientific Data Images for COP9 signalosome complex subunit 2 Antibody

Western Blot: COP9 signalosome complex subunit 2 Antibody [NB100-1238]

Western Blot: COP9 signalosome complex subunit 2 Antibody [NB100-1238]

Western Blot: COP9 signalosome complex subunit 2 Antibody [NB100-1238] - 3T3 lysates (RIPA buffer, 30ug total protein per lane). Primary incubated for 1 hour. Detected by western blot using chemiluminescence.
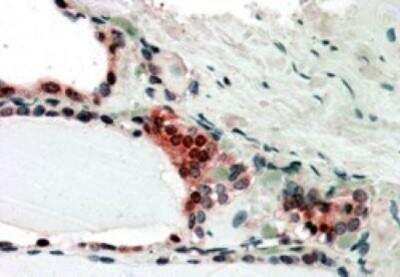
Immunohistochemistry: COP9 signalosome complex subunit 2 Antibody [NB100-1238]

Immunohistochemistry: COP9 signalosome complex subunit 2 Antibody [NB100-1238]

Immunohistochemistry: COP9 signalosome complex subunit 2 Antibody [NB100-1238] - In paraffin embedded Human Thyroid Gland shows nclear and cytoplasm staining in activated epithelial cells Recommended concentration 3-5/ugml.

Applications for COP9 signalosome complex subunit 2 Antibody

Application
Recommended Usage

Immunohistochemistry

3 - 5 ug/ml

Immunohistochemistry-Paraffin

3 - 5 ug/ml

Peptide ELISA

Detection limit 1:16000

Western Blot

1 - 3 ug/ml
Application Notes
WB: Approx. 48 kDa band observed in human brain, mouse brain lysates and in lysates of mouse putuitary cell line NIH3T3 (calculated MW of 51.6 kDa band according to NP_004227.1). IHC-P: Human thyroid gland shows nclear and cytoplasm staining in activated epithelial cells

Formulation, Preparation, and Storage

Purification

Immunogen affinity purified

Formulation

Tris saline (20 mM Tris pH 7.3, 150 mM NaCl), 0.5% BSA

Preservative

0.02% Sodium Azide

Concentration

0.5 mg/ml

Shipping

The product is shipped with polar packs. Upon receipt, store it immediately at the temperature recommended below.

Stability & Storage

Store at -20C. Avoid freeze-thaw cycles.

Background: COP9 signalosome complex subunit 2

TRIP15 is an essential component of the COP9 signalosome complex (CSN), a complex involved in various cellular and developmental processes. The CSN complex is an essential regulator of the ubiquitin (Ubl) conjugation pathway by mediating the deneddylation of the cullin subunits of SCF-type E3 ligase complexes. The complex is also involved in phosphorylation of p53/TP53, c-jun/JUN, IkappaBalpha/NFKBIA, ITPK1 and IRF8/ICSBP. TRIP15 is also involved in early stage of neuronal differentiation via its interaction with NIF3L1.

Alternate Names

ALIEN, Alien homolog, COP9 constitutive photomorphogenic homolog subunit 2 (Arabidopsis), COP9 signalosome complex subunit 2, CSN2JAB1-containing signalosome subunit 2, SGN2TR-interacting protein 15, Signalosome subunit 2, thyroid receptor interacting protein 15, Thyroid receptor-interacting protein 15, TRIP15TRIP-15

Entrez Gene IDs

9318 (Human); 12848 (Mouse); 261736 (Rat)

Gene Symbol

COPS2

Additional COP9 signalosome complex subunit 2 Products

Product Documents for COP9 signalosome complex subunit 2 Antibody

Certificate of Analysis

To download a Certificate of Analysis, please enter a lot number in the search box below.

Product Specific Notices for COP9 signalosome complex subunit 2 Antibody

This product is for research use only and is not approved for use in humans or in clinical diagnosis. Primary Antibodies are guaranteed for 1 year from date of receipt.

Loading...
Loading...
Loading...
Loading...