Skip to main content

Complement Factor H-related 3/CFHR3 Antibody - BSA Free

Novus Biologicals, part of Bio-Techne | Catalog # NBP3-47398

Novus Biologicals, part of Bio-Techne
Catalog #
Availability
Size / Price
Qty
Loading...
NBP3-47398

Key Product Details

Species Reactivity

Human, Mouse

Applications

Immunohistochemistry, Western Blot, ELISA, Immunocytochemistry/ Immunofluorescence

Label

Unconjugated

Antibody Source

Polyclonal Rabbit IgG

Format

BSA Free

Concentration

Please see the vial label for concentration. If unlisted please contact technical services.

Product Specifications

Immunogen

CFHR3. (Uniprot# Q02985)

Clonality

Polyclonal

Host

Rabbit

Isotype

IgG

Theoretical MW

45 kDa.
Disclaimer note: The observed molecular weight of the protein may vary from the listed predicted molecular weight due to post translational modifications, post translation cleavages, relative charges, and other experimental factors.

Description

Novus Biologicals Rabbit Complement Factor H-related 3/CFHR3 Antibody - BSA Free (NBP3-47398) is a polyclonal antibody validated for use in IHC, WB, ELISA and ICC/IF. All Novus Biologicals antibodies are covered by our 100% guarantee.

Scientific Data Images for Complement Factor H-related 3/CFHR3 Antibody - BSA Free

Complement Factor H-related 3/CFHR3 Antibody - BSA Free

Western Blot: Complement Factor H-related 3/CFHR3 Antibody - BSA Free [NBP3-47398] -

Western Blot: Complement Factor H-related 3/CFHR3 Antibody - BSA Free [NBP3-47398] - Various lysates were subjected to SDS PAGE followed by western blot with (Complement Factor H-related 3/CFHR3 antibody) at dilution of 1:1000
Complement Factor H-related 3/CFHR3 Antibody - BSA Free

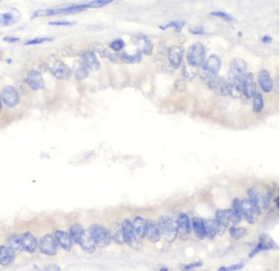
Immunohistochemistry: Complement Factor H-related 3/CFHR3 Antibody - BSA Free [NBP3-47398] -

Immunohistochemistry: Complement Factor H-related 3/CFHR3 Antibody - BSA Free [NBP3-47398] - Immunohistochemistry of paraffin-embedded human kidney tissue slide using (Complement Factor H-related 3/CFHR3 Antibody) at dilution of 1:100.

Applications for Complement Factor H-related 3/CFHR3 Antibody - BSA Free

Application
Recommended Usage

Immunocytochemistry/ Immunofluorescence

1:50-1:100

Immunohistochemistry

1:50-1:500

Western Blot

1:500-1:2000

Formulation, Preparation, and Storage

Purification

Immunogen affinity purified

Formulation

PBS, 50% Glycerol, pH (7.3)

Format

BSA Free

Preservative

0.02% Sodium Azide

Concentration

Please see the vial label for concentration. If unlisted please contact technical services.

Shipping

The product is shipped with polar packs. Upon receipt, store it immediately at the temperature recommended below.

Stability & Storage

Store at -20C. Avoid freeze-thaw cycles.

Background: Complement Factor H-related 3/CFHR3

The human complement factor H protein family consists of the complement and immune regulators factor H, the factor H-like protein 1(FHL-1) and five factor H-related proteins (CFHR-1 to -5). Members of the H-related protein family are exclusively composed of individually folded protein domains, termed short consensus repeats (SCRs) or complement control modules. The genes of this family have been located in human chromosome 1q32, which is known as the regulators of complement activation (RCA) gene clusters.

Complement factor H-related protein 1 (CFHR1) is a 43 kDa, secreted member of the factor H family of glycoproteins. It is produced by hepatocytes and circulates as two differentially glycosylated isoforms (37 kDa and 43 kDa). Complement Factor H-related 2 (CFHR2) is synthesized in the liver and secreted into plasma. It may be involved in complement regulation. CFHR2 can also be associated with lipoproteins and may play a role in lipid metabolism.

CFHR-5 has been identified initially as a universal component of complement deposits, and detected in glomerular immune deposits. The pattern of deposits is similar to other complement components, suggesting that CFHR-5 may play a role in complement activation and regulation. It is synthesized in the liver and consists of 9 SCRs. CFHR-5 exhibits similar characteristics as those of factor H in heparin binding, CRP binding, and lipoprotein association. Weak factor I-dependent cofactor activity for C3b cleavage has also been observed.

Long Name

Complement Factor H-related 3

Alternate Names

CFHR3, DOWN16, FHR-3, FHR3, HFL4

Gene Symbol

CFHR3

Additional Complement Factor H-related 3/CFHR3 Products

Product Documents for Complement Factor H-related 3/CFHR3 Antibody - BSA Free

Certificate of Analysis

To download a Certificate of Analysis, please enter a lot number in the search box below.

Product Specific Notices for Complement Factor H-related 3/CFHR3 Antibody - BSA Free

This product is for research use only and is not approved for use in humans or in clinical diagnosis. Primary Antibodies are guaranteed for 1 year from date of receipt.

Loading...
Loading...
Loading...
Loading...