Skip to main content

Complement Factor B Antibody - BSA Free

Novus Biologicals, part of Bio-Techne | Catalog # NBP1-89985

Novus Biologicals, part of Bio-Techne
Catalog #
Availability
Size / Price
Qty
Loading...
NBP1-89985
NBP1-89985-25ul

Key Product Details

Species Reactivity

Validated:

Human, Rat

Cited:

Mouse, Rat

Applications

Validated:

Immunohistochemistry, Immunohistochemistry-Paraffin, Immunohistochemistry-Frozen, Western Blot, Immunocytochemistry/ Immunofluorescence, Simple Western

Cited:

Immunohistochemistry-Paraffin, Immunohistochemistry-Frozen, Western Blot, Immunocytochemistry/ Immunofluorescence

Label

Unconjugated

Antibody Source

Polyclonal Rabbit IgG

Format

BSA Free

Concentration

Concentrations vary lot to lot. See vial label for concentration. If unlisted please contact technical services.

Product Specifications

Immunogen

This antibody was developed against Recombinant Protein corresponding to amino acids: KDNEQHVFKVKDMENLEDVFYQMIDESQSLSLCGMVWEHRKGTDYHKQPWQAKISVIRPSKGHESCMGAVVSEYFVLTAAHCFTVDDKEHSIKVSVGGEKRDLEIEVVLFHPNYNINGKKEAGIPEFYDYDVALIKLKNKLKYG

Reactivity Notes

Rat reactivity reported in scientific literature (PMID:30220554) and (PMID: 26928779). Mouse (86%).

Clonality

Polyclonal

Host

Rabbit

Isotype

IgG

Description

Novus Biologicals Rabbit Complement Factor B Antibody - BSA Free (NBP1-89985) is a polyclonal antibody validated for use in IHC, WB, ICC/IF and Simple Western. Anti-Complement Factor B Antibody: Cited in 7 publications. All Novus Biologicals antibodies are covered by our 100% guarantee.

Scientific Data Images for Complement Factor B Antibody - BSA Free

Complement Factor B Antibody - BSA Free Immunocytochemistry/ Immunofluorescence: Complement Factor B Antibody - BSA Free [NBP1-89985]

Immunocytochemistry/ Immunofluorescence: Complement Factor B Antibody - BSA Free [NBP1-89985]

Staining of human cell line ASC TERT1 shows localization to endoplasmic reticulum.
Immunohistochemistry-Paraffin: Complement Factor B Antibody [NBP1-89985]

Immunohistochemistry-Paraffin: Complement Factor B Antibody [NBP1-89985]

Immunohistochemistry-Paraffin: Complement Factor B Antibody [NBP1-89985] - Staining of human prostate shows strong cytoplasmic positivity in glandular cells.
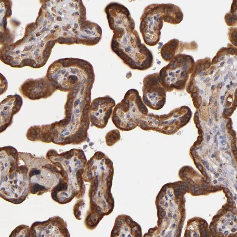
Complement Factor B Antibody - BSA Free Immunohistochemistry-Paraffin: Complement Factor B Antibody - BSA Free [NBP1-89985]

Immunohistochemistry-Paraffin: Complement Factor B Antibody - BSA Free [NBP1-89985]

Staining of human placenta shows strong positivity in trophoblastic cells.

Applications for Complement Factor B Antibody - BSA Free

Application
Recommended Usage

Immunocytochemistry/ Immunofluorescence

0.25-2 ug/ml

Immunohistochemistry

1:200 - 1:500

Immunohistochemistry-Frozen

Reported in (PMID: 26928779)

Immunohistochemistry-Paraffin

1:200 - 1:500

Simple Western

1:20

Western Blot

Reported in (PMID: 36076550)
Application Notes
For IHC-Paraffin, HIER pH 6 retrieval is recommended. ICC/IF Fixation/Permeabilization: PFA/Triton X-100

In Simple Western only 10 - 15 uL of the recommended dilution is used per data point.
See Simple Western Antibody Database for Simple Western validation: Tested in Tonsil, separated by Size, antibody dilution of 1:20, apparent MW was 120 kDa. Separated by Size-Wes, Sally Sue/Peggy Sue.

Formulation, Preparation, and Storage

Purification

Immunogen affinity purified

Formulation

PBS (pH 7.2) and 40% Glycerol

Format

BSA Free

Preservative

0.02% Sodium Azide

Concentration

Concentrations vary lot to lot. See vial label for concentration. If unlisted please contact technical services.

Shipping

The product is shipped with polar packs. Upon receipt, store it immediately at the temperature recommended below.

Stability & Storage

Store at 4C short term. Aliquot and store at -20C long term. Avoid freeze-thaw cycles.

Background: Complement Factor B

Complement factor B is a component of the alternative pathway of complement activation. Factor B circulates in the blood as a single chain polypeptide. Upon activation of the alternative pathway, it is cleaved by complement factor D yielding the noncatalytic chain Ba and the catalytic subunit Bb. The active subunit Bb is a serine protease that associates with C3b to form the alternative pathway C3 convertase. Bb is involved in the proliferation of preactivated B lymphocytes, while Ba inhibits their proliferation. This gene localizes to the major histocompatibility complex (MHC) class III region on chromosome 6. This cluster includes several genes involved in regulation of the immune reaction. The polyadenylation site of this gene is 421 bp from the 5' end of the gene for complement component 2.

Alternate Names

BF, BFD, C3/C5 convertase, CFAB, CFB, GBG, H2-Bf, PBF2

Gene Symbol

CFB

Additional Complement Factor B Products

Product Documents for Complement Factor B Antibody - BSA Free

Certificate of Analysis

To download a Certificate of Analysis, please enter a lot number in the search box below.

Product Specific Notices for Complement Factor B Antibody - BSA Free

This product is for research use only and is not approved for use in humans or in clinical diagnosis. Primary Antibodies are guaranteed for 1 year from date of receipt.

Loading...
Loading...
Loading...
Loading...