Skip to main content

Complement Component C5a Antibody (D5) - BSA Free

Novus Biologicals, part of Bio-Techne | Catalog # NBP3-41582

Novus Biologicals, part of Bio-Techne
Catalog #
Availability
Size / Price
Qty
Loading...
NBP3-41582

Key Product Details

Species Reactivity

Human, Porcine

Applications

Immunohistochemistry, Immunohistochemistry-Paraffin, Western Blot

Label

Unconjugated

Antibody Source

Monoclonal Mouse IgG2b Kappa Clone # D5

Format

BSA Free

Concentration

1 mg/ml

Product Specifications

Immunogen

Immunized with recombinant Human Complement Component C5a (Uniprot#: P01031; Thr678-Arg751 (Uniprot#: P01031)

Clonality

Monoclonal

Host

Mouse

Isotype

IgG2b Kappa

Description

Novus Biologicals Mouse Complement Component C5a Antibody (D5) - BSA Free (NBP3-41582) is a monoclonal antibody validated for use in IHC and WB. All Novus Biologicals antibodies are covered by our 100% guarantee.

Scientific Data Images for Complement Component C5a Antibody (D5) - BSA Free

Complement Component C5a Antibody (D5)

Immunohistochemistry-Paraffin: Complement Component C5a Antibody (D5) [NBP3-41582] -

Immunohistochemistry-Paraffin: Complement Component C5a Antibody (D5) [NBP3-41582] - DAB staining on IHC-P; Sample: Human Liver Tissue; Primary Ab: 30ug/ml NBP3-41582; Second Ab: 2ug/mL HRP-Linked Caprine Anti-Mouse IgG Polyclonal Antibody
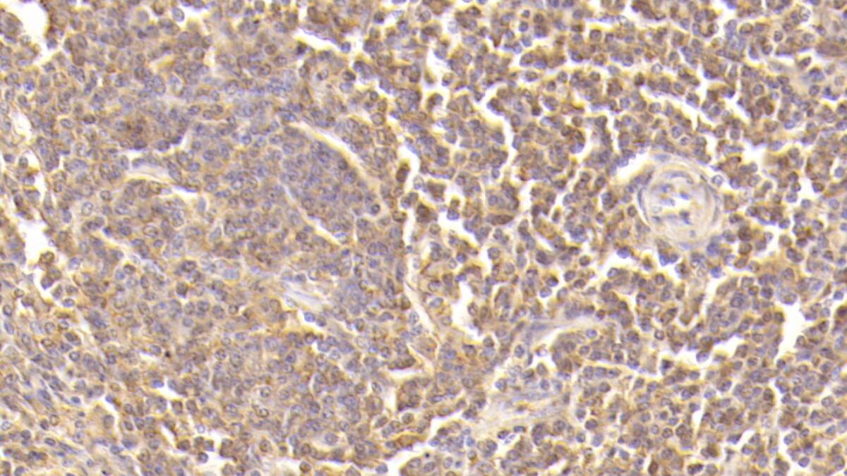
Complement Component C5a Antibody (D5)

Immunohistochemistry-Paraffin: Complement Component C5a Antibody (D5) [NBP3-41582] -

Immunohistochemistry-Paraffin: Complement Component C5a Antibody (D5) [NBP3-41582] - DAB staining on IHC-P; Sample: Human Spleen Tissue; Primary Ab: 30ug/ml NBP3-41582; Second Ab: 2ug/mL HRP-Linked Caprine Anti-Mouse IgG Polyclonal Antibody
Complement Component C5a Antibody (D5)

Immunohistochemistry-Paraffin: Complement Component C5a Antibody (D5) [NBP3-41582] -

Immunohistochemistry-Paraffin: Complement Component C5a Antibody (D5) [NBP3-41582] - DAB staining on IHC-P; Sample: Human Small intestine Tissue; Primary Ab: 30ug/ml NBP3-41582; Second Ab: 2ug/mL HRP-Linked Caprine Anti-Mouse IgG Polyclonal Antibody

Applications for Complement Component C5a Antibody (D5) - BSA Free

Application
Recommended Usage

Immunohistochemistry

5-20ug/mL

Immunohistochemistry-Paraffin

5-20ug/mL

Western Blot

0.5-2ug/mL

Formulation, Preparation, and Storage

Purification

Protein A or G purified

Formulation

0.01M PBS, pH7.4, 50% glycerol

Format

BSA Free

Preservative

0.05% Proclin 300

Concentration

1 mg/ml

Shipping

The product is shipped with polar packs. Upon receipt, store it immediately at the temperature recommended below.

Stability & Storage

Store at 4C short term. Aliquot and store at -20C long term. Avoid freeze-thaw cycles.

Background: Complement Component C5a

Human complement 5a (C5a) is an enzymatically generated glycoprotein that belongs to a family of structurally and functionally related proteins known as anaphylatoxins. C5a is a 74 amino acid (aa) peptide that is created by the activity of C5a convertase on the C5 alpha-chain. Human C5a has four alpha-helices plus three intrachain disulfide bonds that create a triple loop structure.

Alternate Names

C5, C5A, HE

Gene Symbol

C5

Additional Complement Component C5a Products

Product Documents for Complement Component C5a Antibody (D5) - BSA Free

Certificate of Analysis

To download a Certificate of Analysis, please enter a lot number in the search box below.

Product Specific Notices for Complement Component C5a Antibody (D5) - BSA Free

This product is for research use only and is not approved for use in humans or in clinical diagnosis. Primary Antibodies are guaranteed for 1 year from date of receipt.

Loading...
Loading...
Loading...
Loading...