Complement Component C1s Antibody (OTI2A8)
Novus Biologicals, part of Bio-Techne | Catalog # NBP2-45566
Key Product Details
Species Reactivity
Human, Mouse, Rat, Monkey
Applications
Immunohistochemistry, Immunohistochemistry-Paraffin, Western Blot
Label
Unconjugated
Antibody Source
Monoclonal Mouse IgG2A Clone # OTI2A8
Concentration
1 mg/ml
Product Specifications
Immunogen
Full length human recombinant protein of human C1S(NP_001725) produced in HEK293T cell.
Reactivity Notes
Please note that this antibody is reactive to Mouse and derived from the same host, Mouse. Mouse-On-Mouse blocking reagent may be needed for IHC and ICC experiments to reduce high background signal. You can find these reagents under catalog numbers PK-2200-NB and MP-2400-NB. Please contact Technical Support if you have any questions.
Clonality
Monoclonal
Host
Mouse
Isotype
IgG2A
Theoretical MW
74.8 kDa.
Disclaimer note: The observed molecular weight of the protein may vary from the listed predicted molecular weight due to post translational modifications, post translation cleavages, relative charges, and other experimental factors.
Disclaimer note: The observed molecular weight of the protein may vary from the listed predicted molecular weight due to post translational modifications, post translation cleavages, relative charges, and other experimental factors.
Description
Novus Biologicals Mouse Complement Component C1s Antibody (OTI2A8) (NBP2-45566) is a monoclonal antibody validated for use in IHC and WB. All Novus Biologicals antibodies are covered by our 100% guarantee.
Scientific Data Images for Complement Component C1s Antibody (OTI2A8)
Western Blot: Complement Component C1s Antibody (OTI2A8) [NBP2-45566]
Western Blot: Complement Component C1s Antibody (2A8) [NBP2-45566] - Analysis of HEK293T cells were transfected with the pCMV6-ENTRY control (Left lane) or pCMV6-ENTRY Complement Component 1.Immunohistochemistry: Complement Component C1s Antibody (OTI2A8) [NBP2-45566]
Immunohistochemistry: Complement Component C1s Antibody (2A8) [NBP2-45566] - Analysis of Carcinoma of Human prostate tissue. (Heat-induced epitope retrieval by 10mM citric buffer, pH6.0, 120C for 3min)Immunohistochemistry: Complement Component C1s Antibody (OTI2A8) [NBP2-45566]
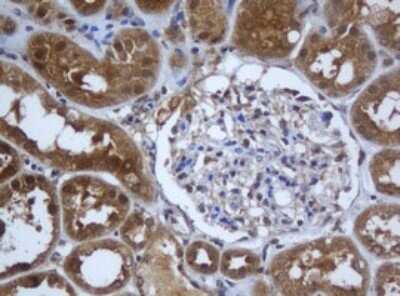
Immunohistochemistry: Complement Component C1s Antibody (2A8) [NBP2-45566] - Analysis of Human Kidney tissue. (Heat-induced epitope retrieval by 10mM citric buffer, pH6.0, 120C for 3min)Applications for Complement Component C1s Antibody (OTI2A8)
Application
Recommended Usage
Immunohistochemistry
1:150
Western Blot
1:2000
Formulation, Preparation, and Storage
Purification
Immunogen affinity purified
Formulation
PBS (pH 7.3), 1.0% BSA and 50% Glycerol
Preservative
0.02% Sodium Azide
Concentration
1 mg/ml
Shipping
The product is shipped with polar packs. Upon receipt, store it immediately at the temperature recommended below.
Stability & Storage
Store at -20C. Avoid freeze-thaw cycles.
Background: Complement Component C1s
Alternate Names
C1S
Gene Symbol
C1S
Additional Complement Component C1s Products
Product Documents for Complement Component C1s Antibody (OTI2A8)
Product Specific Notices for Complement Component C1s Antibody (OTI2A8)
This product is for research use only and is not approved for use in humans or in clinical diagnosis. Primary Antibodies are guaranteed for 1 year from date of receipt.
Loading...
Loading...
Loading...
Loading...