Skip to main content

Common beta Chain Antibody (OTI4H3)

Novus Biologicals, part of Bio-Techne | Catalog # NBP2-46365

Novus Biologicals, part of Bio-Techne

Key Product Details

Species Reactivity

Human

Applications

Immunohistochemistry, Immunohistochemistry-Paraffin, Western Blot

Label

Unconjugated

Antibody Source

Monoclonal Mouse IgG1 Clone # OTI4H3

Concentration

1 mg/ml

Product Specifications

Immunogen

Full length human recombinant protein of human CSF2RB (NP_000386) produced in HEK293T cell.

Clonality

Monoclonal

Host

Mouse

Isotype

IgG1

Theoretical MW

95.7 kDa.
Disclaimer note: The observed molecular weight of the protein may vary from the listed predicted molecular weight due to post translational modifications, post translation cleavages, relative charges, and other experimental factors.

Description

Novus Biologicals Mouse Common beta Chain Antibody (OTI4H3) (NBP2-46365) is a monoclonal antibody validated for use in IHC and WB. All Novus Biologicals antibodies are covered by our 100% guarantee.

Scientific Data Images for Common beta Chain Antibody (OTI4H3)

Western Blot: Common beta Chain Antibody (OTI4H3) [NBP2-46365]

Western Blot: Common beta Chain Antibody (OTI4H3) [NBP2-46365]

Western Blot: Common beta Chain Antibody (4H3) [NBP2-46365] - Analysis of HEK293T cells were transfected with the pCMV6-ENTRY control (Left lane) or pCMV6-ENTRY Common beta Chain.
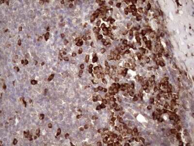
Immunohistochemistry: Common beta Chain Antibody (OTI4H3) [NBP2-46365]

Immunohistochemistry: Common beta Chain Antibody (OTI4H3) [NBP2-46365]

Immunohistochemistry: Common beta Chain Antibody (4H3) [NBP2-46365] - Analysis of Human tonsil tissue. (Heat-induced epitope retrieval by 1mM EDTA in 10mM Tris buffer (pH8.5) at 120C for 3 min)
Immunohistochemistry: Common beta Chain Antibody (OTI4H3) [NBP2-46365]

Immunohistochemistry: Common beta Chain Antibody (OTI4H3) [NBP2-46365]

Immunohistochemistry: Common beta Chain Antibody (4H3) [NBP2-46365] - Analysis of Adenocarcinoma of Human ovary. (Heat-induced epitope retrieval by 1mM EDTA in 10mM Tris buffer (pH8.5) at 120C for 3 min)

Applications for Common beta Chain Antibody (OTI4H3)

Application
Recommended Usage

Immunohistochemistry

1:150

Immunohistochemistry-Paraffin

1:150

Western Blot

1:2000

Formulation, Preparation, and Storage

Purification

Immunogen affinity purified

Formulation

PBS (pH 7.3), 1.0% BSA and 50% Glycerol

Preservative

0.02% Sodium Azide

Concentration

1 mg/ml

Shipping

The product is shipped with polar packs. Upon receipt, store it immediately at the temperature recommended below.

Stability & Storage

Store at -20C. Avoid freeze-thaw cycles.

Background: Common beta Chain

Interleukin-3 receptor (IL-3R) is a heterodimer cytokine composed of alpha chain and beta chain. IL-3R beta subunit (CD131, beta C) is a common shared beta chain of the receptor for granulocyte- macrophage colony-stimulating factor (GM-CSF) and IL-5 (1). While the beta chain can not bind to the ligand alone, but it is essential for high affinity ligand binding (2). The cytoplasmic portion of the beta chain contains the major domains necessary for ligand-induced proliferation (3). IL-3R beta is expressed in neutrophil, eosinophil, monocyte, and hematpoietic stem cells. A point mutation leading to defective IL-3R beta expression has been associated to Human pulmonary alveolar proteinosis (PAP), a rare cause of respiratory failure (4).

Alternate Names

CD131, CSF2RB, GM-CSF R beta, IL-3 R beta, IL-5 R beta

Gene Symbol

CSF2RB

Additional Common beta Chain Products

Product Documents for Common beta Chain Antibody (OTI4H3)

Certificate of Analysis

To download a Certificate of Analysis, please enter a lot number in the search box below.

Product Specific Notices for Common beta Chain Antibody (OTI4H3)

This product is for research use only and is not approved for use in humans or in clinical diagnosis. Primary Antibodies are guaranteed for 1 year from date of receipt.

Loading...
Loading...
Loading...
Loading...