Skip to main content

Collagen I alpha 1 Antibody (COL-1)

Novus Biologicals, part of Bio-Techne | Catalog # NB600-450

Novus Biologicals, part of Bio-Techne
Catalog #
Availability
Size / Price
Qty
Loading...
NB600-450
NB600-450-0.02ml

Key Product Details

Validated by

Biological Validation

Species Reactivity

Validated:

Human, Mouse, Rat, Porcine, Bovine, Equine, Feline, Mammal, Rabbit

Cited:

Human, Mouse, Rat, Equine, Feline, Rabbit

Applications

Validated:

Immunohistochemistry, Immunohistochemistry-Paraffin, Immunohistochemistry-Frozen, Western Blot, ELISA, Immunocytochemistry/ Immunofluorescence, Dot Blot

Cited:

Immunohistochemistry, Immunohistochemistry-Paraffin, Immunohistochemistry-Frozen, Western Blot, ELISA, Immunocytochemistry/ Immunofluorescence, IF/IHC, Electron Microscopy

Label

Unconjugated

Antibody Source

Monoclonal Mouse IgG1 Clone # COL-1

Concentration

This product is unpurified. The exact concentration of antibody is not quantifiable.

Product Specifications

Immunogen

This Collagen I alpha 1 antibody (COL-1) was raised against full length bovine native protein (purified).

Epitope

The epitope recognized by the antibody may be sensitive to routine formalin fixation and paraffin embedding.

Reactivity Notes

Reported reactivity in deer. Mouse reactivity reported in scientific literature (PMID: 25287675). Goat reactivity reported by customer review. Please note that this antibody is reactive to Mouse and derived from the same host, Mouse. Mouse-On-Mouse blocking reagent may be needed for IHC and ICC experiments to reduce high background signal. You can find these reagents under catalog numbers PK-2200-NB and MP-2400-NB. Please contact Technical Support if you have any questions. Feline reactivity reported in scientific literature (PMID:33091431).

Localization

Extracellular matrix

Specificity

This Collagen I alpha 1 antibody (COL-1) recognizes the native (helical) form of collagen type I using ELISA and dot-blot. It does not react with the thermally-denatured molecule, and shows no cross-reactivity with collagen types II, III, IV, V, VI, VII, IX, X and XI.

Clonality

Monoclonal

Host

Mouse

Isotype

IgG1

Theoretical MW

139 kDa.
Disclaimer note: The observed molecular weight of the protein may vary from the listed predicted molecular weight due to post translational modifications, post translation cleavages, relative charges, and other experimental factors.

Description

Novus Biologicals Mouse Collagen I alpha 1 Antibody (COL-1) (NB600-450) is a monoclonal antibody validated for use in IHC, WB, ELISA and ICC/IF. Anti-Collagen I alpha 1 Antibody: Cited in 63 publications. All Novus Biologicals antibodies are covered by our 100% guarantee.

Scientific Data Images for Collagen I alpha 1 Antibody (COL-1)

Immunohistochemistry-Frozen: Collagen I alpha 1 Antibody (COL-1) [NB600-450]

Immunohistochemistry-Frozen: Collagen I alpha 1 Antibody (COL-1) [NB600-450]

Immunohistochemistry-Frozen: Collagen I alpha 1 Antibody (COL-1) [NB600-450] - Staining of acetone-fixed, frozen sections of pig tongue at a dilution of 1:4000
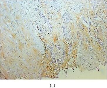
Immunohistochemistry: Collagen I alpha 1 Antibody (COL-1) [NB600-450]

Immunohistochemistry: Collagen I alpha 1 Antibody (COL-1) [NB600-450]

Immunohistochemistry: Collagen I alpha 1 Antibody (COL-1) [NB600-450] - Analysis of an FFPE ligament section. Enzymatic antigen retrieval and blocking using 1% BSA for 30 min at 20C was performed. Sample was incubated for 1 hour with primary antibody at a dilution of 1:400 at 20C.
Immunocytochemistry/ Immunofluorescence: Collagen I alpha 1 Antibody (COL-1) [NB600-450]

Immunocytochemistry/ Immunofluorescence: Collagen I alpha 1 Antibody (COL-1) [NB600-450]

Collagen-I-alpha-1-Antibody-COL-1-Immunocytochemistry-Immunofluorescence-NB600-450-img0014.jpg

Applications for Collagen I alpha 1 Antibody (COL-1)

Application
Recommended Usage

Dot Blot

1:100-1:2000

ELISA

1:100-1:2000

Immunohistochemistry

1:10-1:500

Immunohistochemistry-Frozen

1:2000

Immunohistochemistry-Paraffin

1:10-1:500

Western Blot

1:100-1:2000

Reviewed Applications

Read 5 reviews rated 4.6 using NB600-450 in the following applications:

Formulation, Preparation, and Storage

Purification

Unpurified

Formulation

Ascites

Preservative

15mM Sodium Azide

Concentration

This product is unpurified. The exact concentration of antibody is not quantifiable.

Shipping

The product is shipped with polar packs. Upon receipt, store it immediately at the temperature recommended below.

Stability & Storage

Store at 4C short term. Aliquot and store at -20C long term. Avoid freeze-thaw cycles.

Background: Collagen I alpha 1

Collagen is an extracellular matrix protein that serves as a scaffold defining the shape and mechanical properties of many tissues and organs including skin, tendon, artery walls, fibrocartilage, bone and teeth. Collagens are highly conserved and are characterized by an uninterrupted "Glycine X Y" triplet repeat that is a necessary part of the triple helical structure. The extensive family of collagens is composed of several chain types, including fibril-forming interstitial collagens (types I, II, III and V) and basement membrane collagens (type IV), each type containing multiple isoforms. Collagen type I (also known as collagen alpha, COL1A1, and alpha-1 type I collagen) is the largest component of fibrillar collagen found in cartilage and connective tissues. It is synthesized by fibroblasts, osteoblasts, and odontoblasts and has a theoretical molecular weight of 138 kDa.

Type I collagen is a fibril-forming collagen found in most connective tissues and is abundant in bone, cornea, dermis and tendon tissue. Collagens are fibrous, extracellular matrix proteins with high tensile strength and are the major components of connective tissue. Several collagens play a role in cell adhesion, responsible for maintaining normal tissue architecture and function. All collagens contain a triple helix domain and frequently show lateral self-association in order to form complex connective tissues. Post-Golgi LH3 trafficking is essential for collagen homeostasis and for the development and function of multiple organs and tissues (1).

The COL1A1 gene encodes the pro-alpha1 chains of type I collagen protein, whose triple helix is comprised of two alpha1 chains and one alpha2 chain. Mutations in the encoding COL1A1 gene are associated with brittle bone disease (Osteogenesis Imperfecta), cortical hyperostosis (Caffey disease) and disorders that affect the connective tissues (Ehlers-Danlos syndrome) (2). Studies have found that HIF-1 transcription regulation of collagen prolyl hydroxylases regulates collagen deposition, promoting cancer cell alignment along collagen fibers, which enhances invasion and metastasis to lymph nodes and lung tissue by breast cancer cells (3).

References

1. Banushi, B., Forneris, F., Straatman-Iwanowska, A., Strange, A., Lyne, A. M., Rogerson, C., . . . Gissen, P. (2016). Regulation of post-Golgi LH3 trafficking is essential for collagen homeostasis. Nat Commun, 7, 12111. doi:10.1038/ncomms12111

2. Lu, Y., Zhang, S., Wang, Y., Ren, X., & Han, J. (2019). Molecular mechanisms and clinical manifestations of rare genetic disorders associated with type I collagen. Intractable Rare Dis Res, 8(2), 98-107. doi:10.5582/irdr.2019.01064

3. Gilkes, D. M., Chaturvedi, P., Bajpai, S., Wong, C. C., Wei, H., Pitcairn, S., . . . Semenza, G. L. (2013). Collagen prolyl hydroxylases are essential for breast cancer metastasis. Cancer Res, 73(11), 3285-3296. doi:10.1158/0008-5472.Can-12-3963

Alternate Names

COL1A1, OI4

Entrez Gene IDs

1277 (Human); 29393 (Rat)

Gene Symbol

COL1A1

Additional Collagen I alpha 1 Products

Product Documents for Collagen I alpha 1 Antibody (COL-1)

Certificate of Analysis

To download a Certificate of Analysis, please enter a lot number in the search box below.

Product Specific Notices for Collagen I alpha 1 Antibody (COL-1)

This product is for research use only and is not approved for use in humans or in clinical diagnosis. Primary Antibodies are guaranteed for 1 year from date of receipt.

Loading...
Loading...
Loading...
Loading...
Loading...