Skip to main content

COL4A3BP Antibody - BSA Free

Novus Biologicals, part of Bio-Techne | Catalog # NBP1-31118

Catalog #
Availability
Size / Price
Qty
Loading...
NBP1-31118

Key Product Details

Species Reactivity

Validated:

Human, Mouse

Predicted:

Bovine (100%), Rat (100%). Backed by our 100% Guarantee.

Applications

Immunohistochemistry, Immunohistochemistry-Paraffin, Western Blot, Immunocytochemistry/ Immunofluorescence

Label

Unconjugated

Antibody Source

Polyclonal Rabbit IgG

Format

BSA Free

Concentration

Concentrations vary lot to lot. See vial label for concentration. If unlisted please contact technical services.

Product Specifications

Immunogen

Carrier-protein conjugated synthetic peptide encompassing a sequence within the C-terminus region of human COL4A3BP. The exact sequence is proprietary.

Localization

Cytoplasm, Golgi apparatus, Endoplasmic reticulum

Clonality

Polyclonal

Host

Rabbit

Isotype

IgG

Theoretical MW

71 kDa.
Disclaimer note: The observed molecular weight of the protein may vary from the listed predicted molecular weight due to post translational modifications, post translation cleavages, relative charges, and other experimental factors.

Scientific Data Images for COL4A3BP Antibody - BSA Free

Western Blot: COL4A3BP Antibody [NBP1-31118]

Western Blot: COL4A3BP Antibody [NBP1-31118]

Western Blot: COL4A3BP Antibody [NBP1-31118] - Sample (50 ug of whole cell lysate) A: Mouse white adipose 7. 5% SDS PAGE diluted at 1:1000.
Immunocytochemistry/ Immunofluorescence: COL4A3BP Antibody [NBP1-31118]

Immunocytochemistry/ Immunofluorescence: COL4A3BP Antibody [NBP1-31118]

Immunocytochemistry/Immunofluorescence: COL4A3BP Antibody [NBP1-31118] - Analysis of methanol-fixed A431, using antibody at 1:200 dilution.
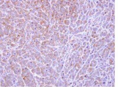
Immunohistochemistry-Paraffin: COL4A3BP Antibody [NBP1-31118]

Immunohistochemistry-Paraffin: COL4A3BP Antibody [NBP1-31118]

Immunohistochemistry-Paraffin: COL4A3BP Antibody [NBP1-31118] - BT483 xenograft. COL4A3BP antibody [C3], C-term dilution: 1:500. Antigen Retrieval: Trilogy™ (EDTA based, pH 8.0) buffer, 15min

Applications for COL4A3BP Antibody - BSA Free

Application
Recommended Usage

Immunocytochemistry/ Immunofluorescence

1:100-1:1000

Immunohistochemistry

1:100-1:1000

Immunohistochemistry-Paraffin

1:100-1:1000

Western Blot

1:500-1:3000

Formulation, Preparation, and Storage

Purification

Antigen Affinity-purified

Formulation

0.1M Tris, 0.1M Glycine, 10% Glycerol

Format

BSA Free

Preservative

0.01% Thimerosal

Concentration

Concentrations vary lot to lot. See vial label for concentration. If unlisted please contact technical services.

Shipping

The product is shipped with polar packs. Upon receipt, store it immediately at the temperature recommended below.

Stability & Storage

Aliquot and store at -20C or -80C. Avoid freeze-thaw cycles.

Background: COL4A3BP

COL4A3BP is a kinase that specifically phosphorylates the N terminal region of the non collagenous domain of the alpha 3 chain of type IV collagen, known as the Goodpasture antigen. Goodpasture disease is the result of an autoimmune response directed at this antigen. One isoform of this protein is also involved in ceramide intracellular transport. Two transcripts exist for this gene.

Alternate Names

Ceramide transfer protein, CERTFLJ20597, CERTL, collagen type IV alpha-3-binding protein, collagen, type IV, alpha 3 (Goodpasture antigen) binding protein, Goodpasture antigen-binding protein, GPBPSTARD11ceramide transporter, hCERT, lipid-transfer protein CERTL, StARD11, StAR-related lipid transfer (START) domain containing 11, StAR-related lipid transfer protein 11, START domain containing 11, START domain-containing protein 11

Gene Symbol

CERT1

Additional COL4A3BP Products

Product Documents for COL4A3BP Antibody - BSA Free

Certificate of Analysis

To download a Certificate of Analysis, please enter a lot number in the search box below.

Product Specific Notices for COL4A3BP Antibody - BSA Free

This product is for research use only and is not approved for use in humans or in clinical diagnosis. Primary Antibodies are guaranteed for 1 year from date of receipt.

Loading...
Loading...
Loading...
Loading...

⚠ WARNING: This product can expose you to chemicals including mercury, which is known to the State of California to cause reproductive toxicity with developmental effects.  For more information go to www.P65Warnings.ca.gov.