Skip to main content

COL11A1 Antibody - BSA Free

Novus Biologicals, part of Bio-Techne | Catalog # NBP3-04904

Novus Biologicals, part of Bio-Techne
Catalog #
Availability
Size / Price
Qty
Loading...
NBP3-04904-100ul
NBP3-04904-20ul

Key Product Details

Species Reactivity

Human, Mouse, Rat

Applications

Immunohistochemistry, Immunohistochemistry-Paraffin, Western Blot, ELISA

Label

Unconjugated

Antibody Source

Polyclonal Rabbit IgG

Format

BSA Free

Concentration

Please see the vial label for concentration. If unlisted please contact technical services.

Product Specifications

Immunogen

Recombinant fusion protein containing a sequence corresponding to amino acids 260-430 of human COL11A1 (NP_542196.2). EKKKSNFKKKMRTVATKSKEKSKKFTPPKSEKFSSKKKKSYQASAKAKLGVKANIVDDFQEYNYGTMESYQTEAPRHVSGTNEPNPVEEIFTEEYLTGEDYDSQRKNSEDTLYENKEIDGRDSDLLVDGDLGEYDFYEYKEYEDKPTSPPNEEFGPGVPAETDITETSING

Clonality

Polyclonal

Host

Rabbit

Isotype

IgG

Theoretical MW

181 kDa.
Disclaimer note: The observed molecular weight of the protein may vary from the listed predicted molecular weight due to post translational modifications, post translation cleavages, relative charges, and other experimental factors.

Description

Novus Biologicals Rabbit COL11A1 Antibody - BSA Free (NBP3-04904) is a polyclonal antibody validated for use in IHC, WB and ELISA. All Novus Biologicals antibodies are covered by our 100% guarantee.

Scientific Data Images for COL11A1 Antibody - BSA Free

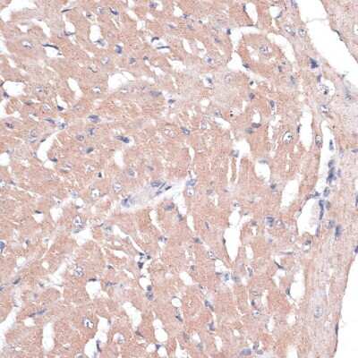
Immunohistochemistry-Paraffin: COL11A1 Antibody - BSA Free [NBP3-04904]

Immunohistochemistry-Paraffin: COL11A1 Antibody - BSA Free [NBP3-04904]

Immunohistochemistry-Paraffin: COL11A1 Antibody [NBP3-04904] - Paraffin-embedded rat heart using COL11A1 antibody at dilution of 1:100 (40x lens).
Immunohistochemistry-Paraffin: COL11A1 Antibody - BSA Free [NBP3-04904]

Immunohistochemistry-Paraffin: COL11A1 Antibody - BSA Free [NBP3-04904]

Immunohistochemistry-Paraffin: COL11A1 Antibody [NBP3-04904] - Paraffin-embedded mouse heart using COL11A1 antibody at dilution of 1:100 (40x lens).
COL11A1 Antibody - BSA Free

Western Blot: COL11A1 Antibody [NBP3-04904] -

Western Blot: COL11A1 Antibody [NBP3-04904] -Analysis of lysates from A-204 cells, using COL11A1 Rabbit pAb at 1:2000 dilution.Secondary antibody: HRP Goat Anti-Rabbit IgG (H+L) at 1:10000 dilution.Lysates/proteins: 25ug per lane.Blocking buffer: 3% nonfat dry milk in TBST.Detection: ECL Basic Kit. Exposure time: 90s.

Applications for COL11A1 Antibody - BSA Free

Application
Recommended Usage

ELISA

Recommended starting concentration is 1 μg/mL.

Immunohistochemistry

1:50-1:200

Western Blot

1:1000 - 1:5000

Formulation, Preparation, and Storage

Purification

Affinity purified

Formulation

PBS (pH 7.3), 50% glycerol

Format

BSA Free

Preservative

0.02% Sodium Azide

Concentration

Please see the vial label for concentration. If unlisted please contact technical services.

Shipping

The product is shipped with polar packs. Upon receipt, store it immediately at the temperature recommended below.

Stability & Storage

Store at -20C. Avoid freeze-thaw cycles.

Background: COL11A1

The COL11A1 gene encodes one of the two alpha chains of type XI collagen, a minor fibrillar collagen. Type XI collagen is aheterotrimer but the third alpha chain is a post-translationally modified alpha 1 type II chain. Mutations in thisgene are associated with

Alternate Names

alpha-1 polypeptide, COLL6, collagen, type XI, alpha 1

Gene Symbol

COL11A1

Additional COL11A1 Products

Product Documents for COL11A1 Antibody - BSA Free

Certificate of Analysis

To download a Certificate of Analysis, please enter a lot number in the search box below.

Product Specific Notices for COL11A1 Antibody - BSA Free

This product is for research use only and is not approved for use in humans or in clinical diagnosis. Primary Antibodies are guaranteed for 1 year from date of receipt.

Loading...
Loading...
Loading...
Loading...