Skip to main content

Coilin Antibody - BSA Free

Novus Biologicals, part of Bio-Techne | Catalog # NBP3-29489

Novus Biologicals, part of Bio-Techne
Catalog #
Availability
Size / Price
Qty
Loading...
NBP3-29489

Key Product Details

Species Reactivity

Human

Applications

Immunohistochemistry, Immunoprecipitation

Label

Unconjugated

Antibody Source

Polyclonal Rabbit IgG

Format

BSA Free

Concentration

Please see the vial label for concentration. If unlisted please contact technical services.

Product Specifications

Immunogen

Between 275 and 325

Clonality

Polyclonal

Host

Rabbit

Isotype

IgG

Description

Novus Biologicals Rabbit Coilin Antibody - BSA Free (NBP3-29489) is a polyclonal antibody validated for use in IHC and IP. All Novus Biologicals antibodies are covered by our 100% guarantee.

Scientific Data Images for Coilin Antibody - BSA Free

Coilin Antibody

Immunohistochemistry;Coilin Antibody[NBP3-29488]

Immunohistochemistry;Coilin Antibody[NBP3-29488]Detection of human Coilin by immunohistochemistry. Sample: FFPE section of human ovarian carcinoma. Antibody: Affinity purified rabbit anti-Coilin used at a dilution of 1:1,000 . Detection: DAB. Counterstain: Hematoxylin .
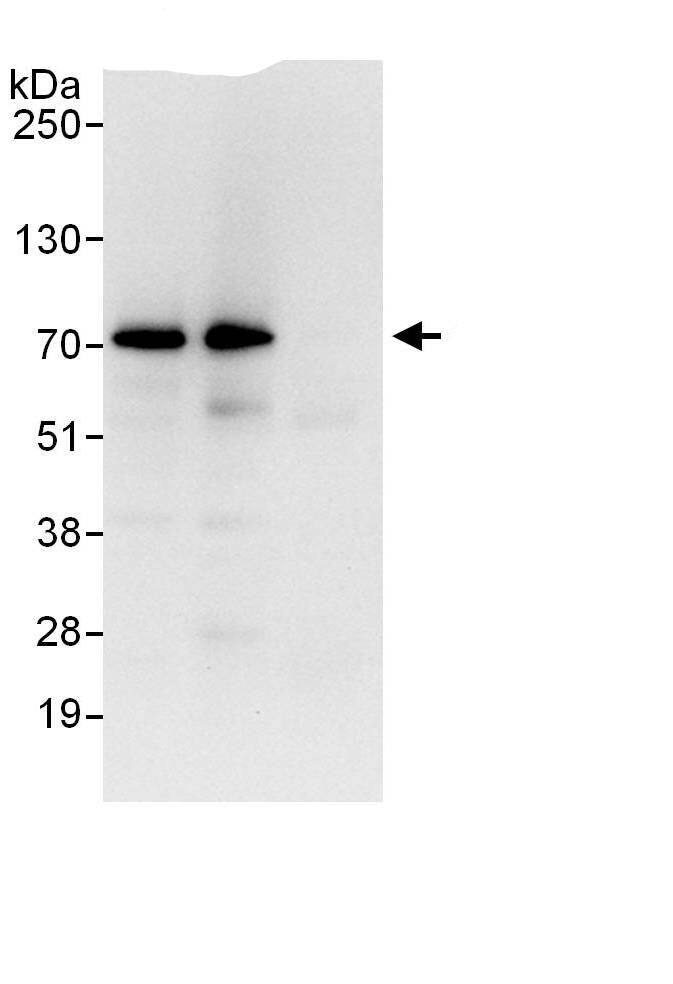
Coilin Antibody

Immunoprecipitation:Coilin AntibodyNBP3-29489] -

Immunoprecipitation:Coilin AntibodyNBP3-29489] -Detection of human Coilin by western blot of immunoprecipitates. Samples: Whole cell lysate (1 mg for IP, 20% of IP loaded) from HeLa cells. Antibodies: Affinity purified rabbit anti-Coilin antibody NBP3-29489 used for IP at 6 µg/mg lysate. Coilin was also immunoprecipitated by rabbit anti-Coilin., which recognizes a downstream epitope. For blotting immunoprecipitated Coilin, was used at 1 µg/ml. Detection: Chemiluminescence with an exposure time of 10 seconds.

Applications for Coilin Antibody - BSA Free

Application
Recommended Usage

Immunohistochemistry

Optimal dilutions of this antibody should be experimentally determined.

Immunoprecipitation

Optimal dilutions of this antibody should be experimentally determined.

Formulation, Preparation, and Storage

Purification

Affinity purified

Formulation

Tris-citrate/phosphate buffer, pH 7 to 8

Format

BSA Free

Preservative

0.09% Sodium Azide

Concentration

Please see the vial label for concentration. If unlisted please contact technical services.

Shipping

The product is shipped with polar packs. Upon receipt, store it immediately at the temperature recommended below.

Stability & Storage

Store at 4C. Do not freeze.

Background: Coilin

Coilin is encoded by this gene is an integral component of Cajal bodies (also called coiled bodies). Cajal bodies are nuclear suborganelles of varying number and composition that are involved in the post-transcriptional modification of small nuclear and small nucleolar RNAs. The N-terminus of the coilin protein directs its self-oligomerization while the C-terminus influences the number of nuclear bodies assembled per cell. Differential methylation and phosphorylation of coilin likely influences its localization among nuclear bodies and the composition and assembly of Cajal bodies. This gene has pseudogenes on chromosome 4 and chromosome 14.

Alternate Names

CLN80p80-coilin, coilin, coilin p80, p80

Gene Symbol

COIL

Additional Coilin Products

Product Documents for Coilin Antibody - BSA Free

Certificate of Analysis

To download a Certificate of Analysis, please enter a lot number in the search box below.

Product Specific Notices for Coilin Antibody - BSA Free

This product is for research use only and is not approved for use in humans or in clinical diagnosis. Primary Antibodies are guaranteed for 1 year from date of receipt.

Loading...
Loading...
Loading...
Loading...