Skip to main content

Cofilin Antibody - BSA Free

Novus Biologicals, part of Bio-Techne | Catalog # NB100-81866

Novus Biologicals, part of Bio-Techne
Catalog #
Availability
Size / Price
Qty
Loading...
NB100-81866
NB100-81866-0.025ml

Key Product Details

Species Reactivity

Validated:

Human, Mouse, Rat

Cited:

Mouse

Applications

Immunohistochemistry, Immunohistochemistry-Paraffin, Western Blot

Label

Unconjugated

Antibody Source

Polyclonal Rabbit IgG

Format

BSA Free

Concentration

1.0 mg/ml

Product Specifications

Immunogen

Peptide sequence around aa. 1~5 (M-A-S-G-V) derived from Human Cofilin.

Specificity

Detects endogenous levels of total Cofilin protein.

Clonality

Polyclonal

Host

Rabbit

Isotype

IgG

Theoretical MW

19 kDa.
Disclaimer note: The observed molecular weight of the protein may vary from the listed predicted molecular weight due to post translational modifications, post translation cleavages, relative charges, and other experimental factors.

Scientific Data Images for Cofilin Antibody - BSA Free

Western Blot: Cofilin Antibody [NB100-81866]

Western Blot: Cofilin Antibody [NB100-81866]

Western Blot: Cofilin Antibody [NB100-81866] - Analysis of extracts from MDA cells using cofilin (Ab-3)
Cofilin Antibody - BSA Free

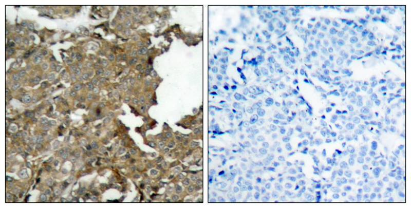
Immunohistochemistry-Paraffin: Cofilin Antibody [NB100-81866] -

Immunohistochemistry-Paraffin: Cofilin Antibody [NB100-81866] - Immunohistochemical analysis of paraffin-embedded human breast carcinoma tissue using NB100-81866(left) or the same antibody preincubated with blocking peptide(right).
Cofilin Antibody - BSA Free

Western Blot: Cofilin Antibody - BSA Free [NB100-81866] -

Western blot analysis. GAPDH was used as the loading control. A: The proteins identities are indicated on the right. B: Band intensity was quantified by densitometry and the fold difference of each microfilament regulator in the conjunctival bulbar and palpebral epithelia compared to the conjunctival forniceal epithelia was expressed graphically. bcj, bulbar conjunctiva; pcj, palpebral conjunctiva. Image collected and cropped by CiteAb from the following open publication (https://pubmed.ncbi.nlm.nih.gov/21151337), licensed under a CC-BY license. Not internally tested by Novus Biologicals.

Applications for Cofilin Antibody - BSA Free

Application
Recommended Usage

Immunohistochemistry

1:50-1:100

Immunohistochemistry-Paraffin

1:50-1:100

Western Blot

1:500-1:1000

Formulation, Preparation, and Storage

Purification

Immunogen affinity purified

Formulation

PBS (without Mg2+ and Ca2+), pH 7.4, 150 mM NaCl, 50% glycerol

Format

BSA Free

Preservative

0.02% Sodium Azide

Concentration

1.0 mg/ml

Shipping

The product is shipped with polar packs. Upon receipt, store it immediately at the temperature recommended below.

Stability & Storage

Store at 4C short term. Aliquot and store at -20C long term. Avoid freeze-thaw cycles.

Background: CFL1

Cofilin is a small phosphoinositide sensitive, actin binding protein capable of depolymerizing actin filaments in vitro. Under certain conditions, it fragments the filaments and accelerates actin subunit dissociation from their 'pointed' (minus) ends. Cofilin binds stoichiometrically to monomeric G-actin and to actin protomers in filaments in an apparent pH-dependent, Ca2+- independent manner. Cofilin intercalates between longitudinally associated actin monomers within the filament and distorts its helical twist. Cofilin is ubiquitous in tissues of eukaryotes and is especially abundant in neuronal tissues. It is essential for viability and is important for many cellular processes involving actin remodeling such as motility at the leading edge of cells, polarized cell growth, endocytosis, phagocytosis, cellular activation, cytokinesis, and pathogen intracellular motility.

Long Name

cofilin 1

Alternate Names

CFL, cofilin, cofilin-1, HEL-S-15

Entrez Gene IDs

1072 (Human); 12631 (Mouse); 29271 (Rat)

Gene Symbol

CFL1

UniProt

Additional CFL1 Products

Product Documents for Cofilin Antibody - BSA Free

Certificate of Analysis

To download a Certificate of Analysis, please enter a lot number in the search box below.

Product Specific Notices for Cofilin Antibody - BSA Free

This product is for research use only and is not approved for use in humans or in clinical diagnosis. Primary Antibodies are guaranteed for 1 year from date of receipt.

Loading...
Loading...
Loading...
Loading...