Skip to main content

Cochlin Antibody - BSA Free

Novus Biologicals, part of Bio-Techne | Catalog # NBP3-48259

Novus Biologicals, part of Bio-Techne
Catalog #
Availability
Size / Price
Qty
Loading...
NBP3-48259

Key Product Details

Species Reactivity

Human

Applications

Immunohistochemistry, Western Blot, ELISA, Immunocytochemistry/ Immunofluorescence

Label

Unconjugated

Antibody Source

Polyclonal Rabbit IgG

Format

BSA Free

Concentration

Please see the vial label for concentration. If unlisted please contact technical services.

Product Specifications

Immunogen

coagulation factor C homolog, cochlin (Limulus polyphemus). (Uniprot# O43405)

Clonality

Polyclonal

Host

Rabbit

Isotype

IgG

Description

Novus Biologicals Rabbit Cochlin Antibody - BSA Free (NBP3-48259) is a polyclonal antibody validated for use in IHC, WB, ELISA and ICC/IF. All Novus Biologicals antibodies are covered by our 100% guarantee.

Scientific Data Images for Cochlin Antibody - BSA Free

Cochlin Antibody - BSA Free

Immunocytochemistry/ Immunofluorescence: Cochlin Antibody - BSA Free [NBP3-48259] -

Immunocytochemistry/ Immunofluorescence: Cochlin Antibody - BSA Free [NBP3-48259] - Immunofluorescence analysis of HeLa cells using (Cochlin antibody) at dilution of 1:50
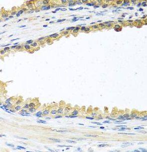
Cochlin Antibody - BSA Free

Immunohistochemistry: Cochlin Antibody - BSA Free [NBP3-48259] -

Immunohistochemistry: Cochlin Antibody - BSA Free [NBP3-48259] - Immunohistochemistry of paraffin-embedded human prostate using (Cochlin antibody) at dilution of 1:100

Applications for Cochlin Antibody - BSA Free

Application
Recommended Usage

Immunocytochemistry/ Immunofluorescence

1:50 - 1:100

Immunohistochemistry

1:50 - 1:100

Western Blot

1:500 - 1:2000

Formulation, Preparation, and Storage

Purification

Immunogen affinity purified

Formulation

PBS, 50% Glycerol, pH (7.3)

Format

BSA Free

Preservative

0.02% Sodium Azide

Concentration

Please see the vial label for concentration. If unlisted please contact technical services.

Shipping

The product is shipped with polar packs. Upon receipt, store it immediately at the temperature recommended below.

Stability & Storage

Store at -20C. Avoid freeze-thaw cycles.

Background: Cochlin

COCH is encoded by this gene is highly conserved in human, mouse, and chicken, showing 94% and 79% amino acid identity of human to mouse and chicken sequences, respectively. Hybridization to this gene was detected in spindle-shaped cells located along nerve fibers between the auditory ganglion and sensory epithelium. These cells accompany neurites at the habenula perforata, the opening through which neurites extend to innervate hair cells. This and the pattern of expression of this gene in chicken inner ear paralleled the histologic findings of acidophilic deposits, consistent with mucopolysaccharide ground substance, in temporal bones from DFNA9 (autosomal dominant nonsyndromic sensorineural deafness 9) patients. Mutations that cause DFNA9 have been reported in this gene. Alternative splicing results in multiple transcript variants encoding the same protein. Additional splice variants encoding distinct isoforms have been described but their biological validities have not been demonstrated. [provided by RefSeq]

Alternate Names

COCH, COCH5B2, DFNA31, DFNA9

Gene Symbol

COCH

Additional Cochlin Products

Product Documents for Cochlin Antibody - BSA Free

Certificate of Analysis

To download a Certificate of Analysis, please enter a lot number in the search box below.

Product Specific Notices for Cochlin Antibody - BSA Free

This product is for research use only and is not approved for use in humans or in clinical diagnosis. Primary Antibodies are guaranteed for 1 year from date of receipt.

Loading...
Loading...
Loading...
Loading...