Skip to main content

CNPY2 Antibody - Azide and BSA Free

Novus Biologicals, part of Bio-Techne | Catalog # NBP3-00189

Novus Biologicals, part of Bio-Techne

Key Product Details

Species Reactivity

Human

Applications

Immunohistochemistry, Immunohistochemistry-Paraffin, Western Blot, ELISA, Immunoprecipitation

Label

Unconjugated

Antibody Source

Polyclonal Rabbit IgG

Format

Azide and BSA Free

Concentration

Please see the vial label for concentration. If unlisted please contact technical services.

Product Specifications

Immunogen

Produced in rabbits immunized with purified, recombinant Human CNPY2 (Uniprot#: Q9Y2B0-1; Met1-Ser178)

Clonality

Polyclonal

Host

Rabbit

Isotype

IgG

Description

This antibody can be stored at 2C to 8C for one month without detectable loss of activity. Antibody products are stable for twelve months from date of receipt when stored at -20C to -80C. Avoid repeated freeze-thaw cycles.

Scientific Data Images for CNPY2 Antibody - Azide and BSA Free

CNPY2 Antibody - Azide and BSA Free

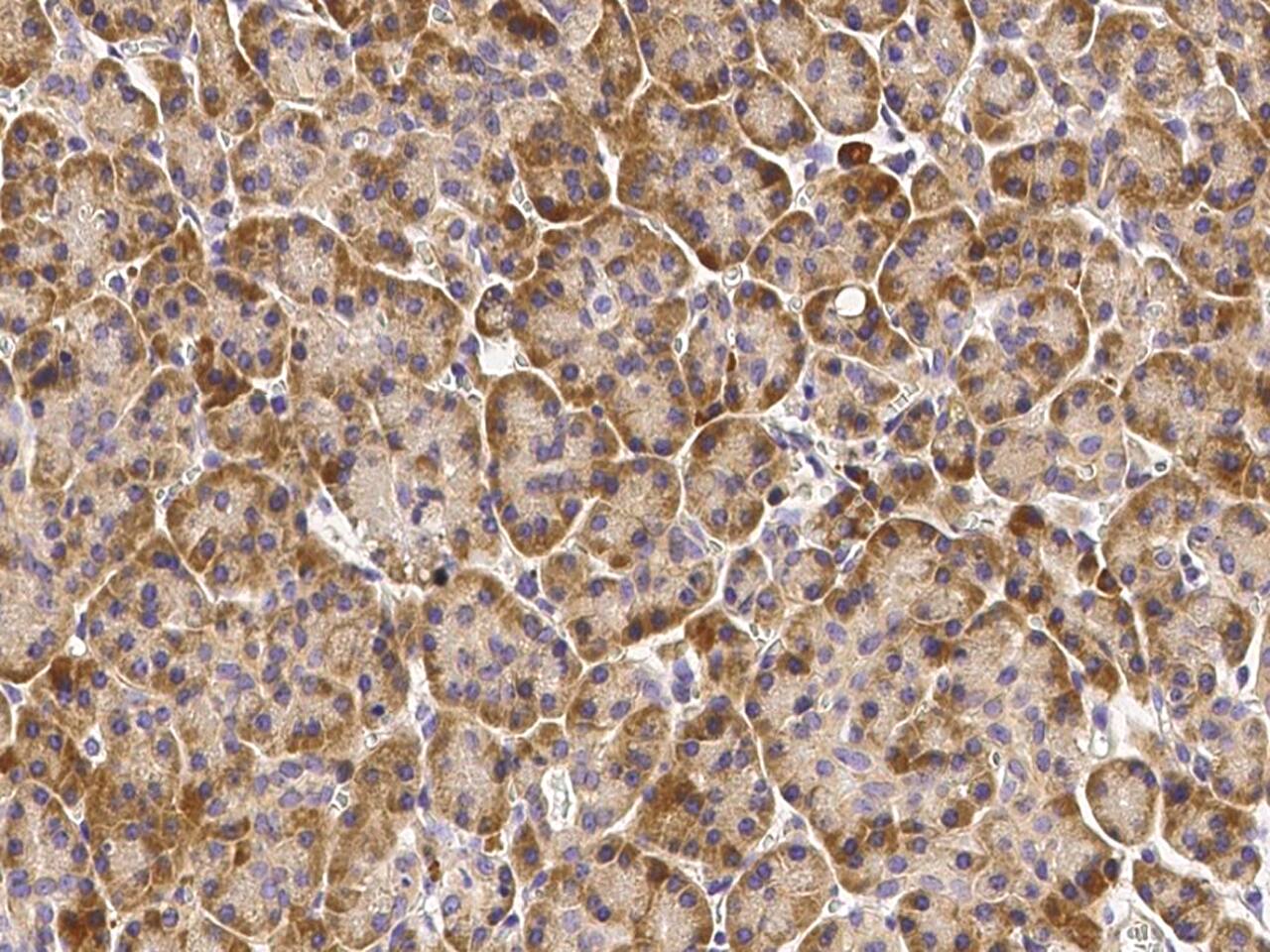
Immunohistochemistry-Paraffin: CNPY2 Antibody [NBP3-00189] -

Immunohistochemistry-Paraffin: CNPY2 Antibody [NBP3-00189] - Immunochemical staining of human CNPY2 in human pancreas with NBP3-00189 (1:5000, formalin-fixed paraffin embedded sections).
CNPY2 Antibody - Azide and BSA Free

Western Blot: CNPY2 Antibody [NBP3-00189] -

Western Blot: CNPY2 Antibody [NBP3-00189] - NBP3-00189 at 1:500 dilution Lane A: MCF7 Whole Cell Lysate Lysates/proteins at 30 ug per lane. Secondary Goat Anti-Rabbit IgG H&L (Dylight800) at 1/10000 dilution. Developed using the Odyssey technique. Performed under reducing conditions. Predicted band size:21 kDa Observed band size:17 kDa (We are unsure as to the identity of these extra bands.)
CNPY2 Antibody - Azide and BSA Free

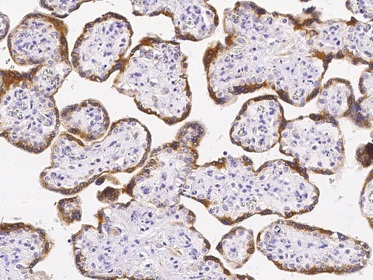
Immunohistochemistry-Paraffin: CNPY2 Antibody [NBP3-00189] -

Immunohistochemistry-Paraffin: CNPY2 Antibody [NBP3-00189] - Immunochemical staining of human CNPY2 in human placenta with NBP3-00189 (1:5000, formalin-fixed paraffin embedded sections).

Applications for CNPY2 Antibody - Azide and BSA Free

Application
Recommended Usage

ELISA

1:5000-1:10000

Immunohistochemistry-Paraffin

1:2500-1:10000

Immunoprecipitation

1-4 uL/mg of lysate

Western Blot

1:500-1:2000

Formulation, Preparation, and Storage

Purification

Antigen and protein A Affinity-purified

Formulation

0.2 um filtered solution in PBS

Format

Azide and BSA Free

Preservative

No Preservative

Concentration

Please see the vial label for concentration. If unlisted please contact technical services.

Shipping

The product is shipped with polar packs. Upon receipt, store it immediately at the temperature recommended below.

Stability & Storage

Store at 4C short term. Aliquot and store at -20C long term. Avoid freeze-thaw cycles.

Background: CNPY2

Positive regulator of neurite outgrowth by stabilizing myosin regulatory light chain (MRLC). It prevents MIR-mediated MRLC ubiquitination and its subsequent proteasomal degradation

Long Name

Canopy 2

Alternate Names

HP10390, MSAP, TMEM4, ZSIG9

Gene Symbol

CNPY2

Additional CNPY2 Products

Product Documents for CNPY2 Antibody - Azide and BSA Free

Certificate of Analysis

To download a Certificate of Analysis, please enter a lot number in the search box below.

Product Specific Notices for CNPY2 Antibody - Azide and BSA Free

This product is for research use only and is not approved for use in humans or in clinical diagnosis. Primary Antibodies are guaranteed for 1 year from date of receipt.

Loading...
Loading...
Loading...
Loading...