CNPase Antibody (8O3B6)
Novus Biologicals, part of Bio-Techne | Catalog # NBP3-15622
Recombinant Monoclonal Antibody
Key Product Details
Species Reactivity
Human, Mouse, Rat
Applications
Immunocytochemistry/ Immunofluorescence, Immunohistochemistry, Immunohistochemistry-Paraffin, Western Blot
Label
Unconjugated
Antibody Source
Recombinant Monoclonal Rabbit IgG Clone # 8O3B6 expressed in HEK293
Concentration
Please see the vial label for concentration. If unlisted please contact technical services.
Product Specifications
Immunogen
A synthetic peptide corresponding to a sequence within amino acids 322-421 of human CNPase (P09543). NLPRGSRAHITLGCAADVEAVQTGLDLLEILRQEKGGSRGEEVGELSRGKLYSLGNGRWMLTLAKNMEVRAIFTGYYGKGKPVPTQGSRKGGALQSCTII
Clonality
Monoclonal
Host
Rabbit
Isotype
IgG
Description
Novus Biologicals Rabbit CNPase Antibody (8O3B6) (NBP3-15622) is a recombinant monoclonal antibody validated for use in IHC, WB and ICC/IF. All Novus Biologicals antibodies are covered by our 100% guarantee.
Scientific Data Images for CNPase Antibody (8O3B6)
Western Blot: CNPase Antibody (8O3B6) [NBP3-15622] -
Western Blot: CNPase Antibody (8O3B6) [NBP3-15622] - Western blot analysis of various lysates using CNPase Rabbit mAb at 1:1000 dilution.Secondary antibody: HRP Goat Anti-Rabbit IgG (H+L) at 1:10000 dilution.
Lysates/proteins: 25ug per lane.
Blocking buffer: 3% nonfat dry milk in TBST.
Detection: ECL Basic Kit .
Exposure time: 10s.
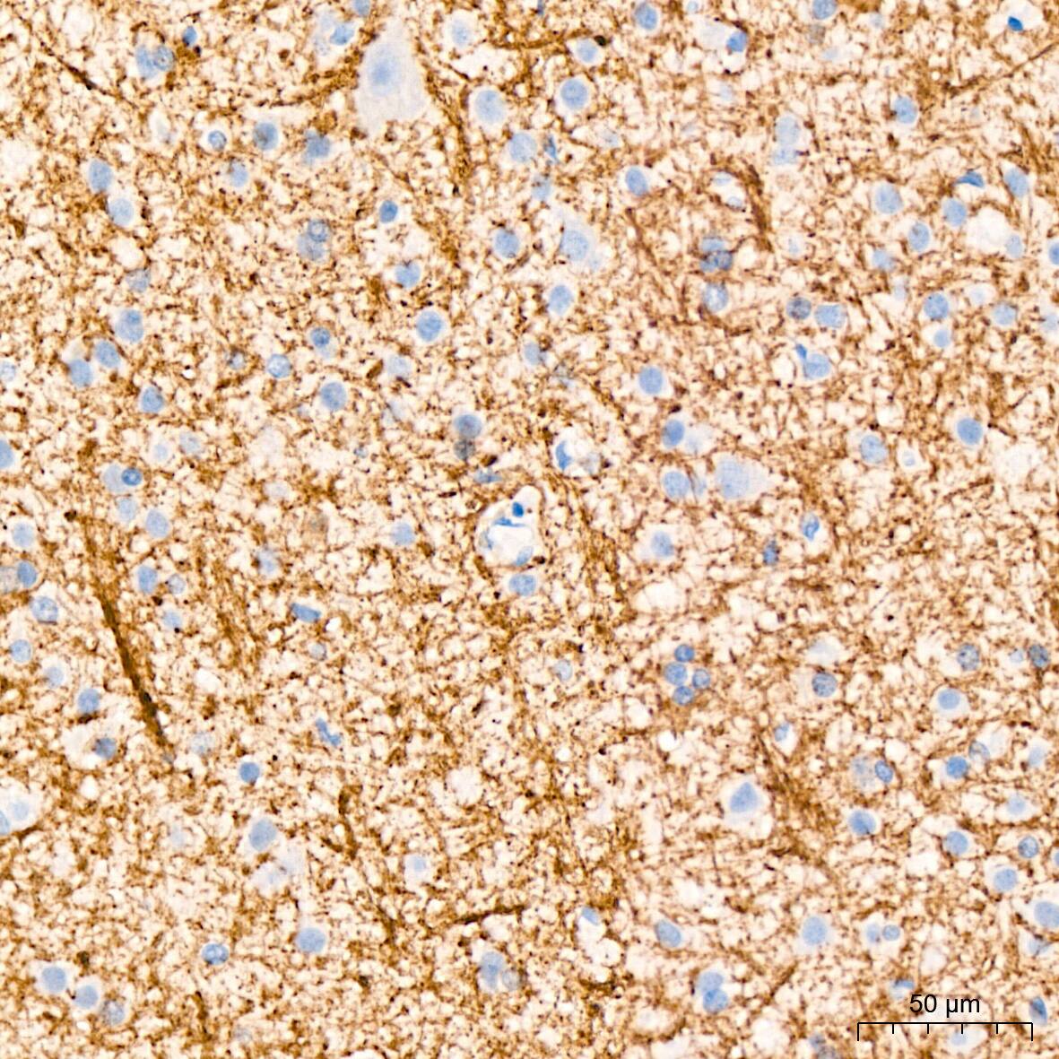
Immunohistochemistry: CNPase Antibody (8O3B6) [NBP3-15622] -
Immunohistochemistry: CNPase Antibody (8O3B6) [NBP3-15622] - Immunohistochemistry analysis of CNPase in paraffin-embedded mouse brain tissue using CNPase Rabbit mAb at a dilution of 1:1600 (40x lens). High pressure antigen retrieval was performed with 0.01 M citrate buffer (pH 6.0) prior to IHC staining.Immunohistochemistry: CNPase Antibody (8O3B6) [NBP3-15622] -
Immunohistochemistry: CNPase Antibody (8O3B6) [NBP3-15622] - Immunohistochemistry analysis of CNPase in paraffin-embedded rat brain tissue using CNPase Rabbit mAb at a dilution of 1:1600 (40x lens). High pressure antigen retrieval was performed with 0.01 M citrate buffer (pH 6.0) prior to IHC staining.Applications for CNPase Antibody (8O3B6)
Application
Recommended Usage
Immunocytochemistry/ Immunofluorescence
1:50 - 1:200
Immunohistochemistry
1:50 - 1:200
Immunohistochemistry-Paraffin
1:50 - 1:200
Western Blot
1:500 - 1:2000
Formulation, Preparation, and Storage
Purification
Affinity purified
Formulation
PBS (pH 7.3), 50% glycerol, 0.05% BSA
Preservative
0.02% Sodium Azide
Concentration
Please see the vial label for concentration. If unlisted please contact technical services.
Shipping
The product is shipped with polar packs. Upon receipt, store it immediately at the temperature recommended below.
Stability & Storage
Store at -20C. Avoid freeze-thaw cycles.
Background: CNPase
Alternate Names
2', 3' cyclic nucleotide 3' phosphohydrolase, 2'-3'-cyclic nucleotide 3' phosphodiesterase, 2'-3'-cyclic-nucleotide 3'-phosphodiesterase, CNP1, CNPase, EC 3.1.4.37
Gene Symbol
CNP
Additional CNPase Products
Product Documents for CNPase Antibody (8O3B6)
Product Specific Notices for CNPase Antibody (8O3B6)
This product is for research use only and is not approved for use in humans or in clinical diagnosis. Primary Antibodies are guaranteed for 1 year from date of receipt.
Loading...
Loading...
Loading...
Loading...