Skip to main content

CNOT4 Antibody (OTI1H2)

Novus Biologicals, part of Bio-Techne | Catalog # NBP2-03878

Novus Biologicals, part of Bio-Techne
Catalog #
Availability
Size / Price
Qty
Loading...
NBP2-03878

Key Product Details

Species Reactivity

Human, Mouse, Rat

Applications

Immunohistochemistry, Immunohistochemistry-Paraffin, Western Blot

Label

Unconjugated

Antibody Source

Monoclonal Mouse IgG1 Clone # OTI1H2

Concentration

1 mg/ml

Product Specifications

Immunogen

Human recombinant protein fragment corresponding to amino acids 190-455 of human CNOT4 (NP_037448) produced in E.coli.

Reactivity Notes

Please note that this antibody is reactive to Mouse and derived from the same host, Mouse. Mouse-On-Mouse blocking reagent may be needed for IHC and ICC experiments to reduce high background signal. You can find these reagents under catalog numbers PK-2200-NB and MP-2400-NB. Please contact Technical Support if you have any questions.

Clonality

Monoclonal

Host

Mouse

Isotype

IgG1

Theoretical MW

70.2 kDa.
Disclaimer note: The observed molecular weight of the protein may vary from the listed predicted molecular weight due to post translational modifications, post translation cleavages, relative charges, and other experimental factors.

Description

Novus Biologicals Mouse CNOT4 Antibody (OTI1H2) (NBP2-03878) is a monoclonal antibody validated for use in IHC and WB. All Novus Biologicals antibodies are covered by our 100% guarantee.

Scientific Data Images for CNOT4 Antibody (OTI1H2)

Western Blot: CNOT4 Antibody (OTI1H2) [NBP2-03878]

Western Blot: CNOT4 Antibody (OTI1H2) [NBP2-03878]

Western Blot: CNOT4 Antibody (1H2) [NBP2-03878] - HEK293T cells were transfected with the pCMV6-ENTRY control (Left lane) or pCMV6-ENTRY CNOT4 (Right lane) cDNA for 48 hrs and lysed. Equivalent amounts of cell lysates (5 ug per lane) were separated by SDS-PAGE and immunoblotted with anti-CNOT4.
Immunohistochemistry-Paraffin: CNOT4 Antibody (1H2) [NBP2-03878] Staining of paraffin-embedded Human tonsil using anti-CNOT4 mouse monoclonal antibody.
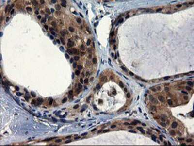
Immunohistochemistry-Paraffin: CNOT4 Antibody (OTI1H2) [NBP2-03878]

Immunohistochemistry-Paraffin: CNOT4 Antibody (OTI1H2) [NBP2-03878]

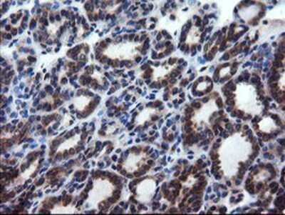
Immunohistochemistry-Paraffin: CNOT4 Antibody (1H2) [NBP2-03878] - Staining of paraffin-embedded Adenocarcinoma of Human breast tissue using anti-CNOT4 mouse monoclonal antibody.

Applications for CNOT4 Antibody (OTI1H2)

Application
Recommended Usage

Immunohistochemistry

1:150

Immunohistochemistry-Paraffin

1:150

Western Blot

1:2000

Formulation, Preparation, and Storage

Purification

Immunogen affinity purified

Formulation

PBS (pH 7.3), 1.0% BSA and 50% Glycerol

Preservative

0.02% Sodium Azide

Concentration

1 mg/ml

Shipping

The product is shipped with polar packs. Upon receipt, store it immediately at the temperature recommended below.

Stability & Storage

Store at -20C. Avoid freeze-thaw cycles.

Background: CNOT4

The protein encoded by this gene is a subunit of the CCR4-NOT complex, a global transcriptional regulator. The encoded protein interacts with CNOT1 and has E3 ubiquitin ligase activity. Several transcript variants encoding different isoforms have been found for this gene.

Alternate Names

CCR4-associated factor 4, CCR4-NOT transcription complex, subunit 4, E3 ubiquitin-protein ligase CNOT4, EC 6.3.2.-, NOT4yeast) homolog

Entrez Gene IDs

4850 (Human)

Gene Symbol

CNOT4

Additional CNOT4 Products

Product Documents for CNOT4 Antibody (OTI1H2)

Certificate of Analysis

To download a Certificate of Analysis, please enter a lot number in the search box below.

Product Specific Notices for CNOT4 Antibody (OTI1H2)

This product is for research use only and is not approved for use in humans or in clinical diagnosis. Primary Antibodies are guaranteed for 1 year from date of receipt.

Loading...
Loading...
Loading...
Loading...