Skip to main content

CMIP Antibody - BSA Free

Novus Biologicals, part of Bio-Techne | Catalog # NBP3-47575

Novus Biologicals, part of Bio-Techne
Catalog #
Availability
Size / Price
Qty
Loading...
NBP3-47575

Key Product Details

Species Reactivity

Human, Mouse, Rat

Applications

ELISA, Immunohistochemistry, Immunoprecipitation, Western Blot

Label

Unconjugated

Antibody Source

Polyclonal Rabbit IgG

Format

BSA Free

Concentration

Please see the vial label for concentration. If unlisted please contact technical services.

Product Specifications

Immunogen

c-Maf-inducing protein. (Uniprot# Q8IY22)

Clonality

Polyclonal

Host

Rabbit

Isotype

IgG

Theoretical MW

75 kDa.
Disclaimer note: The observed molecular weight of the protein may vary from the listed predicted molecular weight due to post translational modifications, post translation cleavages, relative charges, and other experimental factors.

Description

Novus Biologicals Rabbit CMIP Antibody - BSA Free (NBP3-47575) is a polyclonal antibody validated for use in IHC, WB, ELISA and IP. All Novus Biologicals antibodies are covered by our 100% guarantee.

Scientific Data Images for CMIP Antibody - BSA Free

CMIP Antibody - BSA Free

Immunoprecipitation: CMIP Antibody - BSA Free [NBP3-47575] -

Immunoprecipitation: CMIP Antibody - BSA Free [NBP3-47575] - IP Result of anti-CMIP (IP:, 4ug; Detection: 1:300) with Raji cells lysate 2000ug.
CMIP Antibody - BSA Free

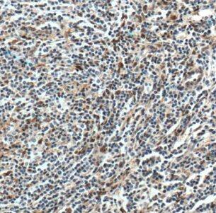
Immunohistochemistry: CMIP Antibody - BSA Free [NBP3-47575] -

Immunohistochemistry: CMIP Antibody - BSA Free [NBP3-47575] - Immunohistochemistry of paraffin-embedded human testis using (CMIP antibody) at dilution of 1:50
CMIP Antibody - BSA Free

Western Blot: CMIP Antibody - BSA Free [NBP3-47575] -

Western Blot: CMIP Antibody - BSA Free [NBP3-47575] - Raji cells were subjected to SDS PAGE followed by western blot with (CMIP antibody) at dilution of 1:400

Applications for CMIP Antibody - BSA Free

Application
Recommended Usage

Immunohistochemistry

1:20-1:200

Immunoprecipitation

1:200-1:1000

Western Blot

1:500-1:2000

Formulation, Preparation, and Storage

Purification

Immunogen affinity purified

Formulation

PBS, 50% Glycerol, pH (7.3)

Format

BSA Free

Preservative

0.02% Sodium Azide

Concentration

Please see the vial label for concentration. If unlisted please contact technical services.

Shipping

The product is shipped with polar packs. Upon receipt, store it immediately at the temperature recommended below.

Stability & Storage

Store at -20C. Avoid freeze-thaw cycles.

Background: CMIP

CMIP plays a role in T-cell signaling pathway. Isoform 2 may play a role in T-helper 2 (Th2) signaling pathway andseems to represent the first proximal signaling protein that links T-cell receptor-mediated signal to the activationof c-Maf Th2 specific factor

Alternate Names

c-Mip, KIAA1694c-Maf-inducing protein, T, TCMIP, tc-Mip, Truncated c-Maf-inducing protein

Gene Symbol

CMIP

Additional CMIP Products

Product Documents for CMIP Antibody - BSA Free

Certificate of Analysis

To download a Certificate of Analysis, please enter a lot number in the search box below.

Product Specific Notices for CMIP Antibody - BSA Free

This product is for research use only and is not approved for use in humans or in clinical diagnosis. Primary Antibodies are guaranteed for 1 year from date of receipt.

Loading...
Loading...
Loading...
Loading...