CLPB Antibody - BSA Free
Novus Biologicals, part of Bio-Techne | Catalog # NBP1-83703
Key Product Details
Species Reactivity
Validated:
Human
Predicted:
Mouse (96%), Rat (96%). Backed by our 100% Guarantee.
Applications
Immunohistochemistry, Immunohistochemistry-Paraffin
Label
Unconjugated
Antibody Source
Polyclonal Rabbit IgG
Format
BSA Free
Concentration
Concentrations vary lot to lot. See vial label for concentration. If unlisted please contact technical services.
Product Specifications
Immunogen
This antibody was developed against Recombinant Protein corresponding to amino acids: KRAKQRHNITLLWDREVADVLVDGYNVHYGARSIKHEVERRVVNQLAAAYEQDLLPGGCTLRITVEDSDKQLLKSPELPSPQAEKRLPKLRLEIIDKDSKTRRLD
Clonality
Polyclonal
Host
Rabbit
Isotype
IgG
Theoretical MW
79 kDa.
Disclaimer note: The observed molecular weight of the protein may vary from the listed predicted molecular weight due to post translational modifications, post translation cleavages, relative charges, and other experimental factors.
Disclaimer note: The observed molecular weight of the protein may vary from the listed predicted molecular weight due to post translational modifications, post translation cleavages, relative charges, and other experimental factors.
Description
Novus Biologicals Rabbit CLPB Antibody - BSA Free (NBP1-83703) is a polyclonal antibody validated for use in IHC. All Novus Biologicals antibodies are covered by our 100% guarantee.
Scientific Data Images for CLPB Antibody - BSA Free
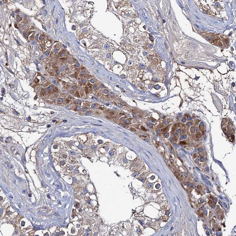
Immunohistochemistry-Paraffin: CLPB Antibody - BSA Free [NBP1-83703]
Staining of human kidney shows very strong granular cytoplasmic positivity in cells in tubules.Immunohistochemistry-Paraffin: CLPB Antibody - BSA Free [NBP1-83703]
Staining of human testis shows moderate granular cytoplasmic positivity in Leydig cells.Immunohistochemistry-Paraffin: CLPB Antibody - BSA Free [NBP1-83703]
Staining of human liver shows moderate granular cytoplasmic positivity in hepatocytes.Applications for CLPB Antibody - BSA Free
Application
Recommended Usage
Immunohistochemistry
1:200 - 1:500
Immunohistochemistry-Paraffin
1:200 - 1:500
Application Notes
For IHC-Paraffin, HIER pH 6 retrieval is recommended.
Formulation, Preparation, and Storage
Purification
Affinity purified
Formulation
PBS (pH 7.2) and 40% Glycerol
Format
BSA Free
Preservative
0.02% Sodium Azide
Concentration
Concentrations vary lot to lot. See vial label for concentration. If unlisted please contact technical services.
Shipping
The product is shipped with polar packs. Upon receipt, store it immediately at the temperature recommended below.
Stability & Storage
Store at 4C short term. Aliquot and store at -20C long term. Avoid freeze-thaw cycles.
Background: CLPB
Alternate Names
caseinolytic peptidase B protein homolog, ClpB caseinolytic peptidase B homolog (E. coli), HSP78SKD3FLJ13152, Suppressor of potassium transport defect 3
Entrez Gene IDs
81570 (Human)
Gene Symbol
CLPB
UniProt
Additional CLPB Products
Product Documents for CLPB Antibody - BSA Free
Product Specific Notices for CLPB Antibody - BSA Free
This product is for research use only and is not approved for use in humans or in clinical diagnosis. Primary Antibodies are guaranteed for 1 year from date of receipt.
Loading...
Loading...
Loading...
Loading...