CLNS1A Antibody - BSA Free
Novus Biologicals, part of Bio-Techne | Catalog # NBP3-29974
Key Product Details
Species Reactivity
Human, Mouse
Applications
Immunohistochemistry, Western Blot, Flow Cytometry, Immunoprecipitation
Label
Unconjugated
Antibody Source
Polyclonal Rabbit IgG
Format
BSA Free
Concentration
Please see the vial label for concentration. If unlisted please contact technical services.
Product Specifications
Immunogen
Between 187 and 237
Clonality
Polyclonal
Host
Rabbit
Isotype
IgG
Scientific Data Images for CLNS1A Antibody - BSA Free
Flow Cytometry;CLNS1A Antibody[NBP3-29974]
Flow Cytometry;CLNS1A Antibody[NBP3-29974]Detection of human ICLN in A549 cells by flow cytometry. Antibody: Rabbit anti-ICLN polyclonal antibody or isotype control . Secondary: DyLight® 650-conjugated goat anti-rabbit IgG .Flow Cytometry;CLNS1A Antibody[NBP3-18518]
Flow Cytometry;CLNS1A Antibody[NBP3-18518]Detection of mouse ICLN in A20 cells by flow cytometry. Antibody: Rabbit anti-ICLN polyclonal antibody or isotype control . Secondary: DyLight® 650-conjugated goat anti-rabbit IgG .Immunohistochemistry;CLNS1A Antibody[NBP3-29974]
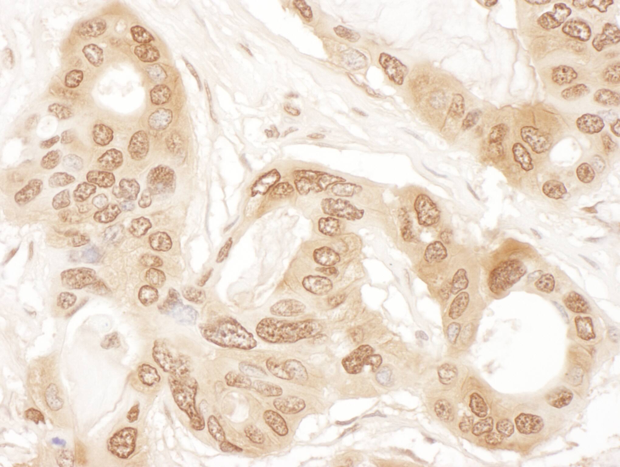
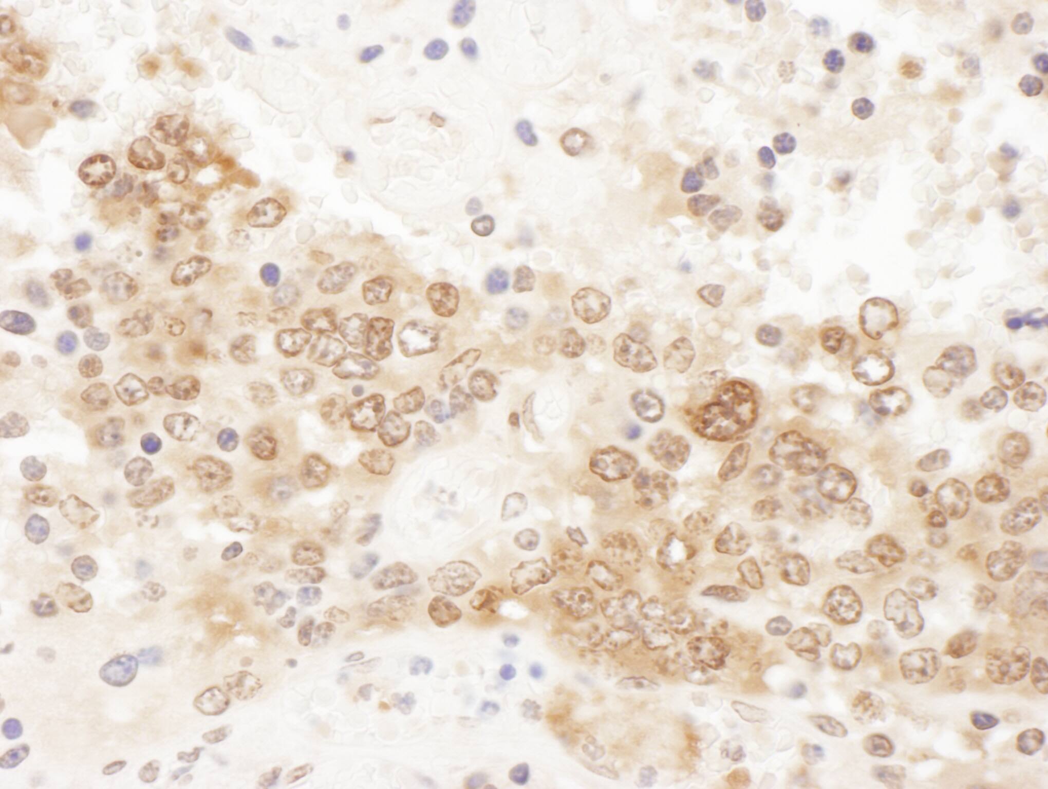
Immunohistochemistry;CLNS1A Antibody[NBP3-29974]Detection of human ICLN by immunohistochemistry. Sample: FFPE section of human ovarian carcinoma. Antibody: Affinity purified rabbit anti-ICLN used at a dilution of 1:1,000 . Detection: DABApplications for CLNS1A Antibody - BSA Free
Application
Recommended Usage
Flow Cytometry
Optimal dilutions of this antibody should be experimentally determined.
Immunohistochemistry
Optimal dilutions of this antibody should be experimentally determined.
Immunoprecipitation
Optimal dilutions of this antibody should be experimentally determined.
Western Blot
Optimal dilutions of this antibody should be experimentally determined.
Formulation, Preparation, and Storage
Purification
Affinity purified
Formulation
Tris-citrate/phosphate buffer, pH 7 to 8
Format
BSA Free
Preservative
0.09% Sodium Azide
Concentration
Please see the vial label for concentration. If unlisted please contact technical services.
Shipping
The product is shipped with polar packs. Upon receipt, store it immediately at the temperature recommended below.
Stability & Storage
Store at 4C. Do not freeze.
Background: CLNS1A
Alternate Names
chloride channel regulatory protein, Chloride channel, nucleotide sensitive 1A, chloride channel, nucleotide-sensitive, 1A, Chloride conductance regulatory protein ICln, Chloride ion current inducer protein, CLCI, CLNS1B, I(Cln), ICLN, methylosome subunit pICln, Reticulocyte pICln, reticulocyte protein ICln
Gene Symbol
CLNS1A
Additional CLNS1A Products
Product Specific Notices for CLNS1A Antibody - BSA Free
This product is for research use only and is not approved for use in humans or in clinical diagnosis. Primary Antibodies are guaranteed for 1 year from date of receipt.
Loading...
Loading...
Loading...
Loading...
Loading...