Skip to main content

CLIP170 Antibody - BSA Free

Novus Biologicals, part of Bio-Techne | Catalog # NBP1-85568

Novus Biologicals, part of Bio-Techne
Catalog #
Availability
Size / Price
Qty
Loading...
NBP1-85568
NBP1-85568-25ul

Key Product Details

Species Reactivity

Human, Mouse, Rat

Applications

Immunohistochemistry, Immunohistochemistry-Paraffin, Western Blot, Immunocytochemistry/ Immunofluorescence

Label

Unconjugated

Antibody Source

Polyclonal Rabbit IgG

Format

BSA Free

Concentration

Concentrations vary lot to lot. See vial label for concentration. If unlisted please contact technical services.

Product Specifications

Immunogen

This antibody was developed against Recombinant Protein corresponding to amino acids: KNLELQLKENKRQLSSSSGNTDTQADEDERAQESQIDFLNSVIVDLQRKNQDLKMKVEMMSEAALNGNGDDLNNYDSDDQEKQSKKKPRLFCDICDCFDLHDTEDCPTQAQMSEDPPHSTHHGSRGEERPYCEICEMFGHWATNCNDDET

Clonality

Polyclonal

Host

Rabbit

Isotype

IgG

Scientific Data Images for CLIP170 Antibody - BSA Free

Western Blot: CLIP170 Antibody [NBP1-85568]

Western Blot: CLIP170 Antibody [NBP1-85568]

Western Blot: CLIP170 Antibody [NBP1-85568] - Analysis in human cell line HDLM-2 and human cell line U-2197.
Immunocytochemistry/ Immunofluorescence: CLIP170 Antibody [NBP1-85568]

Immunocytochemistry/ Immunofluorescence: CLIP170 Antibody [NBP1-85568]

Immunocytochemistry/Immunofluorescence: CLIP170 Antibody [NBP1-85568] - Staining of human cell line SiHa shows localization to microtubule ends. Antibody staining is shown in green.
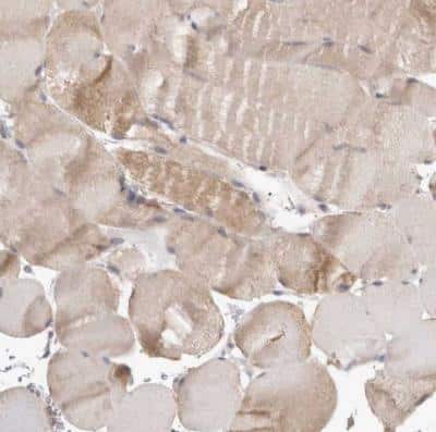
Immunohistochemistry-Paraffin: CLIP170 Antibody [NBP1-85568]

Immunohistochemistry-Paraffin: CLIP170 Antibody [NBP1-85568]

Immunohistochemistry-Paraffin: CLIP170 Antibody [NBP1-85568] - Staining of human skeletal muscle shows weak cytoplasmic positivity in myoctes.

Applications for CLIP170 Antibody - BSA Free

Application
Recommended Usage

Immunocytochemistry/ Immunofluorescence

0.25-2 ug/ml

Immunohistochemistry

1:200 - 1:500

Immunohistochemistry-Paraffin

1:200 - 1:500

Western Blot

0.04-0.4 ug/ml
Application Notes
For IHC-Paraffin, HIER pH 6 retrieval is recommended. ICC/IF Fixation Permeabilization: Use PFA/Triton X-100.

Formulation, Preparation, and Storage

Purification

Affinity purified

Formulation

PBS (pH 7.2) and 40% Glycerol

Format

BSA Free

Preservative

0.02% Sodium Azide

Concentration

Concentrations vary lot to lot. See vial label for concentration. If unlisted please contact technical services.

Shipping

The product is shipped with polar packs. Upon receipt, store it immediately at the temperature recommended below.

Stability & Storage

Store at 4C short term. Aliquot and store at -20C long term. Avoid freeze-thaw cycles.

Background: CLIP170

Alternate Names

CAP-GLY domain containing linker protein 1, CLIP, CLIP170, CLIP-170Reed-Sternberg intermediate filament-associated protein, CYLN1MGC131604, cytoplasmic linker 1, Cytoplasmic linker protein 1, Cytoplasmic linker protein 170 alpha-2, Reed-Steinberg cell-expressed intermediate filament-associated protein, Restin, restin (Reed-Steinberg cell-expressed intermediate filament-associated protein), RSNCAP-Gly domain-containing linker protein 1

Gene Symbol

CLIP1

Additional CLIP170 Products

Product Documents for CLIP170 Antibody - BSA Free

Certificate of Analysis

To download a Certificate of Analysis, please enter a lot number in the search box below.

Product Specific Notices for CLIP170 Antibody - BSA Free

This product is for research use only and is not approved for use in humans or in clinical diagnosis. Primary Antibodies are guaranteed for 1 year from date of receipt.

Loading...
Loading...
Loading...
Loading...