Skip to main content

CLEC-1 Antibody

Novus Biologicals, part of Bio-Techne | Catalog # NBP2-27096

Novus Biologicals, part of Bio-Techne
Catalog #
Availability
Size / Price
Qty
Loading...
NBP2-27096SS
NBP2-27096

Key Product Details

Species Reactivity

Validated:

Human, Mouse, Primate

Cited:

Human, Mouse

Applications

Validated:

Immunohistochemistry, Immunohistochemistry-Paraffin, Western Blot

Cited:

Western Blot, IF/IHC

Label

Unconjugated

Antibody Source

Polyclonal Rabbit IgG

Concentration

0.5 mg/ml

Product Specifications

Immunogen

A portion of amino acids 50-100 from human CLEC1 was used as the immunogen for this antibody.

Reactivity Notes

Use in Mouse reported in scientific literature (PMID:10.1167/iovs.62.6.28). Orangutan, chimpanzee, and white-cheeked gibbon (100%), New world monkey, crab-eating macaque, and rhesus monkey (89%), Porcine (78%), Canine, african bush elephant, and rabbit (72%), panda, cattle, chinese hamster, and horse (67%), Rat (61%).

Clonality

Polyclonal

Host

Rabbit

Isotype

IgG

Description

Novus Biologicals Rabbit CLEC-1 Antibody (NBP2-27096) is a polyclonal antibody validated for use in IHC and WB. Anti-CLEC-1 Antibody: Cited in 1 publication. All Novus Biologicals antibodies are covered by our 100% guarantee.

Scientific Data Images for CLEC-1 Antibody

Western Blot: CLEC-1 Antibody [NBP2-27096]

Western Blot: CLEC-1 Antibody [NBP2-27096]

Western Blot: CLEC-1 Antibody [NBP2-27096] - Analysis of CLEC1 using CLEC1 antibody. Human lung tissue lysate in the 1) absence and 2) presence of immunizing peptide probed with 2 ug/ml of CLEC1 antibody. goat anti-rabbit Ig HRP secondary antibody and PicoTect ECL substrate solution were used for this test.
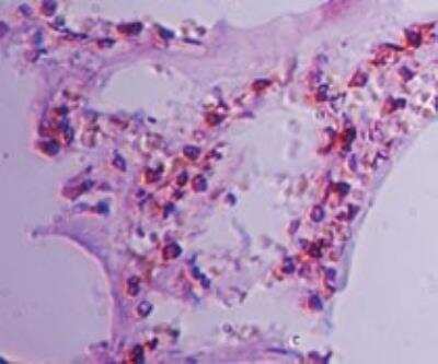
Immunohistochemistry-Paraffin: CLEC-1 Antibody [NBP2-27096]

Immunohistochemistry-Paraffin: CLEC-1 Antibody [NBP2-27096]

Immunohistochemistry-Paraffin: CLEC-1 Antibody [NBP2-27096] - Human lung tissue probed with CLEC1 antibody at 5 ug/ml.

Applications for CLEC-1 Antibody

Application
Recommended Usage

Immunohistochemistry-Paraffin

5ug/ml

Western Blot

2-4ug/ml~

Formulation, Preparation, and Storage

Purification

Protein A purified

Formulation

PBS and 0.05% BSA

Preservative

0.05% Sodium Azide

Concentration

0.5 mg/ml

Shipping

The product is shipped with polar packs. Upon receipt, store it immediately at the temperature recommended below.

Stability & Storage

Store at 4C short term. Aliquot and store at -20C long term. Avoid freeze-thaw cycles.

Background: CLEC-1

CLEC1 (CLEC-1) with a molecular weight of ~32kDa, is part of the superfamily of C-type lectin proteins (CLRs) and also part of the Dectin-1 cluster subgroup which includes LOX-1, , MICL, CLEC12B, and besides CLEC1 (CLEC-1) and Dectin-1 (1, 2). The Dectin-1 cluster especially has been shown to be instrumental in regulating immunity and immune homeostasis. C-type lectin proteins, including CLEC1, have been characterized as Pattern Recognition Receptors (PRRs), binding both exogenous microbial ligands and Pathogen Associate Molecular Pattern molecules (PAMPs) as well as endogenous Damage Associated Molecular Pattern Molecules (DAMPs) such as self-antigens or altered self-antigens (1, 3, 4). CLEC1 is expressed on myeloid cells and Dendritic Cells and more moderately expressed on endothelial cells in tolerated allografts in a rat model system (1). In said model, CLEC1 expression is down-modulated in DCs, with concomitant increases in T cells and decreases in + Treg pools. Expression of CLEC1 is down regulated by pro-inflammatory stimuli and up-regulated by IL-10 and TGF in normal rat cells (1). Taken together, CLEC1 as other CLRs appears to play an important functional role in modulation of adaptive immune responses through stimulation of cytokine cascades and subsequent activation of polarized T cell responses. CLEC1 specific antibody is a useful reagent for examining the potential of CLEC1 as a marker or therapeutic target for regulation of immune responses in inflammation or cancer.

Long Name

C-type Lectin-like Receptor-1

Alternate Names

CLEC1, CLEC1A

Gene Symbol

CLEC1A

UniProt

Additional CLEC-1 Products

Product Documents for CLEC-1 Antibody

Certificate of Analysis

To download a Certificate of Analysis, please enter a lot number in the search box below.

Product Specific Notices for CLEC-1 Antibody

This product is for research use only and is not approved for use in humans or in clinical diagnosis. Primary Antibodies are guaranteed for 1 year from date of receipt.

Loading...
Loading...
Loading...
Loading...