Skip to main content

CLCNKA Antibody - BSA Free

Novus Biologicals, part of Bio-Techne | Catalog # NBP3-47589

Novus Biologicals, part of Bio-Techne
Catalog #
Availability
Size / Price
Qty
Loading...
NBP3-47589

Key Product Details

Species Reactivity

Human, Mouse, Rat

Applications

Immunohistochemistry, Western Blot, ELISA, Immunoprecipitation

Label

Unconjugated

Antibody Source

Polyclonal Rabbit IgG

Format

BSA Free

Concentration

Please see the vial label for concentration. If unlisted please contact technical services.

Product Specifications

Immunogen

chloride channel Ka. (Uniprot# P51800)

Clonality

Polyclonal

Host

Rabbit

Isotype

IgG

Theoretical MW

70 kDa.
Disclaimer note: The observed molecular weight of the protein may vary from the listed predicted molecular weight due to post translational modifications, post translation cleavages, relative charges, and other experimental factors.

Description

Novus Biologicals Rabbit CLCNKA Antibody - BSA Free (NBP3-47589) is a polyclonal antibody validated for use in IHC, WB, ELISA and IP. All Novus Biologicals antibodies are covered by our 100% guarantee.

Scientific Data Images for CLCNKA Antibody - BSA Free

CLCNKA Antibody - BSA Free

Immunoprecipitation: CLCNKA Antibody - BSA Free [NBP3-47589] -

Immunoprecipitation: CLCNKA Antibody - BSA Free [NBP3-47589] - IP Result of anti-CLCNKA (IP:, 5ug; Detection: 1:500) with HEK-293 cells lysate 880ug.
CLCNKA Antibody - BSA Free

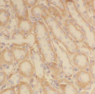
Immunohistochemistry: CLCNKA Antibody - BSA Free [NBP3-47589] -

Immunohistochemistry: CLCNKA Antibody - BSA Free [NBP3-47589] - Immunohistochemistry of paraffin-embedded human kidney using (CLCNKA antibody) at dilution of 1:100
CLCNKA Antibody - BSA Free

Western Blot: CLCNKA Antibody - BSA Free [NBP3-47589] -

Western Blot: CLCNKA Antibody - BSA Free [NBP3-47589] - HEK-293 cells were subjected to SDS PAGE followed by western blot with (CLCNKA antibody) at dilution of 1:500

Applications for CLCNKA Antibody - BSA Free

Application
Recommended Usage

Immunohistochemistry

1:20-1:200

Immunoprecipitation

1:200-1:1000

Western Blot

1:500-1:2000

Formulation, Preparation, and Storage

Purification

Immunogen affinity purified

Formulation

PBS, 50% Glycerol, pH (7.3)

Format

BSA Free

Preservative

0.02% Sodium Azide

Concentration

Please see the vial label for concentration. If unlisted please contact technical services.

Shipping

The product is shipped with polar packs. Upon receipt, store it immediately at the temperature recommended below.

Stability & Storage

Store at -20C. Avoid freeze-thaw cycles.

Background: CLCNKA

The CLCNKA gene is a member of the CLC family of voltage-gated chloride channels. The encoded protein is predicted to have 12transmembrane domains, and requires a beta subunit called barttin to form a functional channel. It is thought tofunction in salt reabsor

Alternate Names

chloride channel KaMGC61490, hClC-Ka, kidney, A

Gene Symbol

CLCNKA

Additional CLCNKA Products

Product Documents for CLCNKA Antibody - BSA Free

Certificate of Analysis

To download a Certificate of Analysis, please enter a lot number in the search box below.

Product Specific Notices for CLCNKA Antibody - BSA Free

This product is for research use only and is not approved for use in humans or in clinical diagnosis. Primary Antibodies are guaranteed for 1 year from date of receipt.

Loading...
Loading...
Loading...
Loading...