Skip to main content

CLCA1 Antibody - BSA Free

Novus Biologicals, part of Bio-Techne | Catalog # NBP2-38869

Novus Biologicals, part of Bio-Techne
Catalog #
Availability
Size / Price
Qty
Loading...
NBP2-38869-25ul
NBP2-38869

Key Product Details

Validated by

Orthogonal Validation, Independent Antibodies

Species Reactivity

Human

Applications

Immunohistochemistry, Immunohistochemistry-Paraffin

Label

Unconjugated

Antibody Source

Polyclonal Rabbit IgG

Format

BSA Free

Concentration

Concentrations vary lot to lot. See vial label for concentration. If unlisted please contact technical services.

Product Specifications

Immunogen

This antibody was developed against a recombinant protein corresponding to amino acids: KVRALGGVNAARRRVIPQQSGALYIPGWIENDEIQWNPPRPEINKDDVQHKQVCFSRTSSGG

Clonality

Polyclonal

Host

Rabbit

Isotype

IgG

Description

Novus Biologicals Rabbit CLCA1 Antibody - BSA Free (NBP2-38869) is a polyclonal antibody validated for use in IHC. All Novus Biologicals antibodies are covered by our 100% guarantee.

Scientific Data Images for CLCA1 Antibody - BSA Free

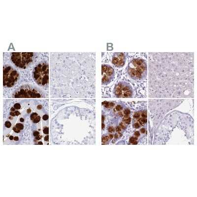
Immunohistochemistry-Paraffin: CLCA1 Antibody [NBP2-38869]

Immunohistochemistry-Paraffin: CLCA1 Antibody [NBP2-38869]

Immunohistochemistry-Paraffin: CLCA1 Antibody [NBP2-38869] - Staining of human colon.
Immunohistochemistry: CLCA1 Antibody [NBP2-38869]

Immunohistochemistry: CLCA1 Antibody [NBP2-38869]

Immunohistochemistry: CLCA1 Antibody [NBP2-38869] - Staining of human duodenum shows strong cytoplasmic positivity in glandular cells / Goblet cells strongly stained.
Immunohistochemistry-Paraffin: CLCA1 Antibody [NBP2-38869]

Immunohistochemistry-Paraffin: CLCA1 Antibody [NBP2-38869]

Immunohistochemistry-Paraffin: CLCA1 Antibody [NBP2-38869] - Staining of human liver shows low expression as expected.

Applications for CLCA1 Antibody - BSA Free

Application
Recommended Usage

Immunohistochemistry

1:200 - 1:500

Immunohistochemistry-Paraffin

1:200 - 1:500
Application Notes
For IHC-Paraffin, HIER pH 6 retrieval is recommended.

Formulation, Preparation, and Storage

Purification

Affinity purified

Formulation

PBS (pH 7.2) and 40% Glycerol

Format

BSA Free

Preservative

0.02% Sodium Azide

Concentration

Concentrations vary lot to lot. See vial label for concentration. If unlisted please contact technical services.

Shipping

The product is shipped with polar packs. Upon receipt, store it immediately at the temperature recommended below.

Stability & Storage

Store at 4C short term. Aliquot and store at -20C long term. Avoid freeze-thaw cycles.

Background: CLCA1

CLCA1 encodes a member of the calcium sensitive chloride conductance protein family. To date, all members of this gene family map to the same region on chromosome 1p31-p22 and share a high degree of homology in size, sequence, and predicted structure, but differ significantly in their tissue distributions. The encoded protein is expressed as a precursor protein that is processed into two cell-surface-associated subunits, although the site at which the precursor is cleaved has not been precisely determined. The encoded protein may be involved in mediating calcium-activated chloride conductance in the intestine. [provided by RefSeq]

Long Name

Chloride Channel Accessory 1

Alternate Names

CaCC-1, CLCRG1, GOB5, HCLCA1

Gene Symbol

CLCA1

UniProt

Additional CLCA1 Products

Product Documents for CLCA1 Antibody - BSA Free

Certificate of Analysis

To download a Certificate of Analysis, please enter a lot number in the search box below.

Product Specific Notices for CLCA1 Antibody - BSA Free

This product is for research use only and is not approved for use in humans or in clinical diagnosis. Primary Antibodies are guaranteed for 1 year from date of receipt.

Loading...
Loading...
Loading...
Loading...