Skip to main content

Claudin-5 Antibody - BSA Free

Novus Biologicals, part of Bio-Techne | Catalog # NBP3-47483

Novus Biologicals, part of Bio-Techne
Catalog #
Availability
Size / Price
Qty
Loading...
NBP3-47483

Key Product Details

Species Reactivity

Human, Mouse, Rat

Applications

Immunohistochemistry, Western Blot, ELISA, Immunocytochemistry/ Immunofluorescence

Label

Unconjugated

Antibody Source

Polyclonal Rabbit IgG

Format

BSA Free

Concentration

Please see the vial label for concentration. If unlisted please contact technical services.

Product Specifications

Immunogen

CLDN5. (Uniprot# O00501)

Clonality

Polyclonal

Host

Rabbit

Isotype

IgG

Theoretical MW

25 kDa.
Disclaimer note: The observed molecular weight of the protein may vary from the listed predicted molecular weight due to post translational modifications, post translation cleavages, relative charges, and other experimental factors.

Description

Novus Biologicals Rabbit Claudin-5 Antibody - BSA Free (NBP3-47483) is a polyclonal antibody validated for use in IHC, WB, ELISA and ICC/IF. All Novus Biologicals antibodies are covered by our 100% guarantee.

Scientific Data Images for Claudin-5 Antibody - BSA Free

Claudin-5 Antibody - BSA Free

Western Blot: Claudin-5 Antibody - BSA Free [NBP3-47483] -

Western Blot: Claudin-5 Antibody - BSA Free [NBP3-47483] - Mouse kidney were subjected to SDS PAGE followed by western blot with (CLDN5 antibody) at dilution of 1:1000
Claudin-5 Antibody - BSA Free

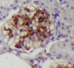
Immunohistochemistry: Claudin-5 Antibody - BSA Free [NBP3-47483] -

Immunohistochemistry: Claudin-5 Antibody - BSA Free [NBP3-47483] - Immunohistochemistry of paraffin-embedded mouse kidney using (Claudin-5 antibody) at dilution of 1:100

Applications for Claudin-5 Antibody - BSA Free

Application
Recommended Usage

Immunocytochemistry/ Immunofluorescence

1:50 - 1:200

Immunohistochemistry

1:50 - 1:200

Western Blot

1:500 - 1:2000

Formulation, Preparation, and Storage

Purification

Immunogen affinity purified

Formulation

PBS, 50% Glycerol, pH (7.3)

Format

BSA Free

Preservative

0.02% Sodium Azide

Concentration

Please see the vial label for concentration. If unlisted please contact technical services.

Shipping

The product is shipped with polar packs. Upon receipt, store it immediately at the temperature recommended below.

Stability & Storage

Store at -20C. Avoid freeze-thaw cycles.

Background: Claudin-5

The Claudin superfamily consists of many structurally related proteins in humans. These proteins are important structural and functional components of tight junctions in paracellular transport. Claudins are located in both epithelial and endothelial cells in all tight junction-bearing tissues. Three classes of proteins are known to localize to tight junctions, including the Claudins, Occludin and junction adhesion molecule (JAM). Claudins, which consist of four transmembrane domains and two extracellular loops, make up tight junction strands. Claudin expression is highly restricted to specific regions of different tissues and may have an important role in transcellular transport through tight junctions. Claudin-5 is expressed in the endothelial junctions of the rat liver and in junctions of acinar cells of the pancreas. Human claudin-5 is abundantly expressed in adult lung, heart and skeletal muscle and is deleted in patients with velocardiofacial syndrome, which is characterized by cleft palate, facial dysmorphology and conotruncal heart defects.The human claudin-5 gene maps to chromosome 22q11.21.

Alternate Names

AWAL, BEC1, Claudin5, CLDN5, CPETRL1, TMDVCF, TMVCF1

Gene Symbol

CLDN5

Additional Claudin-5 Products

Product Documents for Claudin-5 Antibody - BSA Free

Certificate of Analysis

To download a Certificate of Analysis, please enter a lot number in the search box below.

Product Specific Notices for Claudin-5 Antibody - BSA Free

This product is for research use only and is not approved for use in humans or in clinical diagnosis. Primary Antibodies are guaranteed for 1 year from date of receipt.

Loading...
Loading...
Loading...
Loading...