Skip to main content

Claspin Antibody - BSA Free

Novus Biologicals, part of Bio-Techne | Catalog # NB100-247

Novus Biologicals, part of Bio-Techne

Key Product Details

Species Reactivity

Validated:

Human

Cited:

Human

Predicted:

Chimpanzee (100%), Orangutan (100%), Primate (100%). Backed by our 100% Guarantee.

Applications

Immunohistochemistry, Immunohistochemistry-Paraffin, Western Blot, Immunoprecipitation

Label

Unconjugated

Antibody Source

Polyclonal Rabbit IgG

Format

BSA Free

Concentration

1.0 mg/ml

Product Specifications

Immunogen

The immunogen recognized by this antibody maps to a region between residues 450 and 500 of human Claspin using the numbering given in entry AAG24515.1 (GeneID 63967).

Reactivity Notes

Gorilla (100%).

Localization

Nucleus.

Clonality

Polyclonal

Host

Rabbit

Isotype

IgG

Description

Novus Biologicals Rabbit Claspin Antibody - BSA Free (NB100-247) is a polyclonal antibody validated for use in IHC, WB and IP. Anti-Claspin Antibody: Cited in 13 publications. All Novus Biologicals antibodies are covered by our 100% guarantee.

Scientific Data Images for Claspin Antibody - BSA Free

Western Blot: Claspin Antibody [NB100-247]

Western Blot: Claspin Antibody [NB100-247]

Western Blot: Claspin Antibody [NB100-247] - Detection of Human Claspin by Western Blot. Samples: Whole cell lysate (50 ug) from HeLa cells. Antibodies: Affinity purified rabbit anti-Claspin antibody NB100-247 used for WB at 1 ug/ml. Detection: Chemiluminescence with an exposure time of 3 minutes.
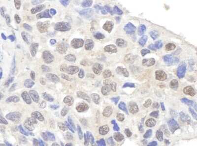
Immunohistochemistry-Paraffin: Claspin Antibody [NB100-247]

Immunohistochemistry-Paraffin: Claspin Antibody [NB100-247]

Immunohistochemistry-Paraffin: Claspin Antibody [NB100-247] - Sample: FFPE section of human lung carcinoma. Antibody: Affinity purified rabbit anti-Claspin used at a dilution of 1:1,000 (1ug/ml). Detection: DAB
Immunoprecipitation: Claspin Antibody [NB100-247]

Immunoprecipitation: Claspin Antibody [NB100-247]

Immunoprecipitation: Claspin Antibody [NB100-247] - Whole cell lysate (1 mg for IP; 20% of IP loaded) from HeLa cells. Antibodies: Affinity purified rabbit anti-Claspin antibody used for IP at 6 ug/mg lysate. For blotting immunoprecipitated Claspin,was used at 1 ug/ml. Detection: Chemiluminescence with an exposure time of 3 minutes.

Applications for Claspin Antibody - BSA Free

Application
Recommended Usage

Immunohistochemistry

1:500 - 1:2000

Immunohistochemistry-Paraffin

1:500 - 1:2000

Immunoprecipitation

1 - 5 ug/mg lysate

Western Blot

1:5000-1:20000
Application Notes
Epitope retrieval with citrate buffer pH6.0 is recommended for FFPE tissue sections.

Formulation, Preparation, and Storage

Purification

Immunogen affinity purified

Formulation

Tris-Citrate/Phosphate (pH 7.0 - 8.0)

Format

BSA Free

Preservative

0.09% Sodium Azide

Concentration

1.0 mg/ml

Shipping

The product is shipped with polar packs. Upon receipt, store it immediately at the temperature recommended below.

Stability & Storage

Store at 4C. Do not freeze.

Background: Claspin

Claspin is a cell cycle regulated protein. It plays a critical role in replication checkpoint control and interacts with the checkpoint proteins ATR and Rad9. It also associates with Chk1, but only following replication stress or other types of DNA damage.

Alternate Names

CLSPN

Entrez Gene IDs

63967 (Human)

Gene Symbol

CLSPN

UniProt

Additional Claspin Products

Product Documents for Claspin Antibody - BSA Free

Certificate of Analysis

To download a Certificate of Analysis, please enter a lot number in the search box below.

Product Specific Notices for Claspin Antibody - BSA Free

This product is for research use only and is not approved for use in humans or in clinical diagnosis. Primary Antibodies are guaranteed for 1 year from date of receipt.

Loading...
Loading...
Loading...
Loading...