Skip to main content

CIRBP Antibody - BSA Free

Novus Biologicals, part of Bio-Techne | Catalog # NBP3-38226

Novus Biologicals, part of Bio-Techne
Catalog #
Availability
Size / Price
Qty
Loading...
NBP3-38226-20ul
NBP3-38226-100ul

Key Product Details

Species Reactivity

Human, Mouse, Rat

Applications

Immunohistochemistry, Immunohistochemistry-Paraffin, Western Blot, ELISA

Label

Unconjugated

Antibody Source

Polyclonal Rabbit IgG

Format

BSA Free

Concentration

Please see the vial label for concentration. If unlisted please contact technical services.

Product Specifications

Immunogen

Recombinant fusion protein containing a sequence corresponding to amino acids 1-172 of human CIRBP (NP_001271.1).

Sequence:
MASDEGKLFVGGLSFDTNEQSLEQVFSKYGQISEVVVVKDRETQRSRGFGFVTFENIDDAKDAMMAMNGKSVDGRQIRVDQAGKSSDNRSRGYRGGSAGGRGFFRGGRGRGRGFSRGGGDRGYGGNRFESRSGGYGGSRDYYSSRSQSGGYSDRSSGGSYRDSYDSYATHNE

Clonality

Polyclonal

Host

Rabbit

Isotype

IgG

Theoretical MW

19 kDa.
Disclaimer note: The observed molecular weight of the protein may vary from the listed predicted molecular weight due to post translational modifications, post translation cleavages, relative charges, and other experimental factors.

Description

Novus Biologicals Rabbit CIRBP Antibody - BSA Free (NBP3-38226) is a polyclonal antibody validated for use in IHC, WB and ELISA. All Novus Biologicals antibodies are covered by our 100% guarantee.

Scientific Data Images for CIRBP Antibody - BSA Free

CIRBP Antibody

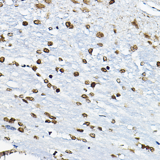
Immunohistochemistry: CIRBP Antibody [NBP3-38226] -

Immunohistochemistry: CIRBP Antibody [NBP3-38226] - Immunohistochemistry analysis of paraffin-embedded Human brain using CIRBP Rabbit pAb at dilution of 1:100 (40x lens). Microwave antigen retrieval performed with 0.01M PBS Buffer (pH 7.2) prior to IHC staining.
CIRBP Antibody

Western Blot: CIRBP Antibody [NBP3-38226] -

Western Blot: CIRBP Antibody [NBP3-38226] - Western blot analysis of lysates from Rat testis, using CIRBP Rabbit pAb at 1:1000 dilution.
Secondary antibody: HRP-conjugated Goat anti-Rabbit IgG (H+L) at 1:10000 dilution.
Lysates/proteins: 25ug per lane.
Blocking buffer: 3% nonfat dry milk in TBST.
Detection: ECL Basic Kit.
Exposure time: 180s.
CIRBP Antibody

Immunohistochemistry: CIRBP Antibody [NBP3-38226] -

Immunohistochemistry: CIRBP Antibody [NBP3-38226] - Immunohistochemistry analysis of paraffin-embedded Human placenta using CIRBP Rabbit pAb at dilution of 1:100 (40x lens). Microwave antigen retrieval performed with 0.01M PBS Buffer (pH 7.2) prior to IHC staining.

Applications for CIRBP Antibody - BSA Free

Application
Recommended Usage

Immunohistochemistry-Paraffin

1:50 - 1:100

Western Blot

1:500 - 1:1000

Formulation, Preparation, and Storage

Purification

Affinity purified

Formulation

PBS (pH 7.3), 50% glycerol

Format

BSA Free

Preservative

0.02% Sodium Azide

Concentration

Please see the vial label for concentration. If unlisted please contact technical services.

Shipping

The product is shipped with polar packs. Upon receipt, store it immediately at the temperature recommended below.

Stability & Storage

Store at -20C. Avoid freeze-thaw cycles.

Background: CIRBP

Seems to play an essential role in cold-induced suppression of cell proliferation

Alternate Names

A18 hnRNP, A18HNRNP, CIRPcold-inducible RNA-binding protein, cold inducible RNA binding protein, cold inducible RNA-binding protein, glycine-rich RNA binding protein, Glycine-rich RNA-binding protein CIRP

Gene Symbol

CIRBP

Additional CIRBP Products

Product Documents for CIRBP Antibody - BSA Free

Certificate of Analysis

To download a Certificate of Analysis, please enter a lot number in the search box below.

Product Specific Notices for CIRBP Antibody - BSA Free

This product is for research use only and is not approved for use in humans or in clinical diagnosis. Primary Antibodies are guaranteed for 1 year from date of receipt.

Loading...
Loading...
Loading...
Loading...