Skip to main content

CIDEC Antibody - BSA Free

Novus Biologicals, part of Bio-Techne | Catalog # NBP2-15902

Novus Biologicals, part of Bio-Techne
Catalog #
Availability
Size / Price
Qty
Loading...
NBP2-15902

Key Product Details

Species Reactivity

Validated:

Human

Cited:

Human

Applications

Validated:

Immunohistochemistry, Immunohistochemistry-Paraffin, Western Blot, Immunocytochemistry/ Immunofluorescence

Cited:

Western Blot

Label

Unconjugated

Antibody Source

Polyclonal Rabbit IgG

Format

BSA Free

Concentration

Concentrations vary lot to lot. See vial label for concentration. If unlisted please contact technical services.

Product Specifications

Immunogen

Full length human CIDEC Recombinant protein.

Reactivity Notes

Immunogen displays the following percentage of sequence identity for non-tested species: Porcine (83%).

Localization

Cytoplasm

Clonality

Polyclonal

Host

Rabbit

Isotype

IgG

Theoretical MW

27 kDa.
Disclaimer note: The observed molecular weight of the protein may vary from the listed predicted molecular weight due to post translational modifications, post translation cleavages, relative charges, and other experimental factors.

Description

Novus Biologicals Rabbit CIDEC Antibody - BSA Free (NBP2-15902) is a polyclonal antibody validated for use in IHC, WB and ICC/IF. Anti-CIDEC Antibody: Cited in 1 publication. All Novus Biologicals antibodies are covered by our 100% guarantee.

Scientific Data Images for CIDEC Antibody - BSA Free

Immunocytochemistry/ Immunofluorescence: CIDEC Antibody [NBP2-15902]

Immunocytochemistry/ Immunofluorescence: CIDEC Antibody [NBP2-15902]

Immunocytochemistry/Immunofluorescence: CIDEC Antibody [NBP2-15902] - Immunofluorescence analysis of methanol-fixed HeLa, using antibody at 1:500 dilution.
Immunohistochemistry-Paraffin: CIDEC Antibody [NBP2-15902]

Immunohistochemistry-Paraffin: CIDEC Antibody [NBP2-15902]

Immunohistochemistry-Paraffin: CIDEC Antibody [NBP2-15902] - BT474 xenograft, using CIDEC antibody at 1:500 dilution. Antigen Retrieval: Citrate buffer, pH 6.0, 15 min.
CIDEC Antibody

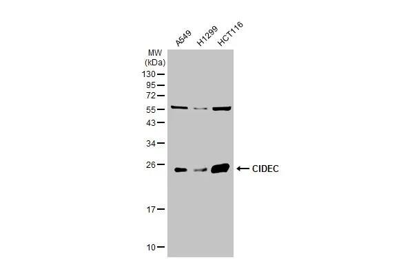
Western Blot: CIDEC Antibody [NBP2-15902] -

Western Blot: CIDEC Antibody [NBP2-15902] - Various whole cell extracts (30 ug) were separated by 12% SDS-PAGE, and the membrane was blotted with CIDEC antibody [N1C3] (NBP2-15902) diluted at 1:1000. The HRP-conjugated anti-rabbit IgG antibody was used to detect the primary antibody.

Applications for CIDEC Antibody - BSA Free

Application
Recommended Usage

Immunocytochemistry/ Immunofluorescence

1:100-1:1000

Immunohistochemistry

1:100-1:1000

Immunohistochemistry-Paraffin

1:100-1:1000

Western Blot

1:500-1:3000

Formulation, Preparation, and Storage

Purification

Antigen Affinity-purified

Formulation

0.1M Tris, 0.1M Glycine, 20% Glycerol

Format

BSA Free

Preservative

0.01% Thimerosal

Concentration

Concentrations vary lot to lot. See vial label for concentration. If unlisted please contact technical services.

Shipping

The product is shipped with polar packs. Upon receipt, store it immediately at the temperature recommended below.

Stability & Storage

Aliquot and store at -20C or -80C. Avoid freeze-thaw cycles.

Background: CIDEC

DNA fragmentation factor (DFF) induces the fragmentation of DNA associated with apoptosis. A novel family of cell death-inducing DFF45 (MIM 601882)-like effectors (CIDEs), including CIDEC, can also promote apoptosis (Liang et al., 2003 [PubMed 12429024]).[supplied by OMIM]

Long Name

Cell Death-inducing DFFA-like Effector C

Alternate Names

CIDE-3, CIDEX, FSP27

Gene Symbol

CIDEC

UniProt

Additional CIDEC Products

Product Documents for CIDEC Antibody - BSA Free

Certificate of Analysis

To download a Certificate of Analysis, please enter a lot number in the search box below.

Product Specific Notices for CIDEC Antibody - BSA Free

This product is for research use only and is not approved for use in humans or in clinical diagnosis. Primary Antibodies are guaranteed for 1 year from date of receipt.

Loading...
Loading...
Loading...
Loading...

⚠ WARNING: This product can expose you to chemicals including mercury, which is known to the State of California to cause reproductive toxicity with developmental effects.  For more information go to www.P65Warnings.ca.gov.