Skip to main content

CIDEA Antibody - BSA Free

Novus Biologicals, part of Bio-Techne | Catalog # NBP1-76950

Novus Biologicals, part of Bio-Techne

Key Product Details

Species Reactivity

Validated:

Human, Mouse

Cited:

Mouse

Applications

Validated:

Immunohistochemistry, Immunohistochemistry-Paraffin, Western Blot, ELISA, Immunocytochemistry/ Immunofluorescence

Cited:

Western Blot, Immunocytochemistry/ Immunofluorescence, IF/IHC

Label

Unconjugated

Antibody Source

Polyclonal Rabbit IgG

Format

BSA Free

Concentration

1 mg/ml

Product Specifications

Immunogen

Antibody was raised against an 18 amino acid peptide near the carboxy terminus of mouse CIDE-A. The immunogen is located within the last 50 amino acids of CIDE-A. Amino Acid Squence: GDTEEQPSPKPSTKG

Specificity

It has no cross activity to CIDE-B.

Clonality

Polyclonal

Host

Rabbit

Isotype

IgG

Theoretical MW

25 kDa.
Disclaimer note: The observed molecular weight of the protein may vary from the listed predicted molecular weight due to post translational modifications, post translation cleavages, relative charges, and other experimental factors.

Description

Novus Biologicals Rabbit CIDEA Antibody - BSA Free (NBP1-76950) is a polyclonal antibody validated for use in IHC, WB, ELISA and ICC/IF. Anti-CIDEA Antibody: Cited in 11 publications. All Novus Biologicals antibodies are covered by our 100% guarantee.

Scientific Data Images for CIDEA Antibody - BSA Free

Western Blot: CIDEA AntibodyBSA Free [NBP1-76950]

Western Blot: CIDEA AntibodyBSA Free [NBP1-76950]

Western Blot: CIDEA Antibody [NBP1-76950] - Mouse heart tissue lysate with CIDE-A antibody at 1:500 dilution.
CIDEA Antibody - BSA Free

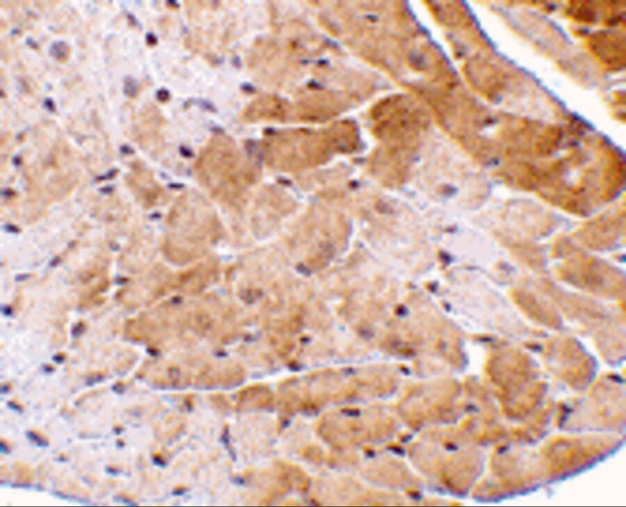
Immunohistochemistry: CIDEA Antibody - BSA Free [NBP1-76950] -

Immunohistochemistry: CIDEA Antibody - BSA Free [NBP1-76950] - Immunohistochemistry of CIDEA in mouse heart tissue with CIDEA antibody at 5 ug/mL.
CIDEA Antibody - BSA Free

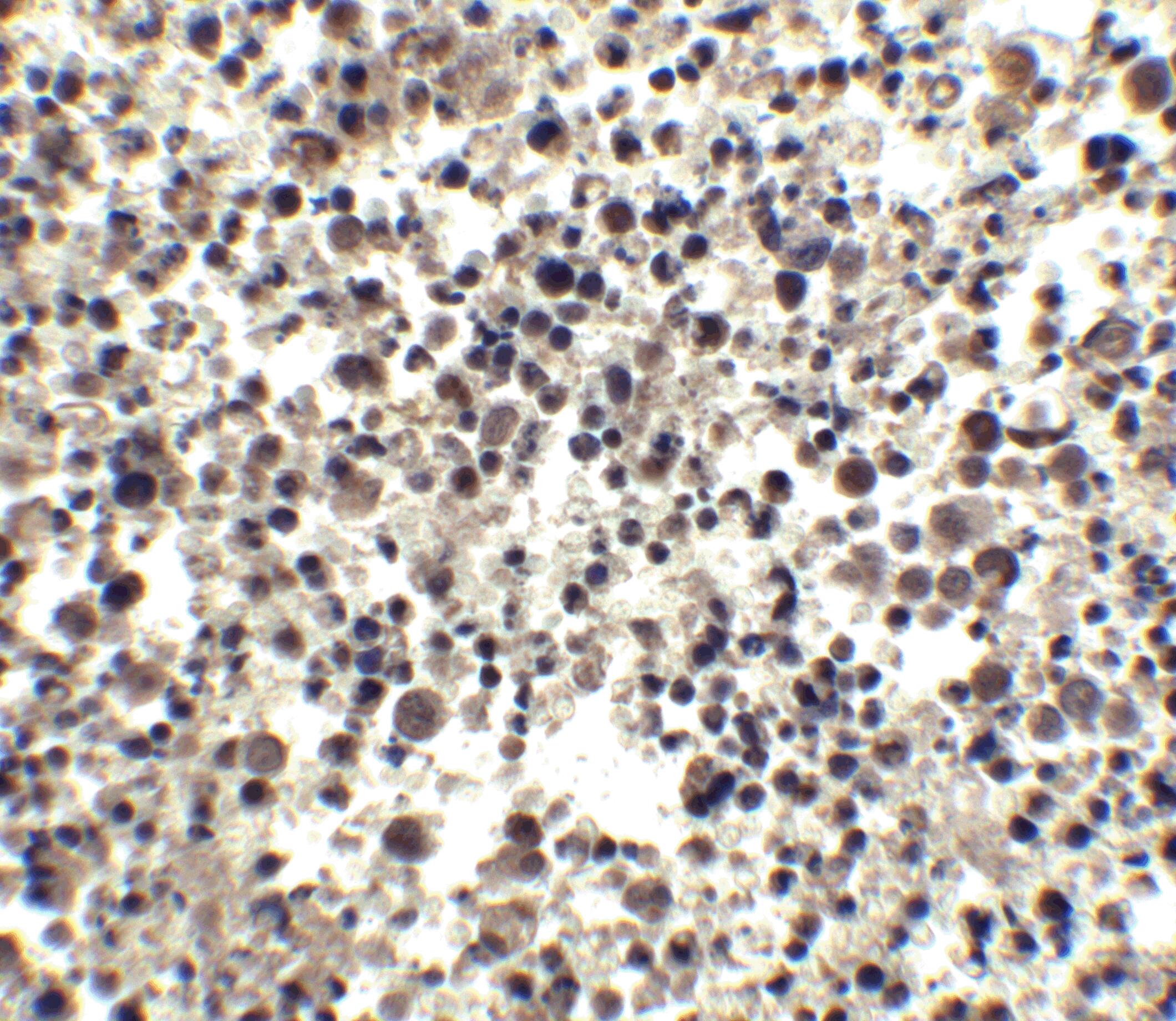
Immunocytochemistry/ Immunofluorescence: CIDEA Antibody - BSA Free [NBP1-76950] -

Immunocytochemistry/ Immunofluorescence: CIDEA Antibody - BSA Free [NBP1-76950] - Immunofluorescence of CIDEA in Mouse Heart cells with CIDEA antibody at 20 ug/mL.

Applications for CIDEA Antibody - BSA Free

Application
Recommended Usage

ELISA

1:100 - 1:2000

Immunocytochemistry/ Immunofluorescence

20 ug/mL

Immunohistochemistry

2.5 ug/mL

Western Blot

0.5 ug/mL

Reviewed Applications

Read 1 review rated 3 using NBP1-76950 in the following applications:

Formulation, Preparation, and Storage

Purification

Peptide affinity purified

Formulation

PBS

Format

BSA Free

Preservative

0.02% Sodium Azide

Concentration

1 mg/ml

Shipping

The product is shipped with polar packs. Upon receipt, store it immediately at the temperature recommended below.

Stability & Storage

Store at 4C.

Background: CIDEA

Apoptosis is related to many diseases and induced by a family of cell death receptors and their ligands. Cell death signals are transduced by death domain containing adapter molecules and members of the caspase family of proteases. These death signals finally cause the degradation of chromosomal DNA by activated DNase. DFF45/ICAD has been identified as inhibitor of caspase activated DNase DFF40/CAD. DFF45 related proteins CIDE-A and CIDE-B (for cell death-inducing DFF-like effector A and B) were recently identified. CIDE contains a new type of domain termed CIDE-N, which has high homology with the regulatory domains of DFF45/ICAD and DFF40/CAD. Expression of CIDE-A induces DNA fragmentation and activates apoptosis, which is inhibited by DFF45. CIDE-A is a DFF45-inhibitable effector that promotes cell death and DNA fragmentation. CIDE-A is expressed in many tissues.

Long Name

Cell Death-inducing DFFA-like Effector A

Alternate Names

cell death activator CIDE-A, cell death-inducing DFFA-like effector aCIDE-A

Gene Symbol

CIDEA

Additional CIDEA Products

Product Documents for CIDEA Antibody - BSA Free

Certificate of Analysis

To download a Certificate of Analysis, please enter a lot number in the search box below.

Product Specific Notices for CIDEA Antibody - BSA Free

This product is for research use only and is not approved for use in humans or in clinical diagnosis. Primary Antibodies are guaranteed for 1 year from date of receipt.

Loading...
Loading...
Loading...
Loading...