Chymase/CMA1/Mast Cell Chymase Antibody - BSA Free
Novus Biologicals, part of Bio-Techne | Catalog # NBP2-33660
Key Product Details
Validated by
Orthogonal Validation
Species Reactivity
Validated:
Human
Cited:
Human
Applications
Validated:
Immunohistochemistry, Immunohistochemistry-Paraffin, Immunocytochemistry/ Immunofluorescence
Cited:
Immunocytochemistry/ Immunofluorescence
Label
Unconjugated
Antibody Source
Polyclonal Rabbit IgG
Format
BSA Free
Concentration
Concentrations vary lot to lot. See vial label for concentration. If unlisted please contact technical services.
Product Specifications
Immunogen
This antibody was developed against a recombinant protein corresponding to amino acids: GRTGVLKPGSDTLQEVKLRLMDPQACSHFRDFDHNLQLCVGNPRKTKSAFKGDS
Clonality
Polyclonal
Host
Rabbit
Isotype
IgG
Scientific Data Images for Chymase/CMA1/Mast Cell Chymase Antibody - BSA Free
Immunohistochemistry-Paraffin: Chymase/CMA1/Mast Cell Chymase Antibody [NBP2-33660]
Immunohistochemistry-Paraffin: Chymase/CMA1/Mast Cell Chymase Antibody [NBP2-33660] - Analysis in human esophagus and placenta tissues. Corresponding Chymase/CMA1/Mast Cell Chymase RNA-seq data are presented for the same tissues.Immunocytochemistry/ Immunofluorescence: Chymase/CMA1/Mast Cell Chymase Antibody [NBP2-33660]
Chymase-CMA1-Mast-Cell-Chymase-Antibody-Immunocytochemistry-Immunofluorescence-NBP2-33660-img0013.jpgImmunohistochemistry-Paraffin: Chymase/CMA1/Mast Cell Chymase Antibody [NBP2-33660]
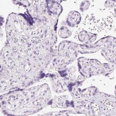
Immunohistochemistry-Paraffin: Chymase/CMA1/Mast Cell Chymase Antibody [NBP2-33660] - Staining of human placenta shows no positivity in trophoblastic cells as expected.Applications for Chymase/CMA1/Mast Cell Chymase Antibody - BSA Free
Application
Recommended Usage
Immunocytochemistry/ Immunofluorescence
Reported in scientific literature (PMID : 29164232)
Immunohistochemistry
1:1000 - 1:2500
Immunohistochemistry-Paraffin
1:1000 - 1:2500
Application Notes
For IHC-Paraffin, HIER pH 6 retrieval is recommended.
Formulation, Preparation, and Storage
Purification
Affinity purified
Formulation
PBS (pH 7.2) and 40% Glycerol
Format
BSA Free
Preservative
0.02% Sodium Azide
Concentration
Concentrations vary lot to lot. See vial label for concentration. If unlisted please contact technical services.
Shipping
The product is shipped with polar packs. Upon receipt, store it immediately at the temperature recommended below.
Stability & Storage
Store at 4C short term. Aliquot and store at -20C long term. Avoid freeze-thaw cycles.
Background: Chymase/CMA1
Additional Chymase/CMA1 Products
Product Documents for Chymase/CMA1/Mast Cell Chymase Antibody - BSA Free
Product Specific Notices for Chymase/CMA1/Mast Cell Chymase Antibody - BSA Free
This product is for research use only and is not approved for use in humans or in clinical diagnosis. Primary Antibodies are guaranteed for 1 year from date of receipt.
Loading...
Loading...
Loading...
Loading...