Skip to main content

Chymase/CMA1/Mast Cell Chymase Antibody

Novus Biologicals, part of Bio-Techne | Catalog # NBP2-27551

Novus Biologicals, part of Bio-Techne
Catalog #
Availability
Size / Price
Qty
Loading...
NBP2-27551

Key Product Details

Species Reactivity

Human

Applications

Immunohistochemistry, Immunohistochemistry-Paraffin, Western Blot, Peptide ELISA

Label

Unconjugated

Antibody Source

Polyclonal Goat IgG

Concentration

0.5 mg/ml

Product Specifications

Immunogen

Peptide with sequence C-QFRHPKYNTSTLHHD corresponding to internal region according to NP_001827.1.

Clonality

Polyclonal

Host

Goat

Isotype

IgG

Scientific Data Images for Chymase/CMA1/Mast Cell Chymase Antibody

Western Blot: Chymase/CMA1/Mast Cell Chymase Antibody [NBP2-27551]

Western Blot: Chymase/CMA1/Mast Cell Chymase Antibody [NBP2-27551]

Western Blot: Chymase/CMA1/Mast Cell Chymase Antibody [NBP2-27551] - HEK293 lysate (10 ug protein in RIPA buffer) over expressing Human CMA1 with DYKDDDDK tag probed with NBP2-27551 (0.5 ug/mL) in Lane A and probed with anti-DYKDDDDK Tag (1:3000) in lane C. Mock-transfected HEK293 probed with NBP2-27551 (1 mg/mL) in Lane B. Primary incubations were for 1 hour. Detected by chemiluminescence.
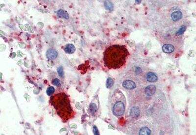
Immunohistochemistry-Paraffin: Chymase/CMA1/Mast Cell Chymase Antibody [NBP2-27551]

Immunohistochemistry-Paraffin: Chymase/CMA1/Mast Cell Chymase Antibody [NBP2-27551]

Immunohistochemistry-Paraffin: Chymase/CMA1/Mast Cell Chymase Antibody [NBP2-27551] - Staining of paraffin embedded Human Tonsil (Mast cells). Antibody at 1.5 ug/mL. Steamed antigen retrieval with citrate buffer pH 6, AP-staining.
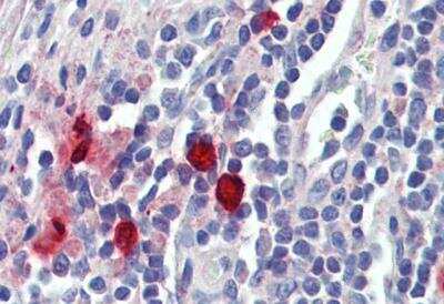
Immunohistochemistry-Paraffin: Chymase/CMA1/Mast Cell Chymase Antibody [NBP2-27551]

Immunohistochemistry-Paraffin: Chymase/CMA1/Mast Cell Chymase Antibody [NBP2-27551]

Immunohistochemistry-Paraffin: Chymase/CMA1/Mast Cell Chymase Antibody [NBP2-27551] - Staining of human skin Epidermis shows detection on the apical side of the basal cell layer.

Applications for Chymase/CMA1/Mast Cell Chymase Antibody

Application
Recommended Usage

Immunohistochemistry

1.5 ug/mL

Immunohistochemistry-Paraffin

1.5 ug/mL

Peptide ELISA

Detection limit 1:128000

Western Blot

0.5 - 1 ug/mL
Application Notes
WB: In transfected HEK293 transiently expressing full-length human CMA1 (myc and DYKDDDDK tagged), a band of approx. 35 kDa band was observed. No bands were observed in mock-transfected HEK293 and the same band was observed using anti-DYKDDDDK tag antibody. IHC-P: Human skin shows staining on the apical side of the basal cell layer from the Epidermis.

Formulation, Preparation, and Storage

Purification

Immunogen affinity purified

Formulation

Tris saline (20 mM Tris pH 7.3, 150 mM NaCl), 0.5% BSA

Preservative

0.02% Sodium Azide

Concentration

0.5 mg/ml

Shipping

The product is shipped with polar packs. Upon receipt, store it immediately at the temperature recommended below.

Stability & Storage

Store at -20C. Avoid freeze-thaw cycles.

Background: Chymase/CMA1

Mast cells contain a number of preformed chemicals mediators such as histamine, chymase, carboxypeptidase and proteolytic tryptase. Human Mast Cell Chymase is considered to be an important marker of mast cells as well as an important mediator of inflammation.

Alternate Names

CMA1, CYH, MCP3P, Mcpt5, MCT1

Gene Symbol

CMA1

Additional Chymase/CMA1 Products

Product Documents for Chymase/CMA1/Mast Cell Chymase Antibody

Certificate of Analysis

To download a Certificate of Analysis, please enter a lot number in the search box below.

Product Specific Notices for Chymase/CMA1/Mast Cell Chymase Antibody

This product is for research use only and is not approved for use in humans or in clinical diagnosis. Primary Antibodies are guaranteed for 1 year from date of receipt.

Loading...
Loading...
Loading...
Loading...