Skip to main content

Chorionic Gonadotropin alpha Chain (hCG alpha) Antibody - BSA Free

Novus Biologicals, part of Bio-Techne | Catalog # NBP2-34183

Novus Biologicals, part of Bio-Techne
Catalog #
Availability
Size / Price
Qty
Loading...
NBP2-34183
NBP2-34183-25ul

Key Product Details

Validated by

Orthogonal Validation

Species Reactivity

Human

Applications

Immunohistochemistry, Immunohistochemistry-Paraffin

Label

Unconjugated

Antibody Source

Polyclonal Rabbit IgG

Format

BSA Free

Concentration

Concentrations vary lot to lot. See vial label for concentration. If unlisted please contact technical services.

Product Specifications

Immunogen

This antibody was developed against a recombinant protein corresponding to amino acids: APDVQDCPECTLQENPFFSQPGAPILQCMGCCFSRAYPTPLRSKKTMLVQKNVTSESTCCVAKSYNRVTVMGGFKVENHTACHCSTCYYHKS

Clonality

Polyclonal

Host

Rabbit

Isotype

IgG

Description

Novus Biologicals Rabbit Chorionic Gonadotropin alpha Chain (hCG alpha) Antibody - BSA Free (NBP2-34183) is a polyclonal antibody validated for use in IHC. All Novus Biologicals antibodies are covered by our 100% guarantee.

Scientific Data Images for Chorionic Gonadotropin alpha Chain (hCG alpha) Antibody - BSA Free

Immunohistochemistry-Paraffin: Chorionic Gonadotropin alpha Chain (hCG alpha) Antibody [NBP2-34183]

Immunohistochemistry-Paraffin: Chorionic Gonadotropin alpha Chain (hCG alpha) Antibody [NBP2-34183]

Immunohistochemistry-Paraffin: Chorionic Gonadotropin alpha Chain (hCG alpha) Antibody [NBP2-34183] - Staining in human placenta and prostate tissues using anti-CGA antibody. Corresponding CGA RNA-seq data are presented for the same tissues.
Immunohistochemistry-Paraffin: Chorionic Gonadotropin alpha Chain (hCG alpha) Antibody [NBP2-34183]

Immunohistochemistry-Paraffin: Chorionic Gonadotropin alpha Chain (hCG alpha) Antibody [NBP2-34183]

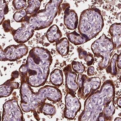
Immunohistochemistry-Paraffin: Chorionic Gonadotropin alpha Chain (hCG alpha) Antibody [NBP2-34183] - Staining of human placenta shows strong cytoplasmic positivity in trophoblastic cells.
Immunohistochemistry-Paraffin: Chorionic Gonadotropin alpha Chain (hCG alpha) Antibody [NBP2-34183]

Immunohistochemistry-Paraffin: Chorionic Gonadotropin alpha Chain (hCG alpha) Antibody [NBP2-34183]

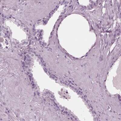
Immunohistochemistry-Paraffin: Chorionic Gonadotropin alpha Chain (hCG alpha) Antibody [NBP2-34183] - Staining of human prostate shows low expression as expected.

Applications for Chorionic Gonadotropin alpha Chain (hCG alpha) Antibody - BSA Free

Application
Recommended Usage

Immunohistochemistry

1:5000 - 1:10000

Immunohistochemistry-Paraffin

1:5000 - 1:10000
Application Notes
For IHC-Paraffin, HIER pH 6 retrieval is recommended.

Formulation, Preparation, and Storage

Purification

Immunogen affinity purified

Formulation

PBS (pH 7.2) and 40% Glycerol

Format

BSA Free

Preservative

0.02% Sodium Azide

Concentration

Concentrations vary lot to lot. See vial label for concentration. If unlisted please contact technical services.

Shipping

The product is shipped with polar packs. Upon receipt, store it immediately at the temperature recommended below.

Stability & Storage

Store at 4C short term. Aliquot and store at -20C long term. Avoid freeze-thaw cycles.

Background: Chorionic Gonadotropin alpha Chain (HCG alpha)

HCG is a glycoprotein hormone secreted in pregnancy by embryonic trophoblast cells during the first 7 weeks of gestation. Production subsequently shifts to the placenta, where it continues until term. HCG is a heterodimer consisting of an alpha chain and a beta chain. The alpha chain is common to several other hormones, including lutenizing hormone (LH), follicle stimulating hormone (FSH), and thyroid stimulating hormone (TSH), while the beta chain is unique to HCG. Both alpha and beta chains contain a cysteine knot motif, also found in growth factors such as TGF-beta family members.

Alternate Names

alpha HCG, CGA, FSHA, GPHa1, LHA, TSHA

Gene Symbol

CGA

UniProt

Additional Chorionic Gonadotropin alpha Chain (HCG alpha) Products

Product Documents for Chorionic Gonadotropin alpha Chain (hCG alpha) Antibody - BSA Free

Certificate of Analysis

To download a Certificate of Analysis, please enter a lot number in the search box below.

Product Specific Notices for Chorionic Gonadotropin alpha Chain (hCG alpha) Antibody - BSA Free

This product is for research use only and is not approved for use in humans or in clinical diagnosis. Primary Antibodies are guaranteed for 1 year from date of receipt.

Loading...
Loading...
Loading...
Loading...