Skip to main content

Choline Acetyltransferase/ChAT Antibody (JA67-11)

Novus Biologicals, part of Bio-Techne | Catalog # NBP2-66779

Recombinant Monoclonal Antibody.
Novus Biologicals, part of Bio-Techne
Catalog #
Availability
Size / Price
Qty
Loading...
NBP2-66779

Key Product Details

Species Reactivity

Human, Mouse, Rat

Applications

Immunohistochemistry, Immunohistochemistry-Paraffin, Immunohistochemistry-Frozen, Western Blot, Flow Cytometry, Immunocytochemistry/ Immunofluorescence, Immunoprecipitation

Label

Unconjugated

Antibody Source

Recombinant Monoclonal Rabbit IgG Clone # JA67-11 expressed in HEK293

Concentration

1 mg/ml

Product Specifications

Immunogen

Synthetic peptide within Human Choline Acetyltransferase/ChAT aa 699-748 / 748. (SwissProt: P28329 Human; SwissProt: Q03059 Mouse; SwissProt: P32738 Rat)

Localization

Cytosol, nucleus, cytoplasm, neuron projection, presynapse

Clonality

Monoclonal

Host

Rabbit

Isotype

IgG

Description

Novus Biologicals Rabbit Choline Acetyltransferase/ChAT Antibody (JA67-11) (NBP2-66779) is a recombinant monoclonal antibody validated for use in IHC, WB, Flow, ICC/IF and IP. Anti-Choline Acetyltransferase/ChAT Antibody: Cited in 1 publication. All Novus Biologicals antibodies are covered by our 100% guarantee.

Scientific Data Images for Choline Acetyltransferase/ChAT Antibody (JA67-11)

Immunocytochemistry/ Immunofluorescence: Choline Acetyltransferase/ChAT Antibody (JA67-11) [NBP2-66779]

Immunocytochemistry/ Immunofluorescence: Choline Acetyltransferase/ChAT Antibody (JA67-11) [NBP2-66779]

Immunocytochemistry/Immunofluorescence: Choline Acetyltransferase/ChAT Antibody (JA67-11) [NBP2-66779] - Staining Choline Acetyltransferase in N2A cells (green). The nuclear counter stain is DAPI (blue). Cells were fixed in paraformaldehyde, permeabilised with 0.25% Triton X100/PBS.
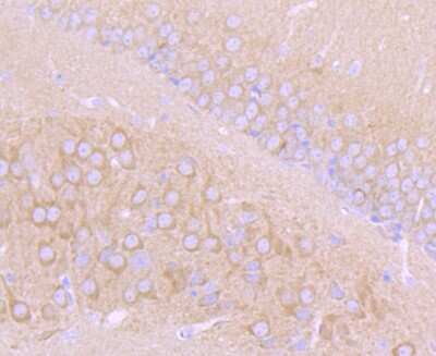
Immunohistochemistry-Paraffin: Choline Acetyltransferase/ChAT Antibody (JA67-11) [NBP2-66779]

Immunohistochemistry-Paraffin: Choline Acetyltransferase/ChAT Antibody (JA67-11) [NBP2-66779]

Immunohistochemistry-Paraffin: Choline Acetyltransferase/ChAT Antibody (JA67-11) [NBP2-66779] - Analysis of paraffin-embedded rat stomach tissue using anti- Choline Acetyltransferase antibody. Counter stained with hematoxylin.
Flow Cytometry: Choline Acetyltransferase/ChAT Antibody (JA67-11) [NBP2-66779]

Flow Cytometry: Choline Acetyltransferase/ChAT Antibody (JA67-11) [NBP2-66779]

Flow Cytometry: Choline Acetyltransferase/ChAT Antibody (JA67-11) [NBP2-66779] - Analysis of N2A cells with Choline Acetyltransferase antibody at 1/50 dilution (red) compared with an unlabelled control (cells without incubation with primary antibody; black). Alexa Fluor 488-conjugated goat anti rabbit IgG was used as the secondary antibody.

Applications for Choline Acetyltransferase/ChAT Antibody (JA67-11)

Application
Recommended Usage

Flow Cytometry

1:50-1:100

Immunocytochemistry/ Immunofluorescence

1:50-1:200

Immunohistochemistry-Frozen

1:100

Immunohistochemistry-Paraffin

1:50-1:200

Western Blot

1:500

Formulation, Preparation, and Storage

Purification

Protein A purified

Formulation

TBS (pH7.4), 0.05% BSA, 40% Glycerol

Preservative

0.05% Sodium Azide

Concentration

1 mg/ml

Shipping

The product is shipped with polar packs. Upon receipt, store it immediately at the temperature recommended below.

Stability & Storage

Store at 4C short term. Aliquot and store at -20C long term. Avoid freeze-thaw cycles.

Background: Choline Acetyltransferase/ChAT

Note: This is the same product as NB300-178. FUNCTION: Catalyzes the reversible synthesis of acetylcholine (ACh) from acetyl CoA and choline at cholinergic synapses. CATALYTIC ACTIVITY: Acetyl-CoA + choline = CoA + O-acetylcholine. SIMILARITY: Belongs to the carnitine/choline acetyltransferase family.

Alternate Names

CHAT, Choline acetylase

Gene Symbol

CHAT

Additional Choline Acetyltransferase/ChAT Products

Product Documents for Choline Acetyltransferase/ChAT Antibody (JA67-11)

Certificate of Analysis

To download a Certificate of Analysis, please enter a lot number in the search box below.

Product Specific Notices for Choline Acetyltransferase/ChAT Antibody (JA67-11)

This product is for research use only and is not approved for use in humans or in clinical diagnosis. Primary Antibodies are guaranteed for 1 year from date of receipt.

Loading...
Loading...
Loading...
Loading...
Loading...