Skip to main content

Choline Acetyltransferase/ChAT Antibody (CL3173)

Novus Biologicals, part of Bio-Techne | Catalog # NBP3-52079

Recombinant Monoclonal Antibody
Novus Biologicals, part of Bio-Techne
Catalog #
Availability
Size / Price
Qty
Loading...
NBP3-52079-100ul
NBP3-52079-25ul

Key Product Details

Species Reactivity

Human

Applications

Immunohistochemistry, Immunohistochemistry-Paraffin, Immunocytochemistry/ Immunofluorescence

Label

Unconjugated

Antibody Source

Recombinant Monoclonal Mouse IgG2B Clone # CL3173

Concentration

1 mg/ml

Product Specifications

Immunogen

This antibody was developed using a recombinant protein derived from P28329, with the exact immunogen sequence remaining proprietary.

Clonality

Monoclonal

Host

Mouse

Isotype

IgG2B

Scientific Data Images for Choline Acetyltransferase/ChAT Antibody (CL3173)

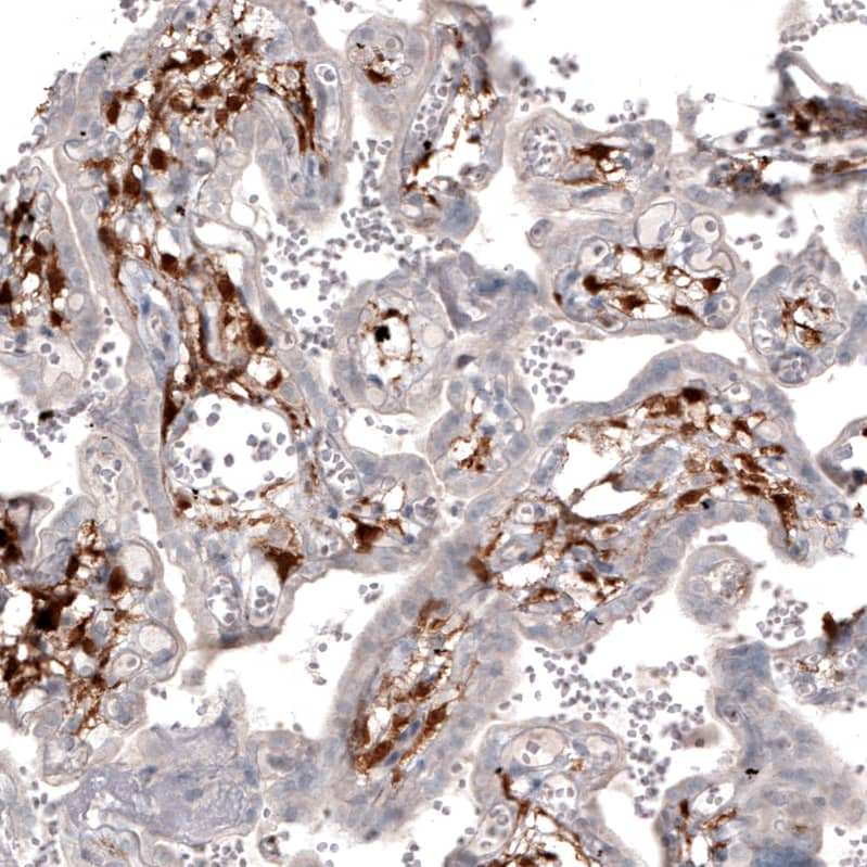
Choline Acetyltransferase/ChAT Antibody (CL3173) Immunohistochemistry: Choline Acetyltransferase/ChAT Antibody (CL3173) [NBP3-52079]

Immunohistochemistry: Choline Acetyltransferase/ChAT Antibody (CL3173) [NBP3-52079]

Staining of human placenta shows strong cytoplasmic positivity in a subset of cells in chorionic villi.
Choline Acetyltransferase/ChAT Antibody (CL3173) Immunohistochemistry: Choline Acetyltransferase/ChAT Antibody (CL3173) [NBP3-52079]

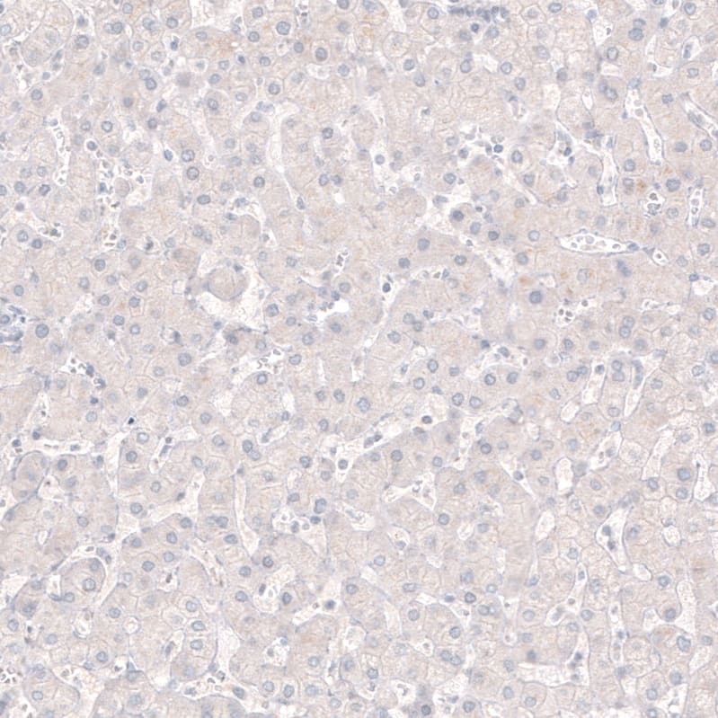
Immunohistochemistry: Choline Acetyltransferase/ChAT Antibody (CL3173) [NBP3-52079]

Staining of human liver shows no positivity in hepatocytes as expected.
Choline Acetyltransferase/ChAT Antibody (CL3173) Immunohistochemistry: Choline Acetyltransferase/ChAT Antibody (CL3173) [NBP3-52079]

Immunohistochemistry: Choline Acetyltransferase/ChAT Antibody (CL3173) [NBP3-52079]

Staining of mouse basal forebrain shows strong positivity in acetylcholine neurons in the caudate putamen.

Applications for Choline Acetyltransferase/ChAT Antibody (CL3173)

Application
Recommended Usage

Immunocytochemistry/ Immunofluorescence

2-10 ug/ml

Immunohistochemistry

1:500 - 1:1000

Immunohistochemistry-Paraffin

1:500 - 1:1000
Application Notes
For IHC-Paraffin, HIER pH 6 retrieval is recommended. ICC/IF Fixation Permeabilization: Use PFA/Triton X-100.

Formulation, Preparation, and Storage

Purification

Protein A purified

Formulation

PBS, pH 7.2, 40% glycerol

Preservative

0.02% Sodium Azide

Concentration

1 mg/ml

Shipping

The product is shipped with polar packs. Upon receipt, store it immediately at the temperature recommended below.

Stability & Storage

Store at 4C short term. Aliquot and store at -20C long term. Avoid freeze-thaw cycles.

Background: Choline Acetyltransferase/ChAT

Note: This is the same product as NB300-178. FUNCTION: Catalyzes the reversible synthesis of acetylcholine (ACh) from acetyl CoA and choline at cholinergic synapses. CATALYTIC ACTIVITY: Acetyl-CoA + choline = CoA + O-acetylcholine. SIMILARITY: Belongs to the carnitine/choline acetyltransferase family.

Alternate Names

CHAT, Choline acetylase

Gene Symbol

CHAT

Additional Choline Acetyltransferase/ChAT Products

Product Documents for Choline Acetyltransferase/ChAT Antibody (CL3173)

Certificate of Analysis

To download a Certificate of Analysis, please enter a lot number in the search box below.

Product Specific Notices for Choline Acetyltransferase/ChAT Antibody (CL3173)

This product is for research use only and is not approved for use in humans or in clinical diagnosis. Primary Antibodies are guaranteed for 1 year from date of receipt.

Loading...
Loading...
Loading...
Loading...