CHMP5 Antibody - BSA Free
Novus Biologicals, part of Bio-Techne | Catalog # NBP2-48776
Key Product Details
Validated by
Independent Antibodies
Species Reactivity
Validated:
Human
Predicted:
Mouse (99%), Rat (99%). Backed by our 100% Guarantee.
Applications
Immunohistochemistry, Immunohistochemistry-Paraffin
Label
Unconjugated
Antibody Source
Polyclonal Rabbit IgG
Format
BSA Free
Concentration
Concentrations vary lot to lot. See vial label for concentration. If unlisted please contact technical services.
Product Specifications
Immunogen
This antibody was developed against a recombinant protein corresponding to amino acids: NRLFGKAKPKAPPPSLTDCIGTVDSRAESIDKKISRLDAELVKYKDQIKKMREGPAKNMVKQKALRV
Clonality
Polyclonal
Host
Rabbit
Isotype
IgG
Description
Novus Biologicals Rabbit CHMP5 Antibody - BSA Free (NBP2-48776) is a polyclonal antibody validated for use in IHC. All Novus Biologicals antibodies are covered by our 100% guarantee.
Scientific Data Images for CHMP5 Antibody - BSA Free
Immunohistochemistry-Paraffin: CHMP5 Antibody [NBP2-48776]
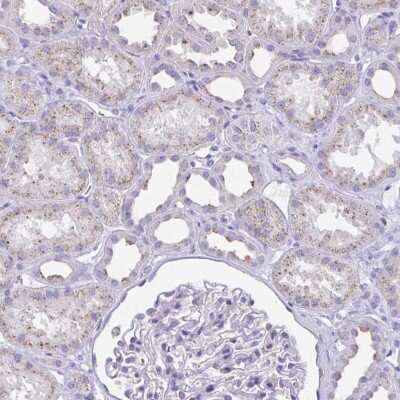
Immunohistochemistry-Paraffin: CHMP5 Antibody [NBP2-48776] - Staining of human kidney.Immunohistochemistry-Paraffin: CHMP5 Antibody [NBP2-48776]
Immunohistochemistry-Paraffin: CHMP5 Antibody [NBP2-48776] - Staining of human kidney shows cytoplasmic positivity in renal tubules.Immunohistochemistry-Paraffin: CHMP5 Antibody [NBP2-48776]
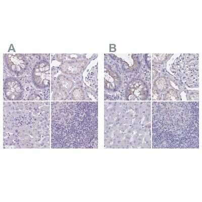
Immunohistochemistry-Paraffin: CHMP5 Antibody [NBP2-48776] - Staining of human colon, kidney, liver and lymph node using Anti-CHMP5 antibody NBP2-48776 (A) shows similar protein distribution across tissues to independent antibody NBP2-49227 (B).Applications for CHMP5 Antibody - BSA Free
Application
Recommended Usage
Immunohistochemistry
1:200 - 1:500
Immunohistochemistry-Paraffin
1:200 - 1:500
Application Notes
For IHC-Paraffin, HIER pH 6 retrieval is recommended.
Formulation, Preparation, and Storage
Purification
Affinity purified
Formulation
PBS (pH 7.2) and 40% Glycerol
Format
BSA Free
Preservative
0.02% Sodium Azide
Concentration
Concentrations vary lot to lot. See vial label for concentration. If unlisted please contact technical services.
Shipping
The product is shipped with polar packs. Upon receipt, store it immediately at the temperature recommended below.
Stability & Storage
Store at 4C short term. Aliquot and store at -20C long term. Avoid freeze-thaw cycles.
Background: CHMP5
Alternate Names
apoptosis-related protein PNAS-2, C9orf83, charged multivesicular body protein 5, chromatin modifying protein 5, Chromatin-modifying protein 5, chromosome 9 open reading frame 83, HSPC177, hVps60, PNAS-2, SNF7 domain containing 2, SNF7 domain-containing protein 2, SNF7DC2, Vacuolar protein sorting-associated protein 60, Vps60CGI-34
Gene Symbol
CHMP5
Additional CHMP5 Products
Product Documents for CHMP5 Antibody - BSA Free
Product Specific Notices for CHMP5 Antibody - BSA Free
This product is for research use only and is not approved for use in humans or in clinical diagnosis. Primary Antibodies are guaranteed for 1 year from date of receipt.
Loading...
Loading...
Loading...
Loading...