Skip to main content

ChemR23/CMKLR1 Antibody (BZ194) - BSA Free

Novus Biologicals, part of Bio-Techne | Catalog # NBP1-43233

Novus Biologicals, part of Bio-Techne
Catalog #
Availability
Size / Price
Qty
Loading...
NBP1-43233-0.5mg
NBP1-43233-0.1mg
NBP1-43233-0.05mg

Key Product Details

Species Reactivity

Validated:

Mouse

Cited:

Mouse

Applications

Validated:

Immunohistochemistry, Immunohistochemistry-Paraffin, Flow Cytometry

Cited:

Immunocytochemistry/ Immunofluorescence, IF/IHC

Label

Unconjugated

Antibody Source

Monoclonal Rat IgG2a Kappa Clone # BZ194

Format

BSA Free

Concentration

1.0 mg/ml

Product Specifications

Immunogen

Partial synthetic peptide made to an N-terminal portion of the mouse ChemR23/CMKLR1 protein (amino acids 8-32) [UniProt P97468]

Localization

Multi-pass membrane protein with cytoplasmic and extra-cellular domains

Clonality

Monoclonal

Host

Rat

Isotype

IgG2a Kappa

Description

Novus Biologicals Rat ChemR23/CMKLR1 Antibody (BZ194) - BSA Free (NBP1-43233) is a monoclonal antibody validated for use in IHC, Flow and ICC/IF. Anti-ChemR23/CMKLR1 Antibody: Cited in 2 publications. All Novus Biologicals antibodies are covered by our 100% guarantee.

Scientific Data Images for ChemR23/CMKLR1 Antibody (BZ194) - BSA Free

Immunohistochemistry-Paraffin: ChemR23/CMKLR1 Antibody (BZ194) - BSA Free [NBP1-43233]

Immunohistochemistry-Paraffin: ChemR23/CMKLR1 Antibody (BZ194) - BSA Free [NBP1-43233]

Immunohistochemistry-Paraffin: ChemR23/CMKLR1 Antibody (BZ194) [NBP1-43233] - IHC-P analysis of a formalin fixed paraffin embedded tissue section of mouse liver using ChemR23/CMKLR1 antibody (clone BZ194) at 1:200 dilution. The antibody generated an expected membrane-cytoplasmic staining in the hepatocytes.
Flow Cytometry: ChemR23/CMKLR1 Antibody (BZ194) - BSA Free [NBP1-43233]

Flow Cytometry: ChemR23/CMKLR1 Antibody (BZ194) - BSA Free [NBP1-43233]

Flow Cytometry: ChemR23/CMKLR1 Antibody (BZ194) [NBP1-43233] - Staining of resident mouse peritoneal macrophages.
ChemR23/CMKLR1 Antibody (BZ194) - BSA Free

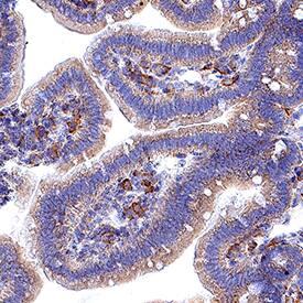
Immunohistochemistry-paraffin: Rat Monoclonal ChemR23/CMKLR1 Antibody (BZ194) [NBP1-43233] -

Immunohistochemistry-paraffin: Rat Monoclonal ChemR23/CMKLR1 Antibody (BZ194) [NBP1-43233] - ChemR23/CMKLR1 was detected in perfusion fixed paraffin-embedded sections of mouse intestine using ChemR23/CMKLR1 Antibody (BZ194) at a dilution of 1:25 for 1 hour at room temperature. Before incubation with the primary antibody, tissue was subjected to heat-induced epitope retrieval using Antigen Retrieval Reagent-Basic. Tissue was stained using HRP-DAB (brown) and counterstained with hematoxylin (blue). Specific staining was localized to lymphocytes in intestinal villi. Image validated internally.

Applications for ChemR23/CMKLR1 Antibody (BZ194) - BSA Free

Application
Recommended Usage

Flow Cytometry

1:10-1:1000

Immunohistochemistry

1:100 - 1:200

Immunohistochemistry-Paraffin

1:100 - 1:200
Application Notes
This antibody was tested in Flow on resident mouse peritoneal macrophages and found that it can be used at less than or equal to 0.5 ug per test (cell number should be determined empirically but can range from 10^5 to 10^8cells/test). In IHC-P it was tested on mouse liver using routine protocol with heat induced antigen retrieval employing 10mM sodium citrate buffer pH 6.

Formulation, Preparation, and Storage

Purification

Protein A or G purified

Formulation

PBS

Format

BSA Free

Preservative

0.02% Sodium Azide

Concentration

1.0 mg/ml

Shipping

The product is shipped with polar packs. Upon receipt, store it immediately at the temperature recommended below.

Stability & Storage

Store at 4C. Do not freeze.

Background: ChemR23

The 194.7.4 (BZ194)monoclonal antibody reacts to mouse Chemoattractant-like receptor 1 (CMKLR1), also known as ChemR23 and DEZ. CMKLR1 is the receptor for chemerin, a potent chemoattractant. The BZ194 antibody was generated against the amino terminal residues of mouse CMKLR1. In the human CMKLR is found on pDC while in the mouse expression is confined to resident peritoneal macrophages with highest expression on Cd11blo macrophages. Expression is absent on in vitro cultured bone marrow DCs (except on early DCs as defined by CD11c+MHCIIint), and on freshly isolated CD11c+ cells from lymph node, spleen and bone marrow. Mouse CMKLR is thought to play a role in macrophage function as a result of injury.

Long Name

Chemokine-like Receptor 1/Orphan G Protein-coupled Receptor ChemR23

Alternate Names

cmklr1, Dez, Gpcr27

Entrez Gene IDs

14747 (Mouse)

Gene Symbol

CMKLR1

UniProt

Additional ChemR23 Products

Product Documents for ChemR23/CMKLR1 Antibody (BZ194) - BSA Free

Certificate of Analysis

To download a Certificate of Analysis, please enter a lot number in the search box below.

Product Specific Notices for ChemR23/CMKLR1 Antibody (BZ194) - BSA Free

This product is for research use only and is not approved for use in humans or in clinical diagnosis. Primary Antibodies are guaranteed for 1 year from date of receipt.

Loading...
Loading...
Loading...
Loading...
Loading...