Skip to main content

CHCHD3 Antibody - BSA Free

Novus Biologicals, part of Bio-Techne | Catalog # NBP3-38566

Novus Biologicals, part of Bio-Techne
Catalog #
Availability
Size / Price
Qty
Loading...
NBP3-38566-20ul
NBP3-38566-100ul

Key Product Details

Species Reactivity

Human, Mouse, Rat

Applications

Western Blot, ELISA, Immunocytochemistry/ Immunofluorescence, Immunoprecipitation

Label

Unconjugated

Antibody Source

Polyclonal Rabbit IgG

Format

BSA Free

Concentration

Please see the vial label for concentration. If unlisted please contact technical services.

Product Specifications

Immunogen

Recombinant fusion protein containing a sequence corresponding to amino acids 1-227 of human CHCHD3 (NP_060282.1).

Sequence:
MGGTTSTRRVTFEADENENITVVKGIRLSENVIDRMKESSPSGSKSQRYSGAYGASVSDEELKRRVAEELALEQAKKESEDQKRLKQAKELDRERAAANEQLTRAILRERICSEEERAKAKHLARQLEEKDRVLKKQDAFYKEQLARLEERSSEFYRVTTEQYQKAAEEVEAKFKRYESHPVCADLQAKILQCYRENTHQTLKCSALATQYMHCVNHAKQSMLEKGG

Clonality

Polyclonal

Host

Rabbit

Isotype

IgG

Theoretical MW

26 kDa.
Disclaimer note: The observed molecular weight of the protein may vary from the listed predicted molecular weight due to post translational modifications, post translation cleavages, relative charges, and other experimental factors.

Description

Novus Biologicals Rabbit CHCHD3 Antibody - BSA Free (NBP3-38566) is a polyclonal antibody validated for use in WB, ELISA, ICC/IF and IP. All Novus Biologicals antibodies are covered by our 100% guarantee.

Scientific Data Images for CHCHD3 Antibody - BSA Free

CHCHD3 Antibody

Immunoprecipitation: CHCHD3 Antibody [NBP3-38566] -

Immunoprecipitation: CHCHD3 Antibody [NBP3-38566] - Immunoprecipitation analysis of 600 ug extracts of Mouse liver cells using 3 ug CHCHD3 antibody. Western blot was performed from the immunoprecipitate using CHCHD3 antibody at a dilution of 1:1000.
CHCHD3 Antibody

Immunocytochemistry/ Immunofluorescence: CHCHD3 Antibody [NBP3-38566] -

Immunocytochemistry/ Immunofluorescence: CHCHD3 Antibody [NBP3-38566] - Confocal immunofluorescence analysis of U2OS cells using CHCHD3 Rabbit pAb at dilution of 1:100. Blue: DAPI for nuclear staining.
CHCHD3 Antibody

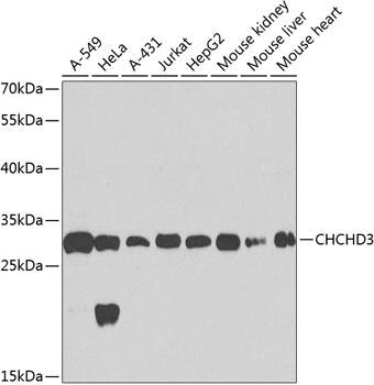
Western Blot: CHCHD3 Antibody [NBP3-38566] -

Western Blot: CHCHD3 Antibody [NBP3-38566] - Western blot analysis of various lysates using CHCHD3 Rabbit pAb at 1:1000 dilution.
Secondary antibody: HRP-conjugated Goat anti-Rabbit IgG (H+L) at 1:10000 dilution.
Lysates/proteins: 25ug per lane.
Blocking buffer: 3% nonfat dry milk in TBST.
Detection: ECL Basic Kit.
Exposure time: 40s.

Applications for CHCHD3 Antibody - BSA Free

Application
Recommended Usage

Immunocytochemistry/ Immunofluorescence

1:50 - 1:200

Immunoprecipitation

0.5ug-4ug antibody for 400ug-600ug extracts of whole cells

Western Blot

1:500 - 1:2000

Formulation, Preparation, and Storage

Purification

Affinity purified

Formulation

PBS (pH 7.3), 50% glycerol

Format

BSA Free

Preservative

0.02% Sodium Azide

Concentration

Please see the vial label for concentration. If unlisted please contact technical services.

Shipping

The product is shipped with polar packs. Upon receipt, store it immediately at the temperature recommended below.

Stability & Storage

Store at -20C. Avoid freeze-thaw cycles.

Background: CHCHD3

Alternate Names

coiled-coil-helix-coiled-coil-helix domain containing 3, FLJ20420, mitochondrial

Gene Symbol

CHCHD3

Additional CHCHD3 Products

Product Documents for CHCHD3 Antibody - BSA Free

Certificate of Analysis

To download a Certificate of Analysis, please enter a lot number in the search box below.

Product Specific Notices for CHCHD3 Antibody - BSA Free

This product is for research use only and is not approved for use in humans or in clinical diagnosis. Primary Antibodies are guaranteed for 1 year from date of receipt.

Loading...
Loading...
Loading...
Loading...