Skip to main content

CHCHD3 Antibody (OTI7G4) - Azide and BSA Free

Novus Biologicals, part of Bio-Techne | Catalog # NBP2-71975

Novus Biologicals, part of Bio-Techne

Key Product Details

Species Reactivity

Human, Mouse, Rat

Applications

Immunohistochemistry, Immunohistochemistry-Paraffin, Western Blot

Label

Unconjugated

Antibody Source

Monoclonal Mouse IgG1 Clone # OTI7G4

Format

Azide and BSA Free

Concentration

LYOPH mg/ml

Product Specifications

Immunogen

Human recombinant protein fragment corresponding to amino acids 2-227 of human CHCHD3 (NP_060282) produced in E.coli.

Reactivity Notes

Please note that this antibody is reactive to Mouse and derived from the same host, Mouse. Mouse-On-Mouse blocking reagent may be needed for IHC and ICC experiments to reduce high background signal. You can find these reagents under catalog numbers PK-2200-NB and MP-2400-NB. Please contact Technical Support if you have any questions.

Clonality

Monoclonal

Host

Mouse

Isotype

IgG1

Description

Novus Biologicals Mouse CHCHD3 Antibody (OTI7G4) - Azide and BSA Free (NBP2-46281) is a monoclonal antibody validated for use in IHC and WB. All Novus Biologicals antibodies are covered by our 100% guarantee.

Scientific Data Images for CHCHD3 Antibody (OTI7G4) - Azide and BSA Free

Western Blot: CHCHD3 Antibody (OTI7G4)Azide and BSA Free [NBP2-71975]

Western Blot: CHCHD3 Antibody (OTI7G4)Azide and BSA Free [NBP2-71975]

Western Blot: CHCHD3 Antibody (OTI7G4) - Azide and BSA Free [NBP2-71975] - Analysis of HEK293T cells were transfected with the pCMV6-ENTRY control (Left lane) or pCMV6-ENTRY CHCHD3.
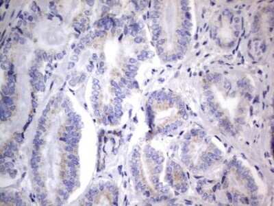
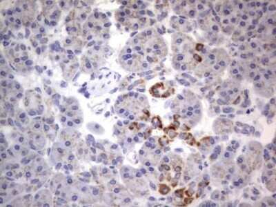
Immunohistochemistry: CHCHD3 Antibody (OTI7G4) - Azide and BSA Free [NBP2-71975]

Immunohistochemistry: CHCHD3 Antibody (OTI7G4) - Azide and BSA Free [NBP2-71975]

Immunohistochemistry: CHCHD3 Antibody (OTI7G4) - Azide and BSA Free [NBP2-71975] - Analysis of Human pancreas tissue.
Western Blot: CHCHD3 Antibody (OTI7G4)Azide and BSA Free [NBP2-71975]

Western Blot: CHCHD3 Antibody (OTI7G4)Azide and BSA Free [NBP2-71975]

Western Blot: CHCHD3 Antibody (OTI7G4) - Azide and BSA Free [NBP2-71975] - Analysis of A549 cell lysate (35ug).

Applications for CHCHD3 Antibody (OTI7G4) - Azide and BSA Free

Application
Recommended Usage

Western Blot

1:2000

Formulation, Preparation, and Storage

Purification

Immunogen affinity purified

Reconstitution

we recommend adding 100uL distilled water to a final antibody concentration of about 1 mg/mL. To use this carrier-free antibody for conjugation experiment, we strongly recommend performing another round of desalting process.

Formulation

Lyophilized from PBS (pH 7.3) with 8% Trehalose

Format

Azide and BSA Free

Preservative

No Preservative

Concentration

LYOPH mg/ml

Shipping

The product is shipped with polar packs. Upon receipt, store it immediately at the temperature recommended below.

Stability & Storage

Store at -20C. Avoid freeze-thaw cycles.

Background: CHCHD3

Alternate Names

coiled-coil-helix-coiled-coil-helix domain containing 3, FLJ20420, mitochondrial

Gene Symbol

CHCHD3

Additional CHCHD3 Products

Product Documents for CHCHD3 Antibody (OTI7G4) - Azide and BSA Free

Certificate of Analysis

To download a Certificate of Analysis, please enter a lot number in the search box below.

Product Specific Notices for CHCHD3 Antibody (OTI7G4) - Azide and BSA Free

This product is for research use only and is not approved for use in humans or in clinical diagnosis. Primary Antibodies are guaranteed for 1 year from date of receipt.

Loading...
Loading...
Loading...
Loading...
Loading...