CHAF1A Antibody
Novus Biologicals, part of Bio-Techne | Catalog # NB100-74609
Key Product Details
Validated by
Independent Antibodies
Species Reactivity
Human
Applications
Immunohistochemistry, Immunohistochemistry-Paraffin, Western Blot, Immunoprecipitation
Label
Unconjugated
Antibody Source
Polyclonal Rabbit IgG
Concentration
0.2 mg/ml
Product Specifications
Immunogen
The immunogen recognized by this antibody maps to a region between residue 500 and 550 of human chromatin assembly factor 1, subunit A (p150) using the numbering given in entry AAA76736.1 (GeneID 10036).
Localization
Nuclear
Clonality
Polyclonal
Host
Rabbit
Isotype
IgG
Scientific Data Images for CHAF1A Antibody
Western Blot: CHAF1A Antibody [NB100-74609]
Western Blot: CHAF1A Antibody [NB100-74609] - Whole cell lysate (50 ug) from HeLa, HEK293T, and Jurkat cells prepared using NETN lysis buffer. Antibody: Affinity purified rabbit anti-Caf1p150 antibody used for WB at 0.1 ug/ml. Detection: Chemiluminescence with an exposure time of 3 minutes.Immunohistochemistry-Paraffin: CHAF1A Antibody [NB100-74609]
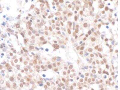
Immunohistochemistry-Paraffin: CHAF1A Antibody [NB100-74609] - Human lung cancer. Antibody: Affinity purified rabbit anti-Caf1p150 used at a dilution of 1:200 (1ug/ml). Detection: DABApplications for CHAF1A Antibody
Application
Recommended Usage
Immunohistochemistry
1:100 - 1:500
Immunohistochemistry-Paraffin
1:10-1:500
Immunoprecipitation
2-5 ug/mg lysate
Western Blot
1:2000-1:10000
Application Notes
Epitope retrieval with citrate buffer pH 6.0 is recommended for FFPE tissue sections.
Formulation, Preparation, and Storage
Purification
Immunogen affinity purified
Formulation
TBS and 0.1% BSA
Preservative
0.09% Sodium Azide
Concentration
0.2 mg/ml
Shipping
The product is shipped with polar packs. Upon receipt, store it immediately at the temperature recommended below.
Stability & Storage
Store at 4C. Do not freeze.
Background: CHAF1A
Alternate Names
CAF, CAF1, CAF-1, CAF-1 subunit A, CAF1B, CAF1P150CAF-I 150 kDa subunit, CAF-I p150, chromatin assembly factor 1 subunit A, chromatin assembly factor 1, subunit A (p150), chromatin assembly factor I (150 kDa), Chromatin assembly factor I p150 subunit, hp150, MGC71229, P150
Entrez Gene IDs
10036 (Human)
Gene Symbol
CHAF1A
UniProt
Additional CHAF1A Products
Product Documents for CHAF1A Antibody
Product Specific Notices for CHAF1A Antibody
This product is for research use only and is not approved for use in humans or in clinical diagnosis. Primary Antibodies are guaranteed for 1 year from date of receipt.
Loading...
Loading...
Loading...
Loading...