Skip to main content

CGR19 Antibody - BSA Free

Novus Biologicals, part of Bio-Techne | Catalog # NBP1-85644

Novus Biologicals, part of Bio-Techne
Catalog #
Availability
Size / Price
Qty
Loading...
NBP1-85644
NBP1-85644-25ul

Key Product Details

Species Reactivity

Human

Applications

Immunohistochemistry, Immunohistochemistry-Paraffin, Western Blot, Immunocytochemistry/ Immunofluorescence

Label

Unconjugated

Antibody Source

Polyclonal Rabbit IgG

Format

BSA Free

Concentration

Concentrations vary lot to lot. See vial label for concentration. If unlisted please contact technical services.

Product Specifications

Immunogen

This antibody was developed against Recombinant Protein corresponding to amino acids: IYDIISMVSVIHIPDRTYKLSCRILYQYLLLAQGQFHDLKQLFMSANNNFTPSNNSSSEEKNTDRSLLEKVGLSESEVEPSEENSKDCVVCQNGTVNWVLLPCRHTCLCDGCVKYFQQCPMCRQFVQESFALCSQKEQDKDKPK

Clonality

Polyclonal

Host

Rabbit

Isotype

IgG

Description

Novus Biologicals Rabbit CGR19 Antibody - BSA Free (NBP1-85644) is a polyclonal antibody validated for use in IHC, WB and ICC/IF. Anti-CGR19 Antibody: Cited in 1 publication. All Novus Biologicals antibodies are covered by our 100% guarantee.

Scientific Data Images for CGR19 Antibody - BSA Free

CGR19 Antibody - BSA Free Western Blot: CGR19 Antibody - BSA Free [NBP1-85644]

Western Blot: CGR19 Antibody - BSA Free [NBP1-85644]

Analysis in human cell line U-2 OS.
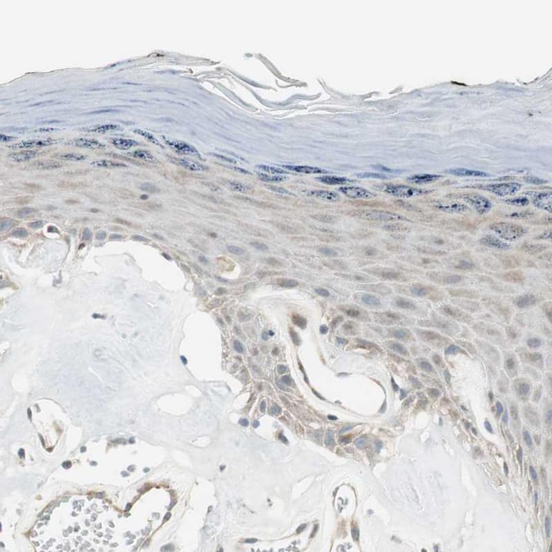
CGR19 Antibody - BSA Free Immunohistochemistry-Paraffin: CGR19 Antibody - BSA Free [NBP1-85644]

Immunohistochemistry-Paraffin: CGR19 Antibody - BSA Free [NBP1-85644]

Staining of human skin shows very weak positivity in squamous epithelial cells as expected.
CGR19 Antibody - BSA Free Immunohistochemistry-Paraffin: CGR19 Antibody - BSA Free [NBP1-85644]

Immunohistochemistry-Paraffin: CGR19 Antibody - BSA Free [NBP1-85644]

Staining of human testis shows strong nuclear and cytoplasmic positivity in cells in seminiferous ducts.

Applications for CGR19 Antibody - BSA Free

Application
Recommended Usage

Immunocytochemistry/ Immunofluorescence

0.25-2 ug/ml

Immunohistochemistry

1:200 - 1:500

Immunohistochemistry-Paraffin

1:200 - 1:500

Western Blot

0.04 - 0.4 ug/ml
Application Notes
For IHC-Paraffin, HIER pH 6 retrieval is recommended. Immunocytochemistry/Immunofluorescence Fixation Permeabilization: Use PFA/Triton X-100.

Formulation, Preparation, and Storage

Purification

Immunogen affinity purified

Formulation

PBS (pH 7.2) and 40% Glycerol

Format

BSA Free

Preservative

0.02% Sodium Azide

Concentration

Concentrations vary lot to lot. See vial label for concentration. If unlisted please contact technical services.

Shipping

The product is shipped with polar packs. Upon receipt, store it immediately at the temperature recommended below.

Stability & Storage

Store at 4C short term. Aliquot and store at -20C long term. Avoid freeze-thaw cycles.

Background: CGR19

CGR19 is a gene that codes for a protein that is able to inhibit growth in certain cell lines, which is 332 amino acids long and weighs approximately 38 kDa. CGR19 has been shown to have interactions with UBE2U, CREB3, PEX10, and UBC.

Alternate Names

cell growth regulator with ring finger domain 1, Cell growth regulatory gene 19 protein, CGR19cell growth regulator with RING finger domain protein 1, RING finger protein 197, RNF197GCRRF1

Gene Symbol

CGRRF1

Additional CGR19 Products

Product Documents for CGR19 Antibody - BSA Free

Certificate of Analysis

To download a Certificate of Analysis, please enter a lot number in the search box below.

Product Specific Notices for CGR19 Antibody - BSA Free

This product is for research use only and is not approved for use in humans or in clinical diagnosis. Primary Antibodies are guaranteed for 1 year from date of receipt.

Loading...
Loading...
Loading...
Loading...