CGNL1 Antibody - BSA Free
Novus Biologicals, part of Bio-Techne | Catalog # NBP2-37959
Key Product Details
Validated by
Orthogonal Validation
Species Reactivity
Validated:
Human
Predicted:
Mouse (91%). Backed by our 100% Guarantee.
Applications
Immunohistochemistry, Immunohistochemistry-Paraffin, Western Blot
Label
Unconjugated
Antibody Source
Polyclonal Rabbit IgG
Format
BSA Free
Concentration
Concentrations vary lot to lot. See vial label for concentration. If unlisted please contact technical services.
Product Specifications
Immunogen
This antibody was developed against a recombinant protein corresponding to amino acids: NEKVEENSTLQQRLEESEGELRKNLEELFQVKMEREQHQTEIRDLQDQLSEMHDELDSAKRSEDREKGALIEELLQAKQDLQDLLIAK
Reactivity Notes
Immunogen displays the following percentage of sequence identity for non-tested species: Rat (89%)
Clonality
Polyclonal
Host
Rabbit
Isotype
IgG
Description
Novus Biologicals Rabbit CGNL1 Antibody - BSA Free (NBP2-37959) is a polyclonal antibody validated for use in IHC and WB. All Novus Biologicals antibodies are covered by our 100% guarantee.
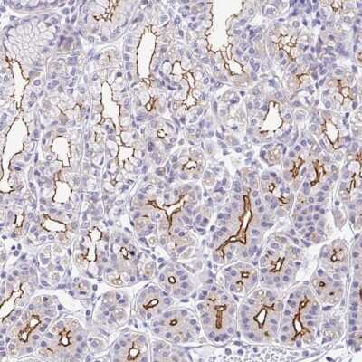
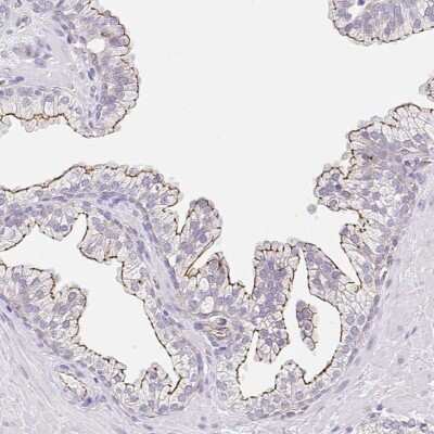
Scientific Data Images for CGNL1 Antibody - BSA Free
Western Blot: CGNL1 Antibody [NBP2-37959]
Western Blot: CGNL1 Antibody [NBP2-37959] - Lane 1: Marker [kDa] 250, 130, 95, 72, 55, 36, 28, 17, 10. Lane 2: Human cell line RT-4. Lane 3: Human cell line U-251MGImmunohistochemistry-Paraffin: CGNL1 Antibody [NBP2-37959]
Immunohistochemistry-Paraffin: CGNL1 Antibody [NBP2-37959] - Staining of human stomach shows strong membranous positivity in glandular cells.Applications for CGNL1 Antibody - BSA Free
Application
Recommended Usage
Immunohistochemistry
1:1000 - 1:2500
Immunohistochemistry-Paraffin
1:1000 - 1:2500
Western Blot
0.04-0.4 ug/ml
Application Notes
For IHC-Paraffin, HIER pH 6 retrieval is recommended.
Formulation, Preparation, and Storage
Purification
Affinity purified
Formulation
PBS (pH 7.2) and 40% Glycerol
Format
BSA Free
Preservative
0.02% Sodium Azide
Concentration
Concentrations vary lot to lot. See vial label for concentration. If unlisted please contact technical services.
Shipping
The product is shipped with polar packs. Upon receipt, store it immediately at the temperature recommended below.
Stability & Storage
Store at 4C short term. Aliquot and store at -20C long term. Avoid freeze-thaw cycles.
Background: CGNL1
Alternate Names
Cingulin-Like 1, Cingulin-Like Protein 1, FLJ14957, JACOP, Junction-Associated Coiled-Coil Protein, KIAA1749, paracingulin
Gene Symbol
CGNL1
UniProt
Additional CGNL1 Products
Product Documents for CGNL1 Antibody - BSA Free
Product Specific Notices for CGNL1 Antibody - BSA Free
This product is for research use only and is not approved for use in humans or in clinical diagnosis. Primary Antibodies are guaranteed for 1 year from date of receipt.
Loading...
Loading...
Loading...
Loading...