Skip to main content

cGK1/PRKG1 Antibody (OTI9G4) - Azide and BSA Free

Novus Biologicals, part of Bio-Techne | Catalog # NBP2-71227

Novus Biologicals, part of Bio-Techne

Key Product Details

Species Reactivity

Human, Mouse, Rat

Applications

Immunohistochemistry, Immunohistochemistry-Paraffin, Western Blot, Immunocytochemistry/ Immunofluorescence

Label

Unconjugated

Antibody Source

Monoclonal Mouse IgG1 Clone # OTI9G4

Format

Azide and BSA Free

Concentration

LYOPH mg/ml

Product Specifications

Immunogen

Full length human recombinant protein of human PRKG1 (NP_006249) produced in HEK293T cell.

Reactivity Notes

Please note that this antibody is reactive to Mouse and derived from the same host, Mouse. Mouse-On-Mouse blocking reagent may be needed for IHC and ICC experiments to reduce high background signal. You can find these reagents under catalog numbers PK-2200-NB and MP-2400-NB. Please contact Technical Support if you have any questions.

Clonality

Monoclonal

Host

Mouse

Isotype

IgG1

Theoretical MW

77.6 kDa.
Disclaimer note: The observed molecular weight of the protein may vary from the listed predicted molecular weight due to post translational modifications, post translation cleavages, relative charges, and other experimental factors.

Description

Novus Biologicals Mouse cGK1/PRKG1 Antibody (OTI9G4) - Azide and BSA Free (NBP2-02521) is a monoclonal antibody validated for use in IHC, WB and ICC/IF. All Novus Biologicals antibodies are covered by our 100% guarantee.

Scientific Data Images for cGK1/PRKG1 Antibody (OTI9G4) - Azide and BSA Free

Western Blot: cGK1/PRKG1 Antibody (OTI9G4)Azide and BSA Free [NBP2-71227]

Western Blot: cGK1/PRKG1 Antibody (OTI9G4)Azide and BSA Free [NBP2-71227]

Western Blot: cGK1/PRKG1 Antibody (OTI9G4) - Azide and BSA Free [NBP2-71227] - HEK293T cells were transfected with the pCMV6-ENTRY control (Left lane) or pCMV6-ENTRY cGK1/PRKG1 (Right lane) cDNA for 48 hrs and lysed. Equivalent amounts of cell lysates (5 ug per lane) were separated by SDS-PAGE and immunoblotted with anti-cGK1/PRKG1.
Immunocytochemistry/ Immunofluorescence: cGK1/PRKG1 Antibody (OTI9G4) - Azide and BSA Free [NBP2-71227]

Immunocytochemistry/ Immunofluorescence: cGK1/PRKG1 Antibody (OTI9G4) - Azide and BSA Free [NBP2-71227]

Immunocytochemistry/Immunofluorescence: cGK1/PRKG1 Antibody (OTI9G4) - Azide and BSA Free [NBP2-71227] - Staining of COS7 cells transiently transfected by pCMV6-ENTRY cGK1/PRKG1.
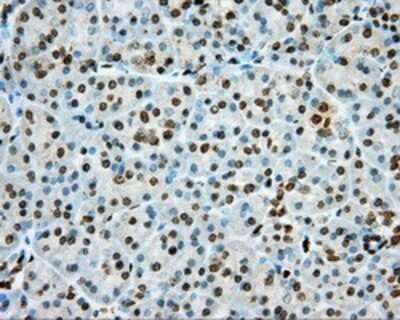
Immunohistochemistry: cGK1/PRKG1 Antibody (OTI9G4) - Azide and BSA Free [NBP2-71227]

Immunohistochemistry: cGK1/PRKG1 Antibody (OTI9G4) - Azide and BSA Free [NBP2-71227]

Immunohistochemistry: cGK1/PRKG1 Antibody (OTI9G4) - Azide and BSA Free [NBP2-71227] - Staining of paraffin-embedded Kidney tissue using anti-cGK1/PRKG1 mouse monoclonal antibody.

Applications for cGK1/PRKG1 Antibody (OTI9G4) - Azide and BSA Free

Application
Recommended Usage

Immunocytochemistry/ Immunofluorescence

1:100

Immunohistochemistry

1:50

Western Blot

1:3000

Formulation, Preparation, and Storage

Purification

Immunogen affinity purified

Reconstitution

we recommend adding 100uL distilled water to a final antibody concentration of about 1 mg/mL. To use this carrier-free antibody for conjugation experiment, we strongly recommend performing another round of desalting process.

Formulation

Lyophilized from PBS (pH 7.3) with 8% Trehalose

Format

Azide and BSA Free

Preservative

No Preservative

Concentration

LYOPH mg/ml

Shipping

The product is shipped with polar packs. Upon receipt, store it immediately at the temperature recommended below.

Stability & Storage

Store at -20C. Avoid freeze-thaw cycles.

Background: cGK1/PRKG1

cGK1/PRKG1, also known as cGMP-dependent protein kinase 1, has two isoforms that are produced by alternative splicing. Isoform Alpha (CGK1-alpha) is 671 amino acids long and 76 kDa. Isoform Beta (CGK1-beta) is 686 amino acids long and approximately 78 kDa. PRKG1 is a Serine/threonine protein kinase that is expressed in placenta and lung. cGK1/PRKG1 is an important player in the Nitric Oxide/cGMP Signaling Pathway; the binding of GMP activates PRKG1, which in turn phosphorylates Serine residues and Threonine residues on various cell proteins, including proteins that regulate calcium levels, smooth muscle contraction, platelet adhesion, circadian rhythm and more. Current research on PRKG1 is being conducted in relation to several diseases and disorders including cystic fibrosis, lymphoma, non-small cell lung carcinoma, Wiskott-Aldrich syndrome, Waterhouse-Friderichsen syndrome and myoglobinuria. PRKG1 has also been shown to have interactions with SMAD4, BMPR2, GKAP1, Natriuretic Peptide Receptor A and TFII-I in pathways such as Gap Junction signaling, eNOS signaling and EDNRB signaling.

Long Name

cGMP-dependent protein kinase 1

Alternate Names

cGK 1, cGK1, cGKI, EC 2.7.11.12, PRKG1, PRKG1B, PRKGR1A, PRKGR1B

Gene Symbol

PRKG1

Additional cGK1/PRKG1 Products

Product Documents for cGK1/PRKG1 Antibody (OTI9G4) - Azide and BSA Free

Certificate of Analysis

To download a Certificate of Analysis, please enter a lot number in the search box below.

Product Specific Notices for cGK1/PRKG1 Antibody (OTI9G4) - Azide and BSA Free

This product is for research use only and is not approved for use in humans or in clinical diagnosis. Primary Antibodies are guaranteed for 1 year from date of receipt.

Loading...
Loading...
Loading...
Loading...
Loading...