Skip to main content

CGI-16 Antibody - BSA Free

Novus Biologicals, part of Bio-Techne | Catalog # NBP2-15872

Novus Biologicals, part of Bio-Techne
Catalog #
Availability
Size / Price
Qty
Loading...
NBP2-15872

Key Product Details

Species Reactivity

Validated:

Human

Predicted:

Bovine (90%). Backed by our 100% Guarantee.

Applications

Immunohistochemistry, Immunohistochemistry-Paraffin, Western Blot, Immunocytochemistry/ Immunofluorescence

Label

Unconjugated

Antibody Source

Polyclonal Rabbit IgG

Format

BSA Free

Concentration

Concentrations vary lot to lot. See vial label for concentration. If unlisted please contact technical services.

Product Specifications

Immunogen

Recombinant protein encompassing a sequence within the center region of human CGI-16. The exact sequence is proprietary.

Reactivity Notes

Immunogen displays the following percentage of sequence identity for non-tested species: Mouse (81%), Rat (81%).

Localization

Mitochondrion

Clonality

Polyclonal

Host

Rabbit

Isotype

IgG

Theoretical MW

24 kDa.
Disclaimer note: The observed molecular weight of the protein may vary from the listed predicted molecular weight due to post translational modifications, post translation cleavages, relative charges, and other experimental factors.

Description

Novus Biologicals Rabbit CGI-16 Antibody - BSA Free (NBP2-15872) is a polyclonal antibody validated for use in IHC, WB and ICC/IF. All Novus Biologicals antibodies are covered by our 100% guarantee.

Scientific Data Images for CGI-16 Antibody - BSA Free

Western Blot: CGI-16 Antibody [NBP2-15872]

Western Blot: CGI-16 Antibody [NBP2-15872]

Western Blot: CGI-16 Antibody [NBP2-15872] - Sample (30 ug of whole cell lysate) A: U87-MG 10% SDS PAGE gel, diluted at 1:500.
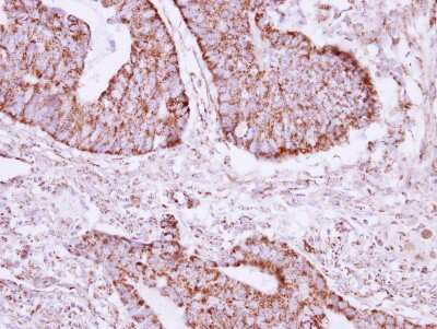
Immunohistochemistry-Paraffin: CGI-16 Antibody [NBP2-15872]

Immunohistochemistry-Paraffin: CGI-16 Antibody [NBP2-15872]

Immunohistochemistry-Paraffin: CGI-16 Antibody [NBP2-15872] - Immunohistochemical analysis of paraffin-embedded Colon ca, using antibody at 1:250 dilution.
CGI-16 Antibody - BSA Free

Immunocytochemistry/ Immunofluorescence: CGI-16 Antibody [NBP2-15872] -

ACOT9 antibody [N1C1] detects ACOT9 protein at mitochondria by immunofluorescent analysis.
Sample: HeLa cells were fixed in ice-cold MeOH for 5 min.
Green: ACOT9 protein stained by ACOT9 antibody [N1C1] (NBP2-15872) diluted at 1:500.
Blue: Hoechst 33342 staining.

Applications for CGI-16 Antibody - BSA Free

Application
Recommended Usage

Immunocytochemistry/ Immunofluorescence

1:100-1:1000

Immunohistochemistry

10 - 1:500

Immunohistochemistry-Paraffin

1:100-1:1000

Western Blot

1:500-1:3000

Formulation, Preparation, and Storage

Purification

Antigen Affinity-purified

Formulation

0.1M Tris, 0.1M Glycine, 20% Glycerol

Format

BSA Free

Preservative

0.01% Thimerosal

Concentration

Concentrations vary lot to lot. See vial label for concentration. If unlisted please contact technical services.

Shipping

The product is shipped with polar packs. Upon receipt, store it immediately at the temperature recommended below.

Stability & Storage

Aliquot and store at -20C or -80C. Avoid freeze-thaw cycles.

Background: CGI-16

The protein encoded by this gene is a mitochondrial acyl-CoA thioesterase of unknown function. Two transcript variants encoding different isoforms have been found for this gene. [provided by RefSeq]

Alternate Names

ACATE2, Acyl-CoA thioester hydrolase 9, acyl-CoA thioesterase 9acyl-Coenzyme A thioesterase 2, mitochondrial, acyl-coenzyme A thioesterase 9, mitochondrial, CGI-16, EC 3.1.2, EC 3.1.2.-, EC 3.1.2.15, mitochondrial Acyl-CoA Thioesterase, MT-ACT48

Gene Symbol

ACOT9

UniProt

Additional CGI-16 Products

Product Documents for CGI-16 Antibody - BSA Free

Certificate of Analysis

To download a Certificate of Analysis, please enter a lot number in the search box below.

Product Specific Notices for CGI-16 Antibody - BSA Free

This product is for research use only and is not approved for use in humans or in clinical diagnosis. Primary Antibodies are guaranteed for 1 year from date of receipt.

Loading...
Loading...
Loading...
Loading...

⚠ WARNING: This product can expose you to chemicals including mercury, which is known to the State of California to cause reproductive toxicity with developmental effects.  For more information go to www.P65Warnings.ca.gov.