Skip to main content

cGAS Antibody - BSA Free

Novus Biologicals, part of Bio-Techne | Catalog # NBP1-86761

Novus Biologicals, part of Bio-Techne
Catalog #
Availability
Size / Price
Qty
Loading...
NBP1-86761-25ul
NBP1-86761

Key Product Details

Species Reactivity

Validated:

Human

Cited:

Human

Applications

Validated:

Immunohistochemistry, Western Blot, Immunocytochemistry/ Immunofluorescence, Simple Western

Cited:

Immunohistochemistry-Paraffin, Western Blot, Immunocytochemistry/ Immunofluorescence, IF/IHC

Label

Unconjugated

Antibody Source

Polyclonal Rabbit IgG

Format

BSA Free

Concentration

Concentrations vary lot to lot. See vial label for concentration. If unlisted please contact technical services.

Product Specifications

Immunogen

This antibody was developed against Recombinant Protein corresponding to amino acids: RKQLRLKPFYLVPKHAKEGNGFQEETWRLSFSHIEKEILNNHGKSKTCCENKEEKCCRKDCLKLMKYLLEQLKERF

Clonality

Polyclonal

Host

Rabbit

Isotype

IgG

Scientific Data Images for cGAS Antibody - BSA Free

Simple Western: cGAS Antibody [NBP1-86761]

Simple Western: cGAS Antibody [NBP1-86761]

Simple Western: cGAS Antibody [NBP1-86761] - Simple Western lane view shows a specific band for MB21D1 in 0.2 mg/ml of RT-4 lysate. This experiment was performed under reducing conditions using the 12-230 kDa separation system.
Simple Western: cGAS Antibody [NBP1-86761]

Simple Western: cGAS Antibody [NBP1-86761]

Simple Western: cGAS Antibody [NBP1-86761] - Electropherogram image(s) of corresponding Simple Western lane view. MB21D1 antibody was used at 1:30 dilution on RT-4 lysate(s).
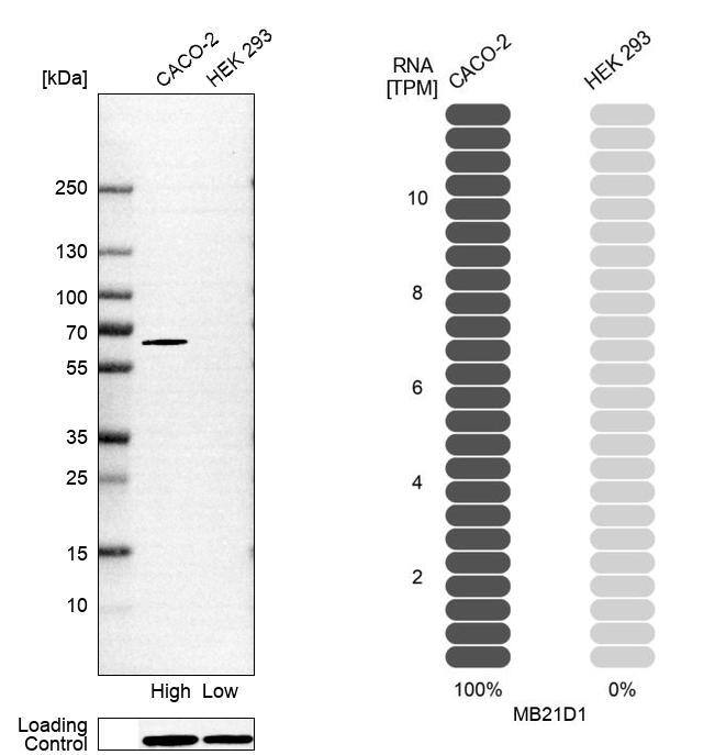
cGAS Antibody - BSA Free Western Blot: cGAS Antibody - BSA Free [NBP1-86761]

Western Blot: cGAS Antibody - BSA Free [NBP1-86761]

Analysis in human cell line CACO-2 and human cell line HEK 293.

Applications for cGAS Antibody - BSA Free

Application
Recommended Usage

Immunocytochemistry/ Immunofluorescence

Reactivity reported in scientific literature (PMID: 24970844]

Immunohistochemistry

Reactivity reported in scientific literature (PMID: 35099823)

Simple Western

1:30

Western Blot

0.04 - 0.4 ug/mL
Application Notes
In Simple Western only 10 - 15 uL of the recommended dilution is used per data point.
See Simple Western Antibody Database for Simple Western validation: Tested in RT-4, separated by Size, antibody dilution of 1:30, apparent MW was 65 kDa. Separated by Size-Wes, Sally Sue/Peggy Sue.

Reviewed Applications

Read 1 review rated 4 using NBP1-86761 in the following applications:

Formulation, Preparation, and Storage

Purification

Affinity purified

Formulation

PBS (pH 7.2) and 40% Glycerol

Format

BSA Free

Preservative

0.02% Sodium Azide

Concentration

Concentrations vary lot to lot. See vial label for concentration. If unlisted please contact technical services.

Shipping

The product is shipped with polar packs. Upon receipt, store it immediately at the temperature recommended below.

Stability & Storage

Store at 4C short term. Aliquot and store at -20C long term. Avoid freeze-thaw cycles.

Background: cGAS

Alternate Names

C6orf150, c-GAS, cyclic GMP-AMP synthase, h-cGAS, Mab-21 domain containing 1

Gene Symbol

CGAS

Additional cGAS Products

Product Documents for cGAS Antibody - BSA Free

Certificate of Analysis

To download a Certificate of Analysis, please enter a lot number in the search box below.

Product Specific Notices for cGAS Antibody - BSA Free

This product is for research use only and is not approved for use in humans or in clinical diagnosis. Primary Antibodies are guaranteed for 1 year from date of receipt.

Loading...
Loading...
Loading...
Loading...