Skip to main content

Ceruloplasmin Antibody - BSA Free

Novus Biologicals, part of Bio-Techne | Catalog # NBP3-05810

Novus Biologicals, part of Bio-Techne

Key Product Details

Species Reactivity

Human

Applications

Immunohistochemistry, Immunohistochemistry-Paraffin

Label

Unconjugated

Antibody Source

Polyclonal Rabbit IgG

Format

BSA Free

Concentration

Please see the vial label for concentration. If unlisted please contact technical services.

Product Specifications

Immunogen

Produced in rabbits immunized with E. coli-derived Human Ceruloplasmin fragment.

Clonality

Polyclonal

Host

Rabbit

Isotype

IgG

Description

This antibody can be stored at 2C-8C for one month without detectable loss of activity. Antibody products are stable for twelve months from date of receipt when stored at -20C to -80C. Avoid repeated freeze-thaw cycles.

Scientific Data Images for Ceruloplasmin Antibody - BSA Free

Ceruloplasmin Antibody - BSA Free

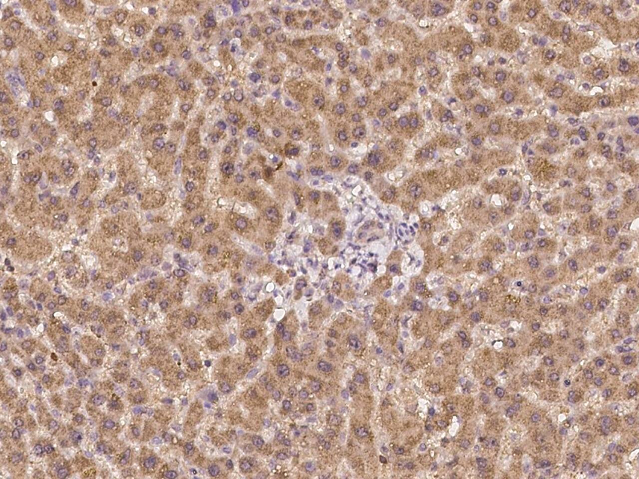
Immunohistochemistry-Paraffin: Ceruloplasmin Antibody - BSA Free [NBP3-05810] -

Immunohistochemistry-Paraffin: Ceruloplasmin Antibody - BSA Free [NBP3-05810] - Immunochemical staining of human Ceruloplasmin in human liver with NBP3-05810 at 1:100 dilution, formalin-fixed paraffin embedded sections.
Ceruloplasmin Antibody - BSA Free

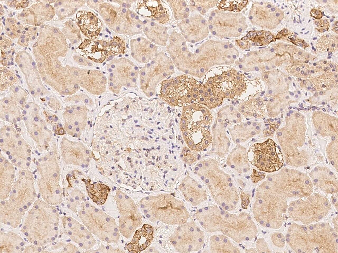
Immunohistochemistry-Paraffin: Ceruloplasmin Antibody - BSA Free [NBP3-05810] -

Immunohistochemistry-Paraffin: Ceruloplasmin Antibody - BSA Free [NBP3-05810] - Immunochemical staining of human Ceruloplasmin in human kidney with NBP3-05810 at 1:100 dilution, formalin-fixed paraffin embedded sections.

Applications for Ceruloplasmin Antibody - BSA Free

Application
Recommended Usage

Immunohistochemistry

1:50-1:200

Immunohistochemistry-Paraffin

1:50-1:200

Formulation, Preparation, and Storage

Purification

Antigen and protein A Affinity-purified

Formulation

PBS

Format

BSA Free

Preservative

0.03% Proclin 300

Concentration

Please see the vial label for concentration. If unlisted please contact technical services.

Shipping

The product is shipped with polar packs. Upon receipt, store it immediately at the temperature recommended below.

Stability & Storage

Store at 4C short term. Aliquot and store at -20C long term. Avoid freeze-thaw cycles.

Background: Ceruloplasmin

The protein encoded by the Ceruloplasmin gene is a metalloprotein that binds most of the copper in plasma and is involved in theperoxidation of Fe(II)transferrin to Fe(III) transferrin. Mutations in this gene cause aceruloplasminemia, whichresults in iron accumulation and tissue damage, and is associated with diabetes and neurologic abnormalities.(provided by RefSeq)

Alternate Names

ceruloplasmin, ceruloplasmin (ferroxidase), CP-2, EC 1.16.3.1, Ferroxidase

Gene Symbol

CP

Additional Ceruloplasmin Products

Product Documents for Ceruloplasmin Antibody - BSA Free

Certificate of Analysis

To download a Certificate of Analysis, please enter a lot number in the search box below.

Product Specific Notices for Ceruloplasmin Antibody - BSA Free

This product is for research use only and is not approved for use in humans or in clinical diagnosis. Primary Antibodies are guaranteed for 1 year from date of receipt.

Loading...
Loading...
Loading...
Loading...
Loading...