Skip to main content

Ceruloplasmin Antibody - BSA Free

Novus Biologicals, part of Bio-Techne | Catalog # NBP1-88116

Novus Biologicals, part of Bio-Techne
Catalog #
Availability
Size / Price
Qty
Loading...
NBP1-88116
NBP1-88116-25ul

Key Product Details

Species Reactivity

Human

Applications

Validated:

Immunohistochemistry, Immunohistochemistry-Paraffin

Cited:

IF/IHC

Label

Unconjugated

Antibody Source

Polyclonal Rabbit IgG

Format

BSA Free

Concentration

Concentrations vary lot to lot. See vial label for concentration. If unlisted please contact technical services.

Product Specifications

Immunogen

This antibody was developed against Recombinant Protein corresponding to amino acids: YFSGNTYLWRGERRDTANLFPQTSLTLHMWPDTEGTFNVECLTTDHYTGGMKQKYTVNQCRRQSEDSTFYLGERTYYIAAVEVEWDYSPQREWEKELHHLQEQNVSNAFLDKGEFYIGSKYKKVVYRQYTDSTFRVPVERKAEEEHLGI

Reactivity Notes

Immunogen displays the following percentage of sequence identity for non-tested species: Mouse (83%), Rat (83%). Reactivity reported in scientific literature (PMID: 23868451)

Clonality

Polyclonal

Host

Rabbit

Isotype

IgG

Description

Novus Biologicals Rabbit Ceruloplasmin Antibody - BSA Free (NBP1-88116) is a polyclonal antibody validated for use in IHC. Anti-Ceruloplasmin Antibody: Cited in 2 publications. All Novus Biologicals antibodies are covered by our 100% guarantee.

Scientific Data Images for Ceruloplasmin Antibody - BSA Free

Ceruloplasmin Antibody - BSA Free Immunohistochemistry-Paraffin: Ceruloplasmin Antibody - BSA Free [NBP1-88116]

Immunohistochemistry-Paraffin: Ceruloplasmin Antibody - BSA Free [NBP1-88116]

Staining of human skeletal muscle shows no positivity in myocytes as expected.
Ceruloplasmin Antibody - BSA Free Immunohistochemistry-Paraffin: Ceruloplasmin Antibody - BSA Free [NBP1-88116]

Immunohistochemistry-Paraffin: Ceruloplasmin Antibody - BSA Free [NBP1-88116]

Staining of human placenta shows moderate cytoplasmic positivity in trophoblastic cells.
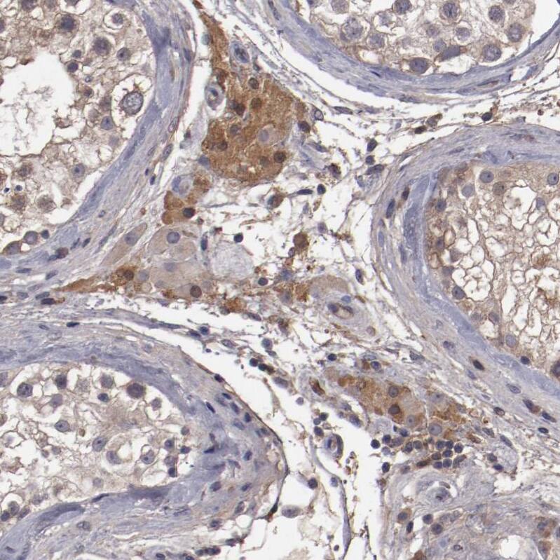
Ceruloplasmin Antibody - BSA Free Immunohistochemistry-Paraffin: Ceruloplasmin Antibody - BSA Free [NBP1-88116]

Immunohistochemistry-Paraffin: Ceruloplasmin Antibody - BSA Free [NBP1-88116]

Staining of human testis shows moderate cytoplasmic positivity in Leydig cells.

Applications for Ceruloplasmin Antibody - BSA Free

Application
Recommended Usage

Immunohistochemistry

1:20 - 1:50

Immunohistochemistry-Paraffin

1:20 - 1:50
Application Notes
For IHC-Paraffin, HIER pH 6 retrieval is recommended.

Formulation, Preparation, and Storage

Purification

Affinity purified

Formulation

PBS (pH 7.2) and 40% Glycerol

Format

BSA Free

Preservative

0.02% Sodium Azide

Concentration

Concentrations vary lot to lot. See vial label for concentration. If unlisted please contact technical services.

Shipping

The product is shipped with polar packs. Upon receipt, store it immediately at the temperature recommended below.

Stability & Storage

Store at 4C short term. Aliquot and store at -20C long term. Avoid freeze-thaw cycles.

Background: Ceruloplasmin

The protein encoded by the Ceruloplasmin gene is a metalloprotein that binds most of the copper in plasma and is involved in theperoxidation of Fe(II)transferrin to Fe(III) transferrin. Mutations in this gene cause aceruloplasminemia, whichresults in iron accumulation and tissue damage, and is associated with diabetes and neurologic abnormalities.(provided by RefSeq)

Alternate Names

ceruloplasmin, ceruloplasmin (ferroxidase), CP-2, EC 1.16.3.1, Ferroxidase

Entrez Gene IDs

1356 (Human)

Gene Symbol

CP

UniProt

Additional Ceruloplasmin Products

Product Documents for Ceruloplasmin Antibody - BSA Free

Certificate of Analysis

To download a Certificate of Analysis, please enter a lot number in the search box below.

Product Specific Notices for Ceruloplasmin Antibody - BSA Free

This product is for research use only and is not approved for use in humans or in clinical diagnosis. Primary Antibodies are guaranteed for 1 year from date of receipt.

Loading...
Loading...
Loading...
Loading...
Loading...