Skip to main content

CEP97 Antibody - BSA Free

Novus Biologicals, part of Bio-Techne | Catalog # NBP3-47638

Novus Biologicals, part of Bio-Techne
Catalog #
Availability
Size / Price
Qty
Loading...
NBP3-47638

Key Product Details

Species Reactivity

Human

Applications

Immunohistochemistry, Western Blot, ELISA, Immunocytochemistry/ Immunofluorescence

Label

Unconjugated

Antibody Source

Polyclonal Rabbit IgG

Format

BSA Free

Concentration

Please see the vial label for concentration. If unlisted please contact technical services.

Product Specifications

Immunogen

centrosomal protein 97kDa. (Uniprot# Q8IW35)

Clonality

Polyclonal

Host

Rabbit

Isotype

IgG

Description

Novus Biologicals Rabbit CEP97 Antibody - BSA Free (NBP3-47638) is a polyclonal antibody validated for use in IHC, WB, ELISA and ICC/IF. All Novus Biologicals antibodies are covered by our 100% guarantee.

Scientific Data Images for CEP97 Antibody - BSA Free

CEP97 Antibody - BSA Free

Western Blot: CEP97 Antibody - BSA Free [NBP3-47638] -

Western Blot: CEP97 Antibody - BSA Free [NBP3-47638] - HL-60 cells were subjected to SDS PAGE followed by western blot with (CEP97 antibody) at dilution of 1:1000
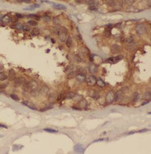
CEP97 Antibody - BSA Free

Immunohistochemistry: CEP97 Antibody - BSA Free [NBP3-47638] -

Immunohistochemistry: CEP97 Antibody - BSA Free [NBP3-47638] - Immunohistochemistry of paraffin-embedded human breast cancer using (CEP97 antibody) at dilution of 1:50

Applications for CEP97 Antibody - BSA Free

Application
Recommended Usage

Immunocytochemistry/ Immunofluorescence

1:20-1:200

Immunohistochemistry

1:20-1:200

Western Blot

1:500-1:2000
Application Notes
Theoretical Molecular Weight is 130-140 kDa

Formulation, Preparation, and Storage

Purification

Immunogen affinity purified

Formulation

PBS, 50% Glycerol, pH (7.3)

Format

BSA Free

Preservative

0.02% Sodium Azide

Concentration

Please see the vial label for concentration. If unlisted please contact technical services.

Shipping

The product is shipped with polar packs. Upon receipt, store it immediately at the temperature recommended below.

Stability & Storage

Store at -20C. Avoid freeze-thaw cycles.

Background: CEP97

CEP97 (centrosomal protein of 97 kDa) has been identified as part of a complex with CP110. Together, CP110 and CEP97 have been shown to play a role in the assembly of cilia. Loss of CEP97 or CEP110 promotes cilia formation while forced expression inhibits ciliogenesis. CEP97 is also known as leucine-rich repeat and IQ domain-containing protein 2 or LRRIQ2.

Alternate Names

2810403B08Rik, centrosomal protein 97kDa, centrosomal protein of 97 kDa, Cep97, FLJ23047, FLJ26462, Leucine-rich repeat and IQ domain-containing protein 2, leucine-rich repeats and IQ motif containing 2, LRRIQ2

Gene Symbol

CEP97

Additional CEP97 Products

Product Documents for CEP97 Antibody - BSA Free

Certificate of Analysis

To download a Certificate of Analysis, please enter a lot number in the search box below.

Product Specific Notices for CEP97 Antibody - BSA Free

This product is for research use only and is not approved for use in humans or in clinical diagnosis. Primary Antibodies are guaranteed for 1 year from date of receipt.

Loading...
Loading...
Loading...
Loading...