Skip to main content

CEP70 Antibody - BSA Free

Novus Biologicals, part of Bio-Techne | Catalog # NBP1-88594

Novus Biologicals, part of Bio-Techne
Catalog #
Availability
Size / Price
Qty
Loading...
NBP1-88594
NBP1-88594-25ul

Key Product Details

Validated by

Independent Antibodies

Species Reactivity

Human

Applications

Immunohistochemistry, Immunohistochemistry-Paraffin, Immunocytochemistry/ Immunofluorescence

Label

Unconjugated

Antibody Source

Polyclonal Rabbit IgG

Format

BSA Free

Concentration

Concentrations vary lot to lot. See vial label for concentration. If unlisted please contact technical services.

Product Specifications

Immunogen

This antibody was developed against Recombinant Protein corresponding to amino acids: RTEQEETIASLQMEVCRLKKEEEDRIVTQNRVFAYLCKRVPHTVLDRQLLCLIDYYESKIRKIHTQRQYKEDESQSEEENDYRNLDA

Clonality

Polyclonal

Host

Rabbit

Isotype

IgG

Description

Novus Biologicals Rabbit CEP70 Antibody - BSA Free (NBP1-88594) is a polyclonal antibody validated for use in IHC and ICC/IF. All Novus Biologicals antibodies are covered by our 100% guarantee.

Scientific Data Images for CEP70 Antibody - BSA Free

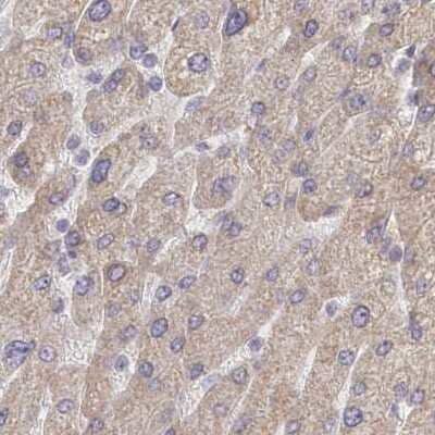
Immunohistochemistry-Paraffin: CEP70 Antibody [NBP1-88594]

Immunohistochemistry-Paraffin: CEP70 Antibody [NBP1-88594]

Immunohistochemistry-Paraffin: CEP70 Antibody [NBP1-88594] - Staining of human colon, kidney, liver and testis using Anti-CEP70 antibody NBP1-88594 (A) shows similar protein distribution across tissues to independent antibody NBP1-88593 (B).
Immunocytochemistry/ Immunofluorescence: CEP70 Antibody [NBP1-88594]

Immunocytochemistry/ Immunofluorescence: CEP70 Antibody [NBP1-88594]

Immunocytochemistry/Immunofluorescence: CEP70 Antibody [NBP1-88594] - Staining of human cell line U-2 OS shows localization to nucleoplasm & cytosol.
Immunohistochemistry-Paraffin: CEP70 Antibody [NBP1-88594]

Immunohistochemistry-Paraffin: CEP70 Antibody [NBP1-88594]

Immunohistochemistry-Paraffin: CEP70 Antibody [NBP1-88594] - Staining of human kidney.

Applications for CEP70 Antibody - BSA Free

Application
Recommended Usage

Immunocytochemistry/ Immunofluorescence

0.25-2 ug/ml

Immunohistochemistry

1:500 - 1:1000

Immunohistochemistry-Paraffin

1:500 - 1:1000
Application Notes
For IHC-Paraffin, HIER pH 6 retrieval is recommended. ICC/IF, Fixation/Permeabilization: PFA/Triton X-100.

Formulation, Preparation, and Storage

Purification

Affinity purified

Formulation

PBS (pH 7.2) and 40% Glycerol

Format

BSA Free

Preservative

0.02% Sodium Azide

Concentration

Concentrations vary lot to lot. See vial label for concentration. If unlisted please contact technical services.

Shipping

The product is shipped with polar packs. Upon receipt, store it immediately at the temperature recommended below.

Stability & Storage

Store at 4C short term. Aliquot and store at -20C long term. Avoid freeze-thaw cycles.

Background: CEP70

Alternate Names

BITEFLJ13036, centrosomal protein 70kDa, centrosomal protein of 70 kDa, Cep70, p10-binding protein

Gene Symbol

CEP70

Additional CEP70 Products

Product Documents for CEP70 Antibody - BSA Free

Certificate of Analysis

To download a Certificate of Analysis, please enter a lot number in the search box below.

Product Specific Notices for CEP70 Antibody - BSA Free

This product is for research use only and is not approved for use in humans or in clinical diagnosis. Primary Antibodies are guaranteed for 1 year from date of receipt.

Loading...
Loading...
Loading...
Loading...