Centrin 2 Antibody
Novus Biologicals, part of Bio-Techne | Catalog # NBP1-88213
Key Product Details
Species Reactivity
Validated:
Human
Predicted:
Mouse (96%), Rat (97%). Backed by our 100% Guarantee.
Applications
Immunohistochemistry, Immunohistochemistry-Paraffin
Label
Unconjugated
Antibody Source
Polyclonal Rabbit IgG
Concentration
Concentrations vary lot to lot. See vial label for concentration. If unlisted please contact technical services.
Product Specifications
Immunogen
This antibody was developed against Recombinant Protein corresponding to amino acids: ASNFKKANMASSSQRKRMSPKPELTEEQKQEIREAFDLFDADGTGTIDVKELKVAMRALGFEPKKEEIKKMISEIDKEGTGKMNFGDFLTVMTQKMSEKDTKEEILKAFKLFDDDETGKISFKNLKRVAKELGENLTDEELQEMIDE
Reactivity Notes
Reactivity reported in scientific literature (PMID: 23435261)
Clonality
Polyclonal
Host
Rabbit
Isotype
IgG
Scientific Data Images for Centrin 2 Antibody
Immunohistochemistry-Paraffin: Centrin 2 Antibody [NBP1-88213]
Staining of human colon shows no positivity in glandular cells as expected.Immunohistochemistry-Paraffin: Parvin gamma Antibody [NBP1-88213]
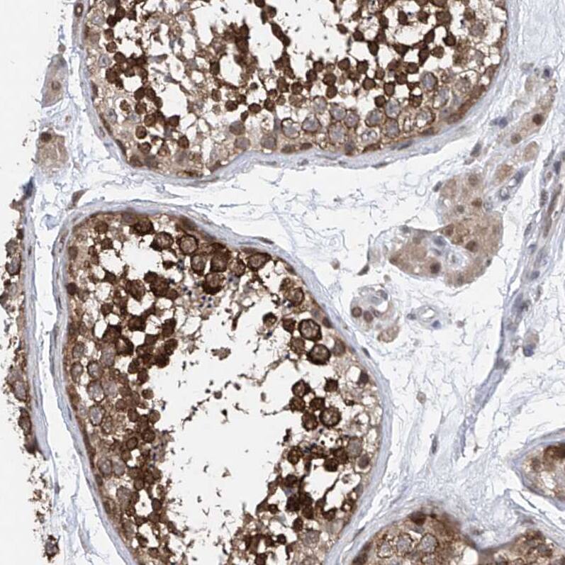
Staining of human testis shows strong cytoplasmic positivity in cells in seminiferous ducts.Immunohistochemistry-Paraffin: Centrin 2 Antibody [NBP1-88213]
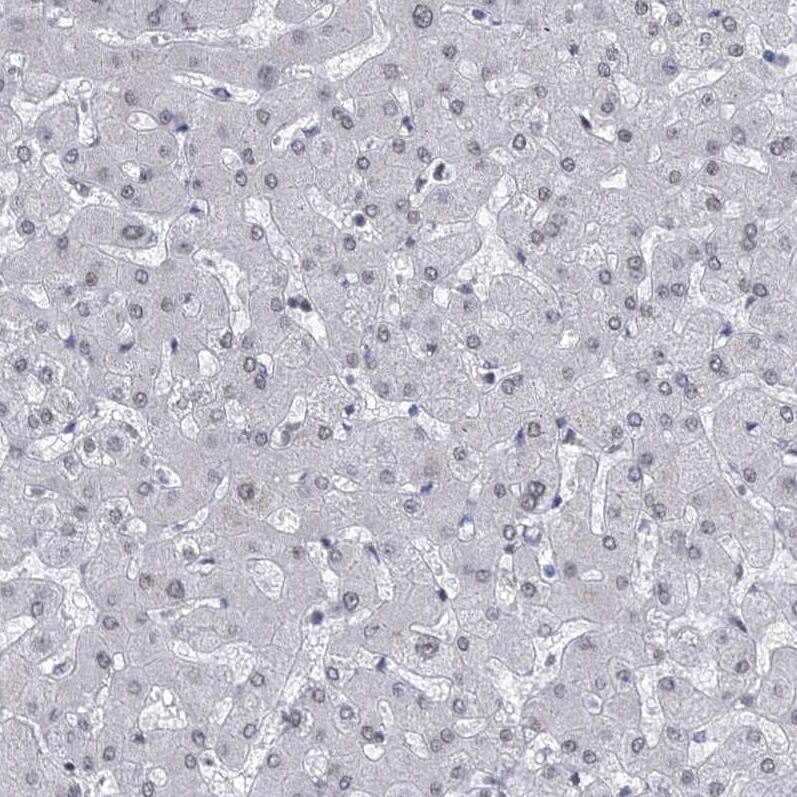
Staining of human liver shows no positivity in hepatocytes as expected.Applications for Centrin 2 Antibody
Application
Recommended Usage
Immunohistochemistry
1:200 - 1:500
Immunohistochemistry-Paraffin
1:200 - 1:500
Application Notes
For IHC-Paraffin, HIER pH 6 retrieval is recommended.
Formulation, Preparation, and Storage
Purification
Affinity purified
Formulation
PBS (pH 7.2) and 40% Glycerol
Preservative
0.02% Sodium Azide
Concentration
Concentrations vary lot to lot. See vial label for concentration. If unlisted please contact technical services.
Shipping
The product is shipped with polar packs. Upon receipt, store it immediately at the temperature recommended below.
Stability & Storage
Store at 4C short term. Aliquot and store at -20C long term. Avoid freeze-thaw cycles.
Background: Centrin 2
Alternate Names
Caltractin isoform 1, CEN2CALTcaltractin (20kD calcium-binding protein), centrin, EF-hand protein, 2, centrin-2
Gene Symbol
CETN2
Additional Centrin 2 Products
Product Documents for Centrin 2 Antibody
Product Specific Notices for Centrin 2 Antibody
This product is for research use only and is not approved for use in humans or in clinical diagnosis. Primary Antibodies are guaranteed for 1 year from date of receipt.
Loading...
Loading...
Loading...
Loading...