Skip to main content

CDX2 Antibody (CL12974) - Azide and BSA Free

Novus Biologicals, part of Bio-Techne | Catalog # NBP3-44391

Novus Biologicals, part of Bio-Techne

Key Product Details

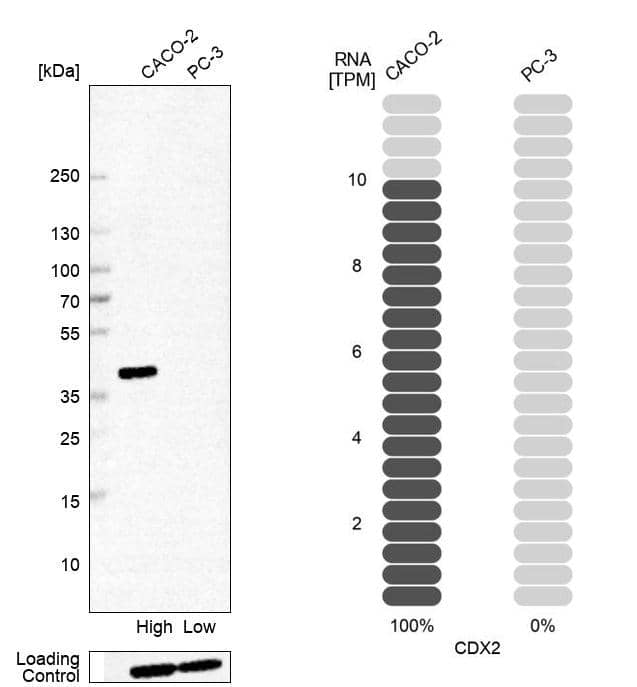
Validated by

Orthogonal Validation

Species Reactivity

Human

Applications

Immunohistochemistry-Paraffin, Western Blot, Immunocytochemistry/ Immunofluorescence

Label

Unconjugated

Antibody Source

Monoclonal Mouse IgG1 Clone # CL12974

Format

Azide and BSA Free

Concentration

LYOPH mg/ml

Product Specifications

Immunogen

This antibody was generated using a synthetic peptide of Q99626, with the exact immunogen sequence remaining proprietary.

Clonality

Monoclonal

Host

Mouse

Isotype

IgG1

Scientific Data Images for CDX2 Antibody (CL12974) - Azide and BSA Free

CDX2 Antibody (CL12974) - Azide and BSA Free Immunohistochemistry-Paraffin: CDX2 Antibody [NBP3-44391]

Immunohistochemistry-Paraffin: CDX2 Antibody [NBP3-44391]

Analysis in human rectum and lymph node tissues using NBP3-44391 antibody. Corresponding CDX2 RNA-seq data are presented for the same tissues.
CDX2 Antibody (CL12974) - Azide and BSA Free Immunocytochemistry/ Immunofluorescence: CDX2 Antibody [NBP3-44391]

Immunocytochemistry/ Immunofluorescence: CDX2 Antibody [NBP3-44391]

Staining of CACO-2 cells using the Anti-CDX2 monoclonal antibody) .
CDX2 Antibody (CL12974) - Azide and BSA Free Immunohistochemistry-Paraffin: CDX2 Antibody [NBP3-44391]

Immunohistochemistry-Paraffin: CDX2 Antibody [NBP3-44391]

Staining of human colorectal cancer (metastasis to ovary) shows moderate to strong nuclear positivity in tumor cells.

Applications for CDX2 Antibody (CL12974) - Azide and BSA Free

Application
Recommended Usage

Immunocytochemistry/ Immunofluorescence

2-10 ug/ml

Immunohistochemistry-Paraffin

1:1000 - 1:2500

Western Blot

1 ug/ml
Application Notes
For use with IHC-Paraffin, HIER pH 6 retrieval is recommended. For use with Immunocytochemistry/ Immunofluorescence/IF, PFA/Triton X-100 is recommended for fixation/permeabilization.

Formulation, Preparation, and Storage

Purification

Protein A purified

Reconstitution

Centrifuge the vial of lyophilized antibody at 12,000 x g for 20 seconds. Reconstitute by adding sterile, distilled water to achieve a final antibody concentration of 1mg/ml.

Formulation

Lyophilized from a 0.2 um filtered solution in PBS with Trehalose

Format

Azide and BSA Free

Preservative

No Preservative

Concentration

LYOPH mg/ml

Shipping

The product is shipped at ambient temperature. Upon receipt, store it immediately at the temperature recommended below.

Stability & Storage

Store at 4C short term. Aliquot and store at -20C long term. Avoid freeze-thaw cycles.

Background: CDX2

The level and beta-cell specificity of insulin gene expression are regulated by a set of nuclear proteins that bind to specific sequences within the promoter of the insulin gene (INS; MIM 176730) and interact with RNA polymerase to activate or repress transcription. The proteins LMX1 (MIM 600298) and CDX3 are homeodomain proteins that bind an A/T-rich sequence in the insulin promoter and stimulate its transcription (German et al., 1994 [PubMed 7698771]).[supplied by OMIM]

Long Name

Caudal-type Homeobox Transcription Factor 2

Alternate Names

CDX3

Gene Symbol

CDX2

Additional CDX2 Products

Product Documents for CDX2 Antibody (CL12974) - Azide and BSA Free

Certificate of Analysis

To download a Certificate of Analysis, please enter a lot number in the search box below.

Product Specific Notices for CDX2 Antibody (CL12974) - Azide and BSA Free

This product is for research use only and is not approved for use in humans or in clinical diagnosis. Primary Antibodies are guaranteed for 1 year from date of receipt.

Loading...
Loading...
Loading...
Loading...
Loading...