Skip to main content

CDP/CUTL1 Antibody (CL5278)

Novus Biologicals, part of Bio-Techne | Catalog # NBP3-52081

Recombinant Monoclonal Antibody
Novus Biologicals, part of Bio-Techne
Catalog #
Availability
Size / Price
Qty
Loading...
NBP3-52081-100ul
NBP3-52081-25ul

Key Product Details

Species Reactivity

Human

Applications

Immunohistochemistry, Immunohistochemistry-Paraffin, Immunocytochemistry/ Immunofluorescence

Label

Unconjugated

Antibody Source

Recombinant Monoclonal Mouse IgG1 Clone # CL5278

Concentration

1 mg/ml

Product Specifications

Immunogen

This antibody was developed using a recombinant protein derived from P39880, with the exact immunogen sequence remaining proprietary.

Clonality

Monoclonal

Host

Mouse

Isotype

IgG1

Scientific Data Images for CDP/CUTL1 Antibody (CL5278)

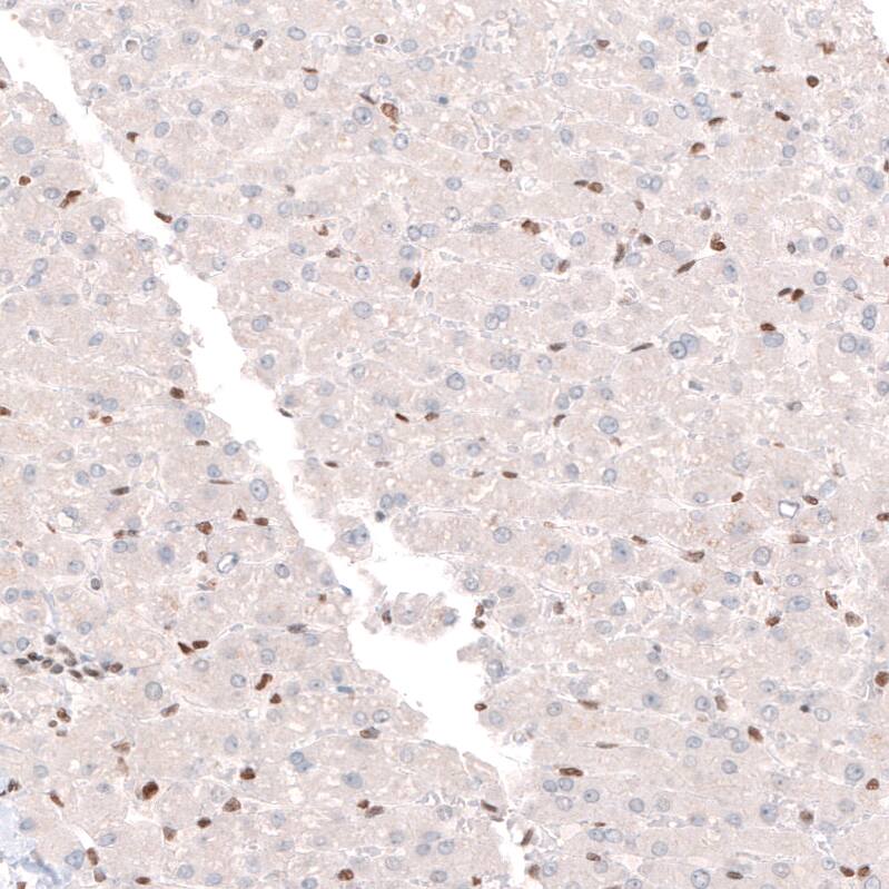
CDP/CUTL1 Antibody (CL5278) Immunohistochemistry: CDP/CUTL1 Antibody (CL5278) [NBP3-52081]

Immunohistochemistry: CDP/CUTL1 Antibody (CL5278) [NBP3-52081]

Staining of human liver shows moderate nuclear positivity in leukocytes and no positivity in hepatocytes.
CDP/CUTL1 Antibody (CL5278) Immunohistochemistry: CDP/CUTL1 Antibody (CL5278) [NBP3-52081]

Immunohistochemistry: CDP/CUTL1 Antibody (CL5278) [NBP3-52081]

Staining of human cerebral cortex shows moderate to strong nuclear positivity in a subset of neurons.
CDP/CUTL1 Antibody (CL5278) Immunocytochemistry/ Immunofluorescence: CDP/CUTL1 Antibody (CL5278) [NBP3-52081]

Immunocytochemistry/ Immunofluorescence: CDP/CUTL1 Antibody (CL5278) [NBP3-52081]

Staining of SH-SY5Y cells showing specific staining in the nucleoplasm in green. Microtubule- and nuclear probes are visualized in red and blue, respectively (where available).

Applications for CDP/CUTL1 Antibody (CL5278)

Application
Recommended Usage

Immunocytochemistry/ Immunofluorescence

2-10 ug/ml

Immunohistochemistry

1:50-1:200

Immunohistochemistry-Paraffin

1:50-1:200
Application Notes
For IHC-Paraffin, HIER pH 6 retrieval is recommended. ICC/IF Fixation Permeabilization: Use PFA/Triton X-100.

Formulation, Preparation, and Storage

Purification

Protein A purified

Formulation

PBS, pH 7.2, 40% glycerol

Preservative

0.02% Sodium Azide

Concentration

1 mg/ml

Shipping

The product is shipped with polar packs. Upon receipt, store it immediately at the temperature recommended below.

Stability & Storage

Store at 4C short term. Aliquot and store at -20C long term. Avoid freeze-thaw cycles.

Background: CDP/CUTL1

Long Name

CCAAT Displacement protein/CUT-like Homeobox Protein 1

Alternate Names

CASP, COY1, CUTL1, CUX, CUX1, GOLIM6

Gene Symbol

CUX1

Additional CDP/CUTL1 Products

Product Documents for CDP/CUTL1 Antibody (CL5278)

Certificate of Analysis

To download a Certificate of Analysis, please enter a lot number in the search box below.

Product Specific Notices for CDP/CUTL1 Antibody (CL5278)

This product is for research use only and is not approved for use in humans or in clinical diagnosis. Primary Antibodies are guaranteed for 1 year from date of receipt.

Loading...
Loading...
Loading...
Loading...