Skip to main content

CDKN3 Antibody (OTI2E11)

Novus Biologicals, part of Bio-Techne | Catalog # NBP2-01245

Novus Biologicals, part of Bio-Techne
Catalog #
Availability
Size / Price
Qty
Loading...
NBP2-01245
Conjugate
Catalog #

Key Product Details

Species Reactivity

Validated:

Human, Mouse

Cited:

Human

Applications

Validated:

Immunohistochemistry, Immunohistochemistry-Paraffin, Western Blot, Flow Cytometry, Immunocytochemistry/ Immunofluorescence

Cited:

Western Blot

Label

Unconjugated

Antibody Source

Monoclonal Mouse IgG1 Clone # OTI2E11

Concentration

0.56 mg/ml

Product Specifications

Immunogen

Full length human recombinant protein of human CDKN3(NP_005183) produced in HEK293T cell.

Reactivity Notes

Please note that this antibody is reactive to Mouse and derived from the same host, Mouse. Mouse-On-Mouse blocking reagent may be needed for IHC and ICC experiments to reduce high background signal. You can find these reagents under catalog numbers PK-2200-NB and MP-2400-NB. Please contact Technical Support if you have any questions.

Clonality

Monoclonal

Host

Mouse

Isotype

IgG1

Theoretical MW

23.6 kDa.
Disclaimer note: The observed molecular weight of the protein may vary from the listed predicted molecular weight due to post translational modifications, post translation cleavages, relative charges, and other experimental factors.

Scientific Data Images for CDKN3 Antibody (OTI2E11)

Western Blot: CDKN3 Antibody (OTI2E11) [NBP2-01245]

Western Blot: CDKN3 Antibody (OTI2E11) [NBP2-01245]

Western Blot: CDKN3 Antibody (2E11) [NBP2-01245] - HEK293T cells were transfected with the pCMV6-ENTRY control (Left lane) or pCMV6-ENTRY CDKN3 (Right lane) cDNA for 48 hrs and lysed. Equivalent amounts of cell lysates (5 ug per lane) were separated by SDS-PAGE and immunoblotted with anti-CDKN3.
Immunocytochemistry/Immunofluorescence: CDKN3 Antibody (2E11) [NBP2-01245] Staining of COS7 cells transiently transfected by pCMV6-ENTRY CDKN3.
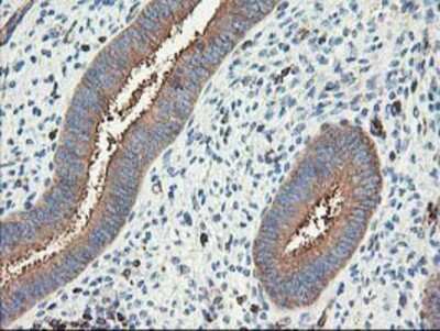
Immunohistochemistry-Paraffin: CDKN3 Antibody (OTI2E11) [NBP2-01245]

Immunohistochemistry-Paraffin: CDKN3 Antibody (OTI2E11) [NBP2-01245]

Immunohistochemistry-Paraffin: CDKN3 Antibody (2E11) [NBP2-01245] - Staining of paraffin-embedded Human prostate tissue using anti-CDKN3 mouse monoclonal antibody.

Applications for CDKN3 Antibody (OTI2E11)

Application
Recommended Usage

Flow Cytometry

1:100

Immunocytochemistry/ Immunofluorescence

1:100

Immunohistochemistry

1:150

Immunohistochemistry-Paraffin

1:150

Western Blot

1:2000

Formulation, Preparation, and Storage

Purification

Immunogen affinity purified

Formulation

PBS (pH 7.3), 1.0% BSA and 50% Glycerol

Preservative

0.02% Sodium Azide

Concentration

0.56 mg/ml

Shipping

The product is shipped with polar packs. Upon receipt, store it immediately at the temperature recommended below.

Stability & Storage

Store at -20C. Avoid freeze-thaw cycles.

Background: CDKN3

The protein encoded by this gene belongs to the dual specificity protein phosphatase family. It was identified as a cyclin-dependent kinase inhibitor, and has been shown to interact with, and dephosphorylate CDK2 kinase, thus prevent the activation of CDK2 kinase. This gene was reported to be deleted, mutated, or overexpressed in several kinds of cancers. Alternatively spliced transcript variants encoding different isoforms have been found for this gene. [provided by RefSeq].

Alternate Names

CDI1KAP1, CDK2-associated dual specificity phosphatase, CDK2-associated dual-specificity phosphatase, Cdk-associated protein phosphatase, CIP2, cyclin-dependent kinase inhibitor 3, cyclin-dependent kinase interacting protein 2, Cyclin-dependent kinase interactor 1, Cyclin-dependent kinase-interacting protein 2, EC 3.1.3.16, EC 3.1.3.48, FLJ25787, KAPMGC70625, Kinase-associated phosphatase

Entrez Gene IDs

1033 (Human)

Gene Symbol

CDKN3

Additional CDKN3 Products

Product Documents for CDKN3 Antibody (OTI2E11)

Certificate of Analysis

To download a Certificate of Analysis, please enter a lot number in the search box below.

Product Specific Notices for CDKN3 Antibody (OTI2E11)

This product is for research use only and is not approved for use in humans or in clinical diagnosis. Primary Antibodies are guaranteed for 1 year from date of receipt.

Loading...
Loading...
Loading...
Loading...
Loading...